> Antigen, Antibodies, ELISA, Western Blot > Primary Antibody > Monoclonal Antibodies > TNF-alpha (Tumor Necrosis Factor alpha) Antibody - Without BSA and AzideBrand |
Leading Biology | Catalog Number |
APG01310G |
Product Type |
Monoclonal Antibodies | Field of Research |
|
Product Overview |
We constantly strive to ensure we provide our customers with the best antibodies. As a result of this work we offer this antibody in purified format.
We are in the process of updating our datasheets. If you have any questions regarding this update, please feel free to contact our technical support team.
This product is a high quality TNF-alpha (Tumor Necrosis Factor alpha) antibody - Without BSA and Azide.
|
||
Molecular Weight |
17kDa
|
||
Cellular Localization |
Antigen Cellular Localization:
Cell membrane; Single-pass type II membrane protein Tumor necrosis factor, soluble form: Secreted C-domain 2: Secreted.
|
||
Host |
Mouse
|
||
Species Reactivity |
Human, Mouse, Rat, Rabbit, Zebrafish, Dog, Cat
|
||
Clone |
TNF706 + P/T2
|
||
Isotype |
Mouse / IgM's
|
||
Symbol |
TNFA, TNFSF2
|
||
GeneID |
|||
UniProt ID |
|||
Function |
Cytokine that binds to TNFRSF1A/TNFR1 and TNFRSF1B/TNFBR. It is mainly secreted by macrophages and can induce cell death of certain tumor cell lines. It is potent pyrogen causing fever by direct action or by stimulation of interleukin-1 secretion and is implicated in the induction of cachexia, Under certain conditions it can stimulate cell proliferation and induce cell differentiation.
|
||
Summary |
TNF alpha is a protein secreted by lipopolysaccharide-stimulated macrophages, and causes tumor necrosis when injected into tumor bearing mice. TNF alpha exists as a multimer of two, three, or five non-covalently linked units, but shows a single 17kDa band following SDS PAGE under non-reducing conditions. TNF alpha causes cytolysis of certain transformed cells. Although it has little effect on many cultured normal human cells, TNF alpha appears to be directly toxic to vascular endothelial cells. Other actions of TNF alpha include stimulating growth of human fibroblasts and other cell lines, activating polymorphonuclear neutrophils and osteoclasts, and induction of interleukin 1, prostaglandin E2 and collagenase production. TNF alpha is currently being evaluated in treatment of certain cancers and AIDS Related Complex.
|
||
Form |
Liquid |
||
Storage & Stability |
Store at +4°C short term. For long-term storage, aliquot and store at -20°C or below. Stable for 12 months at -20°C. Avoid repeated freeze-thaw cycles.
|
||
Applications |
IHC-P, IF, FC
|
||
Synonyms |
Tumor necrosis factor, Cachectin, TNF-alpha, Tumor necrosis factor ligand superfamily member 2, TNF-a, Tumor necrosis factor, membrane form, N-terminal fragment, NTF, Intracellular domain 1, ICD1, Intracellular domain 2, ICD2, C-domain 1, C-domain 2, Tumor necrosis factor, soluble form, TNF, TNFA, TNFSF2
|
||
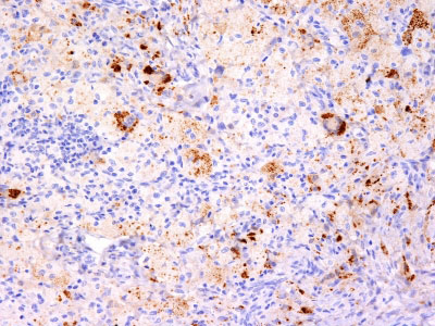
Images |
Formalin-fixed, paraffin-embedded human Erdheim Chester disease (also known as polyostotic sclerosing histiocytosis) stained with TNF alpha Monoclonal Antibody (TNF706 + P/T2). |
||
Specification |
|||
Quantity |
|
||
| Select | Brand | Catalog No. | Product Name | Pack Size | Type | Field of Research | Specification | Quantity | Price(USD) | |
| 1 | Leading Biology | APG02467G | CCK4 / PTK7 Antibody (clone 4F9) | 50 μl | Monoclonal Antibodies |
|
$495.00 | Add Ask | ||
| 2 | Leading Biology | AMM04683G | GALT Antibody (clone 4C11) | 50 μg | Monoclonal Antibodies |
|
$545.00 | Add Ask | ||
| 3 | Leading Biology | AMM01402G | Vimentin (Mesenchymal Cell Marker) Antibody - With BSA and Azide | 50 ug | Monoclonal Antibodies |
|
$395.00 | Add Ask | ||
| 4 | Leading Biology | APR08280G | LTA4H / LTA4 Antibody (clone 9G8) | 50 μl | Monoclonal Antibodies |
|
$495.00 | Add Ask | ||
| 5 | Leading Biology | AMM00172G | CD1a / HTA1 (Mature Langerhans Cells Marker) Antibody - With BSA and Azide | 50 ug | Monoclonal Antibodies |
|
$395.00 | Add Ask | ||
| 6 | Leading Biology | AMM05750G | CEBPA Antibody | 100 μl | Monoclonal Antibodies |
|
$545.00 | Add Ask |
Leading Biology Inc.
2600 Hilltop DR, Building G, B Suite C138
Richmond, CA, 94806
Tel: 1-661-524(LBI)-0262
Email: info@leadingbiology.com
Complete this form and click send to ask us a question, request a quote or simply say hello.

You have 0 item in your cart

You have 0 item in your inquiry list