> Antigen, Antibodies, ELISA, Western Blot > Primary Antibody > Monoclonal Antibodies > ACTH (Adrenocorticotrophic Hormone) (Pituitary Marker) Antibody - Without BSA and AzideBrand |
Leading Biology | Catalog Number |
APR07203G |
Product Type |
Monoclonal Antibodies | Field of Research |
|
Product Overview |
We constantly strive to ensure we provide our customers with the best antibodies. As a result of this work we offer this antibody in purified format.
We are in the process of updating our datasheets. If you have any questions regarding this update, please feel free to contact our technical support team.
This product is a high quality ACTH (Adrenocorticotrophic Hormone) (Pituitary Marker) antibody - Without BSA and Azide.
|
||
Molecular Weight |
ACTH is ~5kDa, and the POMC precursor is ~30kDa. The molecular weight of POMC depends upon isoform variation and post-translational modifications.
|
||
Cellular Localization |
Antigen Cellular Localization:
Secreted.
|
||
Host |
Mouse
|
||
Species Reactivity |
Human, Mouse, Rat
|
||
Clone |
AH26 + 57
|
||
Isotype |
Mouse / IgG's
|
||
GeneID |
|||
UniProt ID |
|||
Function |
ACTH stimulates the adrenal glands to release cortisol. Beta-endorphin and Met-enkephalin are endogenous opiates.
|
||
Summary |
ACTH (same as Corticotropin) is a 39 amino acid active peptide produced by the anterior pituitary. This MAb is specific to Synacthen (aa1-24 of ACTH); does not react with CLIP (aa17-39 of ACTH). POMC (pro-opiomelanocortin or corticotropin-lipotropin) is a 267 amino acid polypeptide hormone precursor that goes through extensive, tissue-specific posttranslational processing by convertases. POMC is cleaved into ten hormone chains named NPP, ACTH, alpha-MSH (Melanocyte Stimulating Hormone), beta-MSH, gamma-MSH, CLIP (corticotropin-like intermediary peptide), Lipotropin-beta, Lipotropin-gamma, beta-endorphin and Met-enkephalin. ACTH is also produced by cells of immune system (T-cells, B-cells, and macrophages) in response to stimuli associated with stress. Anti-ACTH is a useful marker in classification of pituitary tumors and the study of pituitary disease. It reacts with ACTH-producing cells (corticotrophs).?It also may react with other tumors (e.g. some small cell carcinomas of the lung) causing paraneoplastic syndromes by secreting ACTH. ??
|
||
Form |
200ug/ml of Ab purified from Bioreactor Concentrate by Protein A/G. Prepared in 10mM PBS with 0.05% BSA & 0.05% azide. Also available WITHOUT BSA & azide at 1.0mg/ml. |
||
Storage & Stability |
Store at +4°C short term. For long-term storage, aliquot and store at -20°C or below. Stable for 12 months at -20°C. Avoid repeated freeze-thaw cycles.
|
||
Applications |
WB, IHC-P, IF, FC, IP
|
||
Synonyms |
Pro-opiomelanocortin, POMC, Corticotropin-lipotropin, NPP, Melanotropin gamma, Gamma-MSH, Potential peptide, Corticotropin, Adrenocorticotropic hormone, ACTH, Melanotropin alpha, Alpha-MSH, Corticotropin-like intermediary peptide, CLIP, Lipotropin beta, Beta-LPH, Lipotropin gamma, Gamma-LPH, Melanotropin beta, Beta-MSH, Beta-endorphin, Met-enkephalin, POMC
|
||
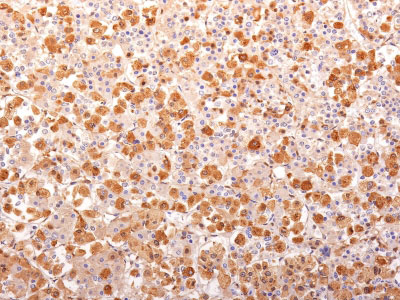
Images |
Formalin-fixed, paraffin-embedded human Pituitary Gland stained with ACTH Monoclonal Antibody (AH26 + 57). |
||
Specification |
|||
Quantity |
|
||
| Select | Brand | Catalog No. | Product Name | Pack Size | Type | Field of Research | Specification | Quantity | Price(USD) | |
| 1 | Leading Biology | APG02467G | CCK4 / PTK7 Antibody (clone 4F9) | 50 μl | Monoclonal Antibodies |
|
$495.00 | Add Ask | ||
| 2 | Leading Biology | AMM04683G | GALT Antibody (clone 4C11) | 50 μg | Monoclonal Antibodies |
|
$545.00 | Add Ask | ||
| 3 | Leading Biology | AMM01402G | Vimentin (Mesenchymal Cell Marker) Antibody - With BSA and Azide | 50 ug | Monoclonal Antibodies |
|
$395.00 | Add Ask | ||
| 4 | Leading Biology | APR08280G | LTA4H / LTA4 Antibody (clone 9G8) | 50 μl | Monoclonal Antibodies |
|
$495.00 | Add Ask | ||
| 5 | Leading Biology | AMM00172G | CD1a / HTA1 (Mature Langerhans Cells Marker) Antibody - With BSA and Azide | 50 ug | Monoclonal Antibodies |
|
$395.00 | Add Ask | ||
| 6 | Leading Biology | AMM05750G | CEBPA Antibody | 100 μl | Monoclonal Antibodies |
|
$545.00 | Add Ask |
Leading Biology Inc.
2600 Hilltop DR, Building G, B Suite C138
Richmond, CA, 94806
Tel: 1-661-524(LBI)-0262
Email: info@leadingbiology.com
Complete this form and click send to ask us a question, request a quote or simply say hello.

You have 0 item in your cart

You have 0 item in your inquiry list