> Antigen, Antibodies, ELISA, Western Blot > Primary Antibody > Monoclonal Antibodies > ZAP70 (Chronic Lymphocytic Leukemia Marker) AntibodyBrand |
Leading Biology | Catalog Number |
APR14716G |
Product Type |
Monoclonal Antibodies | Field of Research |
|
Product Overview |
We constantly strive to ensure we provide our customers with the best antibodies. As a result of this work we offer this antibody in purified format.
We are in the process of updating our datasheets. If you have any questions regarding this update, please feel free to contact our technical support team.
This product is a high quality ZAP70 (Chronic Lymphocytic Leukemia Marker) antibody.
|
||
Molecular Weight |
70kDa
|
||
Cellular Localization |
Antigen Cellular Localization:
Cytoplasm. Cell membrane; Peripheral membrane protein. Note=In quiescent T-lymphocytes, it is cytoplasmic. Upon TCR activation, it is recruited at the plasma membrane by interacting with CD247/CD3Z. Colocalizes together with RHOH in the immunological synapse. RHOH is required for its proper localization to the cell membrane and cytoskeleton fractions in the thymocytes (By similarity).
|
||
Host |
Mouse
|
||
Species Reactivity |
Human
|
||
Clone |
SPM362
|
||
Isotype |
Mouse / IgG2a, kappa
|
||
Symbol |
SRK
|
||
GeneID |
|||
UniProt ID |
|||
Function |
Tyrosine kinase that plays an essential role in regulation of the adaptive immune response. Regulates motility, adhesion and cytokine expression of mature T-cells, as well as thymocyte development. Contributes also to the development and activation of primary B-lymphocytes. When antigen presenting cells (APC) activate T-cell receptor (TCR), a serie of phosphorylations lead to the recruitment of ZAP70 to the doubly phosphorylated TCR component CD247/CD3Z through ITAM motif at the plasma membrane. This recruitment serves to localization to the stimulated TCR and to relieve its autoinhibited conformation. Release of ZAP70 active conformation is further stabilized by phosphorylation mediated by LCK. Subsequently, ZAP70 phosphorylates at least 2 essential adapter proteins: LAT and LCP2. In turn, a large number of signaling molecules are recruited and ultimately lead to lymphokine production, T-cell proliferation and differentiation. Furthermore, ZAP70 controls cytoskeleton modifications, adhesion and mobility of T-lymphocytes, thus ensuring correct delivery of effectors to the APC. ZAP70 is also required for TCR-CD247/CD3Z internalization and degradation through interaction with the E3 ubiquitin-protein ligase CBL and adapter proteins SLA and SLA2. Thus, ZAP70 regulates both T-cell activation switch on and switch off by modulating TCR expression at the T-cell surface. During thymocyte development, ZAP70 promotes survival and cell-cycle progression of developing thymocytes before positive selection (when cells are still CD4/CD8 double negative). Additionally, ZAP70-dependent signaling pathway may also contribute to primary B-cells formation and activation through B-cell receptor (BCR).
|
||
Summary |
ZAP70 is a 70kDa protein tyrosine kinase found in T-cells and natural killer cells. ?Control of this protein translation is via the IgVH gene.?In Western blotting of whole cell lysates of normal peripheral blood mononuclear cells, the antibody labels a band corresponding to ZAP70. In Western blotting of whole cell lysates of CD19-positive purified leukemia cells from patients with Ig-unmutated and Ig-mutated CLL, the antibody labels a band corresponding to ZAP70 in the Ig-unmutated CLL samples, whereas no band is observed in the Ig-mutated CLL samples. In Western blotting of cell lysates of Jurkat cells (T-lymphoblastic cell line), the antibody labels a band of 70kDa protein. In Western blotting of cell lysates of A431 cells (carcinoma cell line), no band is observed. ZAP70 protein is expressed in leukemic cells of approximately 25% of chronic lymphocytic leukemia (CLL) cases as well. ?Anti-ZAP70 expression is an excellent surrogate marker for the distinction between the Ig-mutated (anti-ZAP70 negative) and Ig-unmutated (anti-ZAP70 positive) CLL subtypes and can identify patient groups with divergent clinical courses. The anti-ZAP70 positive Ig-unmutated CLL cases have been shown to have a poorer prognosis.
|
||
Form |
Liquid. In PBS containing 0.02% sodium azide. |
||
Storage & Stability |
Store at +4°C short term. For long-term storage, aliquot and store at -20°C or below. Stable for 12 months at -20°C. Avoid repeated freeze-thaw cycles.
|
||
Applications |
IHC, IF, FC
|
||
Synonyms |
Tyrosine-protein kinase ZAP-70, 2.7.10.2, 70 kDa zeta-chain associated protein, Syk-related tyrosine kinase, ZAP70, SRK
|
||
Images |
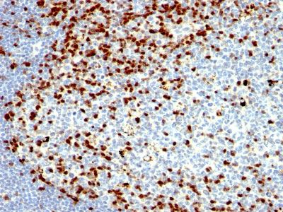
Formalin-fixed, paraffin-embedded human Tonsil stained with ZAP70 Monoclonal Antibody (SPM362). |
||
Specification |
|||
Quantity |
|
||
| Select | Brand | Catalog No. | Product Name | Pack Size | Type | Field of Research | Specification | Quantity | Price(USD) | |
| 1 | Leading Biology | APG02467G | CCK4 / PTK7 Antibody (clone 4F9) | 50 μl | Monoclonal Antibodies |
|
$495.00 | Add Ask | ||
| 2 | Leading Biology | AMM04683G | GALT Antibody (clone 4C11) | 50 μg | Monoclonal Antibodies |
|
$545.00 | Add Ask | ||
| 3 | Leading Biology | AMM01402G | Vimentin (Mesenchymal Cell Marker) Antibody - With BSA and Azide | 50 ug | Monoclonal Antibodies |
|
$395.00 | Add Ask | ||
| 4 | Leading Biology | APR08280G | LTA4H / LTA4 Antibody (clone 9G8) | 50 μl | Monoclonal Antibodies |
|
$495.00 | Add Ask | ||
| 5 | Leading Biology | AMM00172G | CD1a / HTA1 (Mature Langerhans Cells Marker) Antibody - With BSA and Azide | 50 ug | Monoclonal Antibodies |
|
$395.00 | Add Ask | ||
| 6 | Leading Biology | AMM05750G | CEBPA Antibody | 100 μl | Monoclonal Antibodies |
|
$545.00 | Add Ask |
Leading Biology Inc.
2600 Hilltop DR, Building G, B Suite C138
Richmond, CA, 94806
Tel: 1-661-524(LBI)-0262
Email: info@leadingbiology.com
Complete this form and click send to ask us a question, request a quote or simply say hello.

You have 0 item in your cart

You have 0 item in your inquiry list