> Antigen, Antibodies, ELISA, Western Blot > Primary Antibody > Monoclonal Antibodies > BCL10 (MALT-Lymphoma Marker) AntibodyBrand |
Leading Biology | Catalog Number |
APR07278G |
Product Type |
Monoclonal Antibodies | Field of Research |
|
Product Overview |
We constantly strive to ensure we provide our customers with the best antibodies. As a result of this work we offer this antibody in purified format.
We are in the process of updating our datasheets. If you have any questions regarding this update, please feel free to contact our technical support team.
This product is a high quality BCL10 (MALT-Lymphoma Marker) antibody.
|
||
Molecular Weight |
33kDa
|
||
Cellular Localization |
Antigen Cellular Localization:
Cytoplasm, perinuclear region. Membrane raft. Note=Appears to have a perinuclear, compact and filamentous pattern of expression. Also found in the nucleus of several types of tumor cells. Colocalized with DPP4 in membrane rafts
|
||
Host |
Mouse
|
||
Species Reactivity |
Human
|
||
Clone |
SPM520
|
||
Isotype |
Mouse / IgG1, kappa
|
||
Symbol |
CIPER, CLAP
|
||
GeneID |
|||
UniProt ID |
|||
Function |
Involved in adaptive immune response (PubMed:25365219). Promotes apoptosis, pro-caspase-9 maturation and activation of NF- kappa-B via NIK and IKK. May be an adapter protein between upstream TNFR1-TRADD-RIP complex and the downstream NIK-IKK-IKAP complex. Is a substrate for MALT1 (PubMed:18264101).
|
||
Summary |
BCL10, with an N-terminal caspase recruitment domain (CARD), is found in a number of apoptotic regulatory molecules. It was identified through its direct involvement in t(1;14) of mucosa-associated lymphoid tissue (MALT) lymphoma. Expression of BCL10 was shown to induce NF??B activation in a NIK-dependent pathway. This MAb labels subpopulations of normal B and T cells and is a useful tool for the sub-classification of lymphomas. In MALT lymphomas with the t(1;14) translocation, while 55% of MALT lymphomas lacking this translocation exhibited the same labeling pattern, although at a much lower level.
|
||
Form |
Liquid. In PBS containing 0.02% sodium azide. |
||
Storage & Stability |
Store at +4°C short term. For long-term storage, aliquot and store at -20°C or below. Stable for 12 months at -20°C. Avoid repeated freeze-thaw cycles.
|
||
Applications |
WB, IHC, IF, FC
|
||
Synonyms |
B-cell lymphoma/leukemia 10, B-cell CLL/lymphoma 10, Bcl-10, CARD-containing molecule enhancing NF-kappa-B, CARD-like apoptotic protein, hCLAP, CED-3/ICH-1 prodomain homologous E10-like regulator, CIPER, Cellular homolog of vCARMEN, cCARMEN, Cellular-E10, c-E10, Mammalian CARD-containing adapter molecule E10, mE10, BCL10, CIPER, CLAP
|
||
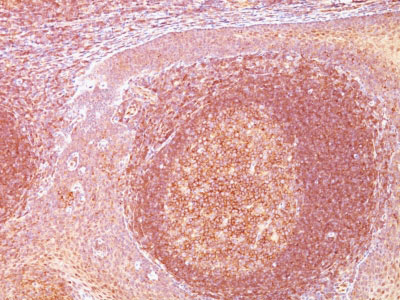
Images |
Formalin-fixed, paraffin-embedded human Tonsil stained with BCL10 Monoclonal Antibody (SPM520). |
||
Specification |
|||
Quantity |
|
||
| Select | Brand | Catalog No. | Product Name | Pack Size | Type | Field of Research | Specification | Quantity | Price(USD) | |
| 1 | Leading Biology | APG02467G | CCK4 / PTK7 Antibody (clone 4F9) | 50 μl | Monoclonal Antibodies |
|
$495.00 | Add Ask | ||
| 2 | Leading Biology | AMM04683G | GALT Antibody (clone 4C11) | 50 μg | Monoclonal Antibodies |
|
$545.00 | Add Ask | ||
| 3 | Leading Biology | AMM01402G | Vimentin (Mesenchymal Cell Marker) Antibody - With BSA and Azide | 50 ug | Monoclonal Antibodies |
|
$395.00 | Add Ask | ||
| 4 | Leading Biology | APR08280G | LTA4H / LTA4 Antibody (clone 9G8) | 50 μl | Monoclonal Antibodies |
|
$495.00 | Add Ask | ||
| 5 | Leading Biology | AMM00172G | CD1a / HTA1 (Mature Langerhans Cells Marker) Antibody - With BSA and Azide | 50 ug | Monoclonal Antibodies |
|
$395.00 | Add Ask | ||
| 6 | Leading Biology | AMM05750G | CEBPA Antibody | 100 μl | Monoclonal Antibodies |
|
$545.00 | Add Ask |
Leading Biology Inc.
2600 Hilltop DR, Building G, B Suite C138
Richmond, CA, 94806
Tel: 1-661-524(LBI)-0262
Email: info@leadingbiology.com
Complete this form and click send to ask us a question, request a quote or simply say hello.

You have 0 item in your cart

You have 0 item in your inquiry list