> Antigen, Antibodies, ELISA, Western Blot > Primary Antibody > Monoclonal Antibodies > Cytokeratin, Basic (Type II or HMW) (Epithelial Marker) Antibody - Without BSA and AzideBrand |
Leading Biology | Catalog Number |
APR14613G |
Product Type |
Monoclonal Antibodies | Field of Research |
|
Product Overview |
We constantly strive to ensure we provide our customers with the best antibodies. As a result of this work we offer this antibody in purified format.
We are in the process of updating our datasheets. If you have any questions regarding this update, please feel free to contact our technical support team.
This product is a high quality Cytokeratin, Basic (Type II or HMW) (Epithelial Marker) antibody - Without BSA and Azide.
|
||
Molecular Weight |
50-67kDa
|
||
Host |
Mouse
|
||
Species Reactivity |
Human, Mouse, Rat
|
||
Clone |
34BE12
|
||
Isotype |
Mouse / IgG1, kappa
|
||
Symbol |
KRT2B, KRT2P
|
||
GeneID |
|||
UniProt ID |
|||
Function |
Probably contributes to terminal cornification.
|
||
Summary |
This antibody recognizes CK1, CK5, CK10 and CK14. In normal epithelia, it stains stratified epithelia, myoepithelial cells and basal cells in the prostate gland and bronchi. This MAb shows no reactivity with hepatocytes, pancreatic acinar cells, proximal renal tubules, or endometrial glands; there is no reactivity with cells derived from simple epithelia. Mesenchymal tumors, lymphomas, melanomas, neural tumors, and neuroendocrine tumors are negative with this antibody. It stains myoepithelial cells and has been shown to be useful in distinguishing prostate adenocarcinoma from benign prostate. This antibody has also been useful in separating benign from malignant intraductal breast proliferations.
|
||
Form |
200ug/ml of Ab purified from Bioreactor Concentrate by Protein A/G. Prepared in 10mM PBS with 0.05% BSA & 0.05% azide. Also available WITHOUT BSA & azide at 1.0mg/ml. |
||
Storage & Stability |
Store at +4°C short term. For long-term storage, aliquot and store at -20°C or below. Stable for 12 months at -20°C. Avoid repeated freeze-thaw cycles.
|
||
Applications |
WB, IHC-P, IF, FC
|
||
Synonyms |
Keratin, type II cytoskeletal 2 oral, Cytokeratin-2P, CK-2P, K2P, Keratin-76, K76, Type-II keratin Kb9, KRT76, KRT2B, KRT2P
|
||
Images |
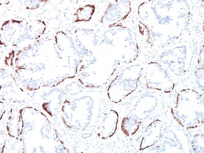
Formalin-fixed, paraffin-embedded human Prostate Carcinoma stained with Cytokeratin, HMW Monoclonal Antibody (34BE12).
Formalin-fixed, paraffin-embedded human Prostate Carcinoma stained with Cytokeratin, HMW Monoclonal Antibody (34BE12). |
||
Specification |
|||
Quantity |
|
||
| Select | Brand | Catalog No. | Product Name | Pack Size | Type | Field of Research | Specification | Quantity | Price(USD) | |
| 1 | Leading Biology | APG02467G | CCK4 / PTK7 Antibody (clone 4F9) | 50 μl | Monoclonal Antibodies |
|
$495.00 | Add Ask | ||
| 2 | Leading Biology | AMM04683G | GALT Antibody (clone 4C11) | 50 μg | Monoclonal Antibodies |
|
$545.00 | Add Ask | ||
| 3 | Leading Biology | AMM01402G | Vimentin (Mesenchymal Cell Marker) Antibody - With BSA and Azide | 50 ug | Monoclonal Antibodies |
|
$395.00 | Add Ask | ||
| 4 | Leading Biology | APR08280G | LTA4H / LTA4 Antibody (clone 9G8) | 50 μl | Monoclonal Antibodies |
|
$495.00 | Add Ask | ||
| 5 | Leading Biology | AMM00172G | CD1a / HTA1 (Mature Langerhans Cells Marker) Antibody - With BSA and Azide | 50 ug | Monoclonal Antibodies |
|
$395.00 | Add Ask | ||
| 6 | Leading Biology | AMM05750G | CEBPA Antibody | 100 μl | Monoclonal Antibodies |
|
$545.00 | Add Ask |
Leading Biology Inc.
2600 Hilltop DR, Building G, B Suite C138
Richmond, CA, 94806
Tel: 1-661-524(LBI)-0262
Email: info@leadingbiology.com
Complete this form and click send to ask us a question, request a quote or simply say hello.

You have 0 item in your cart

You have 0 item in your inquiry list