> Antigen, Antibodies, ELISA, Western Blot > Primary Antibody > Monoclonal Antibodies > NKX2.2 (Neuroendocrine & Ewing's Sarcoma Marker) AntibodyBrand |
Leading Biology | Catalog Number |
APG03078G |
Product Type |
Monoclonal Antibodies | Field of Research |
|
Product Overview |
We constantly strive to ensure we provide our customers with the best antibodies. As a result of this work we offer this antibody in purified format.
We are in the process of updating our datasheets. If you have any questions regarding this update, please feel free to contact our technical support team.
This product is a high quality NKX2.2 (Neuroendocrine & Ewing's Sarcoma Marker) antibody.
|
||
Molecular Weight |
40-50kDa
|
||
Cellular Localization |
Antigen Cellular Localization:
Nucleus {ECO:0000255|PROSITE- ProRule:PRU00108}
|
||
Host |
Mouse
|
||
Species Reactivity |
Human, Mouse, Chicken
|
||
Clone |
NX2/294
|
||
Isotype |
Mouse / IgG2b, kappa
|
||
Symbol |
NKX2.2, NKX2B
|
||
GeneID |
|||
UniProt ID |
|||
Function |
Acts as a transcriptional activator. Required for the maintenance of NEUROD1 expression in the horomone-producing endocrine cells of the pancreas. May be involved in specifying diencephalic neuromeric boundaries, and in controlling the expression of genes that play a role in axonal guidance. Associates with chromatin at the NEUROD1 promoter region. Binds to a subset of consensus elements within the NEUROD1 promoter (By similarity).
|
||
Summary |
Expression of NKX2.2 has been found in neuroendocrine tumors of the gut, making it a potential marker for the study of gastrointestinal neuroendocrine tumors. More recently, NKX2.2 protein was identified as a target of EWS-FLI-1, the fusion protein specific to Ewing sarcoma, and was shown to be differentially upregulated in Ewing sarcoma on the basis of array-based gene expression analysis. It acts as a valuable marker for Ewing sarcoma, with a sensitivity of 93% and a specificity of 89%, and aids in the differential diagnosis of small round cell tumors.
|
||
Form |
Liquid. In PBS containing 0.02% sodium azide. |
||
Storage & Stability |
Store at +4°C short term. For long-term storage, aliquot and store at -20°C or below. Stable for 12 months at -20°C. Avoid repeated freeze-thaw cycles.
|
||
Applications |
IHC, IF, FC
|
||
Synonyms |
Homeobox protein Nkx-2.2, Homeobox protein NK-2 homolog B, NKX2-2, NKX2.2, NKX2B
|
||
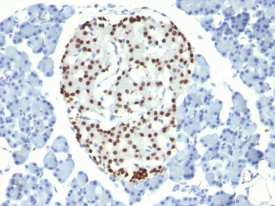
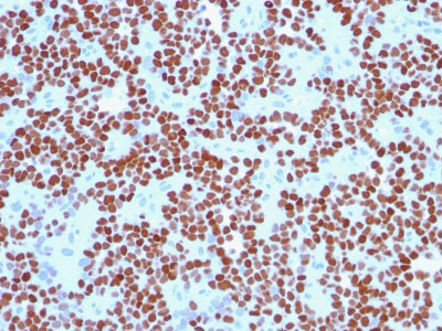
Images |
Formalin-fixed, paraffin-embedded human Ewing's Sarcoma stained with NKX2.2 Monoclonal Antibody (NX2/294).
Formalin-fixed, paraffin-embedded human Pancreas stained with NKX2.2 Monoclonal Antibody (NX2/294).
Formalin-fixed, paraffin-embedded Rat Pancreas stained with NKX2.2 Monoclonal Antibody (NX2/294). |
||
Specification |
|||
Quantity |
|
||
| Select | Brand | Catalog No. | Product Name | Pack Size | Type | Field of Research | Specification | Quantity | Price(USD) | |
| 1 | Leading Biology | APG02467G | CCK4 / PTK7 Antibody (clone 4F9) | 50 μl | Monoclonal Antibodies |
|
$495.00 | Add Ask | ||
| 2 | Leading Biology | AMM04683G | GALT Antibody (clone 4C11) | 50 μg | Monoclonal Antibodies |
|
$545.00 | Add Ask | ||
| 3 | Leading Biology | AMM01402G | Vimentin (Mesenchymal Cell Marker) Antibody - With BSA and Azide | 50 ug | Monoclonal Antibodies |
|
$395.00 | Add Ask | ||
| 4 | Leading Biology | APR08280G | LTA4H / LTA4 Antibody (clone 9G8) | 50 μl | Monoclonal Antibodies |
|
$495.00 | Add Ask | ||
| 5 | Leading Biology | AMM00172G | CD1a / HTA1 (Mature Langerhans Cells Marker) Antibody - With BSA and Azide | 50 ug | Monoclonal Antibodies |
|
$395.00 | Add Ask | ||
| 6 | Leading Biology | AMM05750G | CEBPA Antibody | 100 μl | Monoclonal Antibodies |
|
$545.00 | Add Ask |
Leading Biology Inc.
2600 Hilltop DR, Building G, B Suite C138
Richmond, CA, 94806
Tel: 1-661-524(LBI)-0262
Email: info@leadingbiology.com
Complete this form and click send to ask us a question, request a quote or simply say hello.

You have 0 item in your cart

You have 0 item in your inquiry list