> Antigen, Antibodies, ELISA, Western Blot > Primary Antibody > Monoclonal Antibodies > CD147 / EMMPRIN / Neurothelin Antibody - Without BSA and AzideBrand |
Leading Biology | Catalog Number |
AMM04391G |
Product Type |
Monoclonal Antibodies | Field of Research |
|
Product Overview |
We constantly strive to ensure we provide our customers with the best antibodies. As a result of this work we offer this antibody in purified format.
We are in the process of updating our datasheets. If you have any questions regarding this update, please feel free to contact our technical support team.
This product is a high quality CD147 / EMMPRIN / Neurothelin antibody - Without BSA and Azide.
|
||
Molecular Weight |
35kDa (non-reduced); 40kDa (reduced)
|
||
Cellular Localization |
Antigen Cellular Localization:
Cell membrane; Single-pass type I membrane protein Melanosome. Note=Colocalizes with SLC16A1 and SLC16A8. Identified by mass spectrometry in melanosome fractions from stage I to stage IV. {ECO:0000250|UniProtKB:P18572, ECO:0000269|PubMed:17081065}
|
||
Host |
Mouse
|
||
Species Reactivity |
Human
|
||
Clone |
BSG/963
|
||
Isotype |
Mouse / IgG1
|
||
GeneID |
|||
UniProt ID |
|||
Function |
Plays an important role in targeting the monocarboxylate transporters SLC16A1, SLC16A3 and SLC16A8 to the plasma membrane. Plays pivotal roles in spermatogenesis, embryo implantation, neural network formation and tumor progression. Stimulates adjacent fibroblasts to produce matrix metalloproteinases (MMPS). Seems to be a receptor for oligomannosidic glycans. In vitro, promotes outgrowth of astrocytic processes.
|
||
Summary |
This MAb recognizes extracellular epitope of human CD147. It is expressed more intensely on thymocytes than on mature peripheral blood T cells. CD147 is important in spermatogenesis, embryo implantation, neural network formation, and tumor progression. It stimulates the production of interstitial collagenase, gelatinase A, stromelysin-1 and various metalloproteinases (MMPs) by fibroblasts. These enzymes are important factors in cancer invasion and metastasis.
|
||
Form |
Liquid |
||
Storage & Stability |
Store at +4°C short term. For long-term storage, aliquot and store at -20°C or below. Stable for 12 months at -20°C. Avoid repeated freeze-thaw cycles.
|
||
Applications |
IHC, IF, FC
|
||
Synonyms |
Basigin, 5F7, Collagenase stimulatory factor, Extracellular matrix metalloproteinase inducer, EMMPRIN, Leukocyte activation antigen M6, OK blood group antigen, Tumor cell-derived collagenase stimulatory factor, TCSF, CD147, BSG
|
||
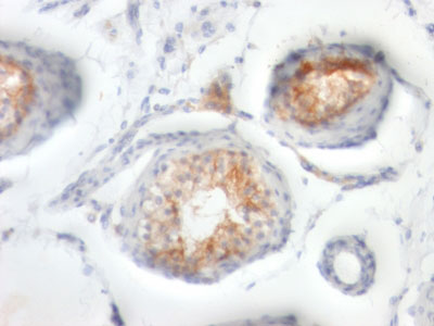
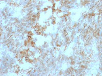
Images |
Formalin-fixed, paraffin-embedded human Renal Cell Carcinoma stained with CD147 Monoclonal Antibody (BSG/963).
Formalin-fixed, paraffin-embedded human Colon Carcinoma stained with CD147 Monoclonal Antibody (BSG/963).
Formalin-fixed, paraffin-embedded human Testicular Carcinoma stained with CD147 Monoclonal Antibody (BSG/963). |
||
Specification |
|||
Quantity |
|
||
| Select | Brand | Catalog No. | Product Name | Pack Size | Type | Field of Research | Specification | Quantity | Price(USD) | |
| 1 | Leading Biology | APG02467G | CCK4 / PTK7 Antibody (clone 4F9) | 50 μl | Monoclonal Antibodies |
|
$495.00 | Add Ask | ||
| 2 | Leading Biology | AMM04683G | GALT Antibody (clone 4C11) | 50 μg | Monoclonal Antibodies |
|
$545.00 | Add Ask | ||
| 3 | Leading Biology | AMM01402G | Vimentin (Mesenchymal Cell Marker) Antibody - With BSA and Azide | 50 ug | Monoclonal Antibodies |
|
$395.00 | Add Ask | ||
| 4 | Leading Biology | APR08280G | LTA4H / LTA4 Antibody (clone 9G8) | 50 μl | Monoclonal Antibodies |
|
$495.00 | Add Ask | ||
| 5 | Leading Biology | AMM00172G | CD1a / HTA1 (Mature Langerhans Cells Marker) Antibody - With BSA and Azide | 50 ug | Monoclonal Antibodies |
|
$395.00 | Add Ask | ||
| 6 | Leading Biology | AMM05750G | CEBPA Antibody | 100 μl | Monoclonal Antibodies |
|
$545.00 | Add Ask |
Leading Biology Inc.
2600 Hilltop DR, Building G, B Suite C138
Richmond, CA, 94806
Tel: 1-661-524(LBI)-0262
Email: info@leadingbiology.com
Complete this form and click send to ask us a question, request a quote or simply say hello.

You have 0 item in your cart

You have 0 item in your inquiry list