> Antigen, Antibodies, ELISA, Western Blot > Primary Antibody > Monoclonal Antibodies > Milk Fat Globule (Breast Epithelial Marker) Antibody - Without BSA and AzideBrand |
Leading Biology | Catalog Number |
APR07435G |
Product Type |
Monoclonal Antibodies | Field of Research |
|
Product Overview |
We constantly strive to ensure we provide our customers with the best antibodies. As a result of this work we offer this antibody in purified format.
We are in the process of updating our datasheets. If you have any questions regarding this update, please feel free to contact our technical support team.
This product is a high quality Milk Fat Globule (Breast Epithelial Marker) antibody - Without BSA and Azide.
|
||
Molecular Weight |
45kDa
|
||
Cellular Localization |
Antigen Cellular Localization:
Membrane; Peripheral membrane protein Secreted
|
||
Host |
Mouse
|
||
Species Reactivity |
Human
|
||
Clone |
EDM45
|
||
Isotype |
Mouse / IgG1, kappa
|
||
GeneID |
|||
UniProt ID |
|||
Function |
Plays an important role in the maintenance of intestinal epithelial homeostasis and the promotion of mucosal healing. Promotes VEGF-dependent neovascularization (By similarity). Contributes to phagocytic removal of apoptotic cells in many tissues. Specific ligand for the alpha-v/beta-3 and alpha-v/beta-5 receptors. Also binds to phosphatidylserine-enriched cell surfaces in a receptor-independent manner. Zona pellucida-binding protein which may play a role in gamete interaction. Binds specifically to rotavirus and inhibits its replication.
|
||
Summary |
Recognizes a protein of 40-45kDa, identified as human milk fat globule membrane protein (HMFG). HMFG is present on normal human breast epithelial cells and cell lines derived from breast carcinomas, as well as to the outer surface of the human milk fat globule. HMFG is considered as a differentiation marker. It is useful as specific breast epithelial marker and can also provide a tool to study the role of the cell surface in normal and neoplastic mammary development.
|
||
Form |
Liquid |
||
Storage & Stability |
Store at +4°C short term. For long-term storage, aliquot and store at -20°C or below. Stable for 12 months at -20°C. Avoid repeated freeze-thaw cycles.
|
||
Applications |
IHC, IF, FC
|
||
Synonyms |
Lactadherin, Breast epithelial antigen BA46, HMFG, MFGM, Milk fat globule-EGF factor 8, MFG-E8, SED1, Lactadherin short form, Medin, MFGE8
|
||
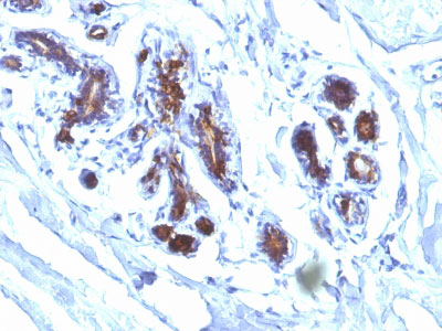
Images |
Formalin-fixed, paraffin-embedded human Breast Carcinoma stained with Milk Fat Globule Monoclonal Antibody (EDM45) |
||
Specification |
|||
Quantity |
|
||
| Select | Brand | Catalog No. | Product Name | Pack Size | Type | Field of Research | Specification | Quantity | Price(USD) | |
| 1 | Leading Biology | APG02467G | CCK4 / PTK7 Antibody (clone 4F9) | 50 μl | Monoclonal Antibodies |
|
$495.00 | Add Ask | ||
| 2 | Leading Biology | AMM04683G | GALT Antibody (clone 4C11) | 50 μg | Monoclonal Antibodies |
|
$545.00 | Add Ask | ||
| 3 | Leading Biology | AMM01402G | Vimentin (Mesenchymal Cell Marker) Antibody - With BSA and Azide | 50 ug | Monoclonal Antibodies |
|
$395.00 | Add Ask | ||
| 4 | Leading Biology | APR08280G | LTA4H / LTA4 Antibody (clone 9G8) | 50 μl | Monoclonal Antibodies |
|
$495.00 | Add Ask | ||
| 5 | Leading Biology | AMM00172G | CD1a / HTA1 (Mature Langerhans Cells Marker) Antibody - With BSA and Azide | 50 ug | Monoclonal Antibodies |
|
$395.00 | Add Ask | ||
| 6 | Leading Biology | AMM05750G | CEBPA Antibody | 100 μl | Monoclonal Antibodies |
|
$545.00 | Add Ask |
Leading Biology Inc.
2600 Hilltop DR, Building G, B Suite C138
Richmond, CA, 94806
Tel: 1-661-524(LBI)-0262
Email: info@leadingbiology.com
Complete this form and click send to ask us a question, request a quote or simply say hello.

You have 0 item in your cart

You have 0 item in your inquiry list