> Antigen, Antibodies, ELISA, Western Blot > Primary Antibody > Monoclonal Antibodies > S100A1 (Astrocyte Marker) AntibodyBrand |
Leading Biology | Catalog Number |
APG03087G |
Product Type |
Monoclonal Antibodies | Field of Research |
|
Product Overview |
We constantly strive to ensure we provide our customers with the best antibodies. As a result of this work we offer this antibody in purified format.
We are in the process of updating our datasheets. If you have any questions regarding this update, please feel free to contact our technical support team.
This product is a high quality S100A1 (Astrocyte Marker) antibody.
|
||
Molecular Weight |
10-12kDa
|
||
Cellular Localization |
Antigen Cellular Localization:
Cytoplasm.
|
||
Host |
Mouse
|
||
Species Reactivity |
Human, Mouse, Rat, Cow
|
||
Clone |
4C4.9 + S100A1/1012
|
||
Isotype |
Mouse / IgG's
|
||
Symbol |
S100A
|
||
GeneID |
|||
UniProt ID |
|||
Function |
Weakly binds calcium but binds zinc very tightly- distinct binding sites with different affinities exist for both ions on each monomer. Physiological concentrations of potassium ion antagonize the binding of both divalent cations, especially affecting high-affinity calcium-binding sites. May mediate calcium-dependent regulation on many physiological processes by interacting with other proteins, such as TPR-containing proteins, and modulating their activity.
|
||
Summary |
S100 belongs to the family of calcium binding proteins. S100A and S100B proteins are two members of the S100 family. S100A is composed of an alpha and beta chain whereas S100B is composed of two beta chains. S-100 protein has been found in normal melanocytes, Langerhans cells, histiocytes, chondrocytes, lipocytes, skeletal and cardiac muscle, Schwann cells, epithelial and myoepithelial cells of the breast, salivary and sweat glands, as well as in glial cells. Neoplasms derived from these cells also express S-100 protein, albeit non-uniformly. A large number of well-differentiated tumors of the salivary gland, adipose and cartilaginous tissue, and Schwann cell-derived tumors express S-100 protein. Almost all malignant melanomas and cases of histiocytosis X are positive for S-100 protein. Despite the fact that S-100 protein is an ubiquitous substance, its demonstration is of great value in the identification of several neoplasms, particularly melanomas and their metastases.
|
||
Form |
Liquid. In PBS containing 0.02% sodium azide. |
||
Storage & Stability |
Store at +4°C short term. For long-term storage, aliquot and store at -20°C or below. Stable for 12 months at -20°C. Avoid repeated freeze-thaw cycles.
|
||
Applications |
WB, IF, FC
|
||
Synonyms |
Protein S100-A1, S-100 protein alpha chain, S-100 protein subunit alpha, S100 calcium-binding protein A1, S100A1, S100A
|
||
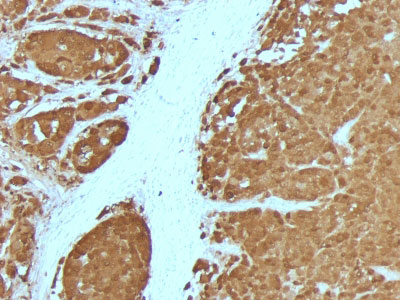
Images |
Formalin--paraffin human Melanoma stained with S100A1 Monoclonal Antibody (4C4.9 + S100A1/1012)
Confocal Immunofluorescent analysis of A2058 cellsusing AF488-labeled S100A1 Monoclonal Antibody (4C4.9 + S100A1/1012) (Green).F-actin filaments were labeled with DyLight 554 Phalloidin (red).DAPI was used to stain the cell nuclei (blue).
Confocal Immunofluorescent analysis of A2058 cellsusing AF488-labeled Isotype Control Monoclonal Antibody (IgG2a) (Green).F-actin filaments were labeled with DyLight 554 Phalloidin (red).DAPI was used to stain the cell nuclei (blue). (Negative Control) |
||
Specification |
|||
Quantity |
|
||
| Select | Brand | Catalog No. | Product Name | Pack Size | Type | Field of Research | Specification | Quantity | Price(USD) | |
| 1 | Leading Biology | APG02467G | CCK4 / PTK7 Antibody (clone 4F9) | 50 μl | Monoclonal Antibodies |
|
$495.00 | Add Ask | ||
| 2 | Leading Biology | AMM04683G | GALT Antibody (clone 4C11) | 50 μg | Monoclonal Antibodies |
|
$545.00 | Add Ask | ||
| 3 | Leading Biology | AMM01402G | Vimentin (Mesenchymal Cell Marker) Antibody - With BSA and Azide | 50 ug | Monoclonal Antibodies |
|
$395.00 | Add Ask | ||
| 4 | Leading Biology | APR08280G | LTA4H / LTA4 Antibody (clone 9G8) | 50 μl | Monoclonal Antibodies |
|
$495.00 | Add Ask | ||
| 5 | Leading Biology | AMM00172G | CD1a / HTA1 (Mature Langerhans Cells Marker) Antibody - With BSA and Azide | 50 ug | Monoclonal Antibodies |
|
$395.00 | Add Ask | ||
| 6 | Leading Biology | AMM05750G | CEBPA Antibody | 100 μl | Monoclonal Antibodies |
|
$545.00 | Add Ask |
Leading Biology Inc.
2600 Hilltop DR, Building G, B Suite C138
Richmond, CA, 94806
Tel: 1-661-524(LBI)-0262
Email: info@leadingbiology.com
Complete this form and click send to ask us a question, request a quote or simply say hello.

You have 0 item in your cart

You have 0 item in your inquiry list