> Antigen, Antibodies, ELISA, Western Blot > Primary Antibody > Monoclonal Antibodies > Transglutaminase II (TGM2) Antibody - Without BSA and AzideBrand |
Leading Biology | Catalog Number |
APG01338G |
Product Type |
Monoclonal Antibodies | Field of Research |
|
Product Overview |
We constantly strive to ensure we provide our customers with the best antibodies. As a result of this work we offer this antibody in purified format.
We are in the process of updating our datasheets. If you have any questions regarding this update, please feel free to contact our technical support team.
This product is a high quality Transglutaminase II (TGM2) antibody - Without BSA and Azide.
|
||
Molecular Weight |
77-85kDa
|
||
Host |
Mouse
|
||
Species Reactivity |
Human, Mouse, Rat, Rabbit, Monkey
|
||
Clone |
SPM592
|
||
Isotype |
Mouse / IgG2a, kappa
|
||
GeneID |
|||
UniProt ID |
|||
Function |
Catalyzes the cross-linking of proteins and the conjugation of polyamines to proteins.
|
||
Summary |
Recognizes a 77-85kDa protein, identified as cellular or tissue transglutaminase II (TGase II). Transglutaminases are enzymes that catalyze the crosslinking of proteins by epsilon-gamma glutamyl lysine isopeptide bonds. While the primary structure of transglutaminases is not conserved, they all have the same amino acid sequence at their active sites and their activity is calcium-dependent. The protein encoded by this gene acts as a monomer, is induced by retinoic acid, and appears to be involved in apoptosis. Finally, the encoded protein is the autoantigen implicated in celiac disease. The identification of transglutaminase as the main antigen of endomysium antibodies allows a new diagnostic approach to celiac disease (CD), a genetic, immunologically mediated small bowel enteropathy that causes malabsorption. TGase II is implicated in programmed cell death, signal transduction, drug-resistance, cell growth, endocytosis, insulin secretion, cell adhesion, cataract formation, and wound healing.
|
||
Form |
Liquid |
||
Storage & Stability |
Store at +4°C short term. For long-term storage, aliquot and store at -20°C or below. Stable for 12 months at -20°C. Avoid repeated freeze-thaw cycles.
|
||
Applications |
IHC, IF, FC
|
||
Synonyms |
Protein-glutamine gamma-glutamyltransferase 2, 2.3.2.13, Tissue transglutaminase, Transglutaminase C, TG(C), TGC, TGase C, Transglutaminase H, TGase H, Transglutaminase-2, TGase-2, TGM2
|
||
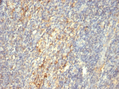
Images |
Formalin-fixed, paraffin-embedded human Tonsil stained with Transglutaminase II Monoclonal Antibody (SPM592) |
||
Specification |
|||
Quantity |
|
||
| Select | Brand | Catalog No. | Product Name | Pack Size | Type | Field of Research | Specification | Quantity | Price(USD) | |
| 1 | Leading Biology | APG02467G | CCK4 / PTK7 Antibody (clone 4F9) | 50 μl | Monoclonal Antibodies |
|
$495.00 | Add Ask | ||
| 2 | Leading Biology | AMM04683G | GALT Antibody (clone 4C11) | 50 μg | Monoclonal Antibodies |
|
$545.00 | Add Ask | ||
| 3 | Leading Biology | AMM01402G | Vimentin (Mesenchymal Cell Marker) Antibody - With BSA and Azide | 50 ug | Monoclonal Antibodies |
|
$395.00 | Add Ask | ||
| 4 | Leading Biology | APR08280G | LTA4H / LTA4 Antibody (clone 9G8) | 50 μl | Monoclonal Antibodies |
|
$495.00 | Add Ask | ||
| 5 | Leading Biology | AMM00172G | CD1a / HTA1 (Mature Langerhans Cells Marker) Antibody - With BSA and Azide | 50 ug | Monoclonal Antibodies |
|
$395.00 | Add Ask | ||
| 6 | Leading Biology | AMM05750G | CEBPA Antibody | 100 μl | Monoclonal Antibodies |
|
$545.00 | Add Ask |
Leading Biology Inc.
2600 Hilltop DR, Building G, B Suite C138
Richmond, CA, 94806
Tel: 1-661-524(LBI)-0262
Email: info@leadingbiology.com
Complete this form and click send to ask us a question, request a quote or simply say hello.

You have 0 item in your cart

You have 0 item in your inquiry list