> Antigen, Antibodies, ELISA, Western Blot > Primary Antibody > Monoclonal Antibodies > Myogenin (Skeletal Muscle Marker) AntibodyBrand |
Leading Biology | Catalog Number |
AMM08720G |
Product Type |
Monoclonal Antibodies | Field of Research |
|
Product Overview |
We constantly strive to ensure we provide our customers with the best antibodies. As a result of this work we offer this antibody in purified format.
We are in the process of updating our datasheets. If you have any questions regarding this update, please feel free to contact our technical support team.
This product is a high quality Myogenin (Skeletal Muscle Marker) antibody.
|
||
Molecular Weight |
34kDa
|
||
Cellular Localization |
Antigen Cellular Localization:
Nucleus. Note=Recruited to late myogenic gene promoter regulatory sequences with SMARCA4/BRG1/BAF190A and SWI/SNF chromatin-remodeling enzymes to promote chromatin- remodeling and transcription initiation in developing embryos
|
||
Host |
Mouse
|
||
Species Reactivity |
Human, Mouse, Rat, Pig, Cat
|
||
Clone |
MGN185
|
||
Isotype |
Mouse / IgG1, kappa
|
||
Symbol |
BHLHC3, MYF4
|
||
GeneID |
|||
UniProt ID |
|||
Function |
Acts as a transcriptional activator that promotes transcription of muscle-specific target genes and plays a role in muscle differentiation, cell cycle exit and muscle atrophy. Essential for the development of functional embryonic skeletal fiber muscle differentiation. However is dispensable for postnatal skeletal muscle growth; phosphorylation by CAMK2G inhibits its transcriptional activity in respons to muscle activity. Required for the recruitment of the FACT complex to muscle-specific promoter regions, thus promoting gene expression initiation. During terminal myoblast differentiation, plays a role as a strong activator of transcription at loci with an open chromatin structure previously initiated by MYOD1. Together with MYF5 and MYOD1, co-occupies muscle-specific gene promoter core regions during myogenesis. Cooperates also with myocyte-specific enhancer factor MEF2D and BRG1-dependent recruitment of SWI/SNF chromatin- remodeling enzymes to alter chromatin structure at myogenic late gene promoters. Facilitates cell cycle exit during terminal muscle differentiation through the up-regulation of miR-20a expression, which in turn represses genes involved in cell cycle progression. Binds to the E-box containing (E1) promoter region of the miR-20a gene. Plays also a role in preventing reversal of muscle cell differentiation. Contributes to the atrophy-related gene expression in adult denervated muscles. Induces fibroblasts to differentiate into myoblasts (By similarity).
|
||
Summary |
Myogenin is a member of the MyoD family of myogenic basic helix-loop-helix (bHLH) transcription factors that also includes MyoD, Myf-5, and MRF4 (also known as herculinor Myf-6). MyoD family members are expressed exclusively in skeletal muscle and play a key role in activating myogenesis by binding to enhancer sequences of muscle-specific genes. The regulatory domain of MyoD is approximately 70 amino acids in length and includes both a basic DNA binding motif and a bHLH dimerization motif. MyoD family members share about 80% amino acid homology in their bHLH motifs. Anti-myogenin labels the nuclei of myoblasts in developing muscle tissue, and is expressed in tumor cell nuclei of rhabdomyosarcoma and some leiomyosarcomas. Positive nuclear staining may occur in Wilms? tumor.
|
||
Form |
Liquid. In PBS containing 0.02% sodium azide. |
||
Storage & Stability |
Store at +4°C short term. For long-term storage, aliquot and store at -20°C or below. Stable for 12 months at -20°C. Avoid repeated freeze-thaw cycles.
|
||
Applications |
WB, IHC, IF, FC
|
||
Synonyms |
Myogenin, Class C basic helix-loop-helix protein 3, bHLHc3, Myogenic factor 4, Myf-4, MYOG, BHLHC3, MYF4
|
||
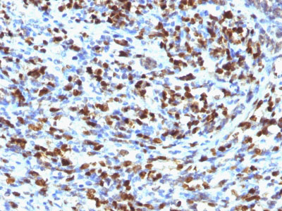
Images |
Formalin-fixed, paraffin-embedded Rhabdomyosarcoma stained with Myogenin Monoclonal Antibody (MGN185) |
||
Specification |
|||
Quantity |
|
||
| Select | Brand | Catalog No. | Product Name | Pack Size | Type | Field of Research | Specification | Quantity | Price(USD) | |
| 1 | Leading Biology | APG02467G | CCK4 / PTK7 Antibody (clone 4F9) | 50 μl | Monoclonal Antibodies |
|
$495.00 | Add Ask | ||
| 2 | Leading Biology | AMM04683G | GALT Antibody (clone 4C11) | 50 μg | Monoclonal Antibodies |
|
$545.00 | Add Ask | ||
| 3 | Leading Biology | AMM01402G | Vimentin (Mesenchymal Cell Marker) Antibody - With BSA and Azide | 50 ug | Monoclonal Antibodies |
|
$395.00 | Add Ask | ||
| 4 | Leading Biology | APR08280G | LTA4H / LTA4 Antibody (clone 9G8) | 50 μl | Monoclonal Antibodies |
|
$495.00 | Add Ask | ||
| 5 | Leading Biology | AMM00172G | CD1a / HTA1 (Mature Langerhans Cells Marker) Antibody - With BSA and Azide | 50 ug | Monoclonal Antibodies |
|
$395.00 | Add Ask | ||
| 6 | Leading Biology | AMM05750G | CEBPA Antibody | 100 μl | Monoclonal Antibodies |
|
$545.00 | Add Ask |
Leading Biology Inc.
2600 Hilltop DR, Building G, B Suite C138
Richmond, CA, 94806
Tel: 1-661-524(LBI)-0262
Email: info@leadingbiology.com
Complete this form and click send to ask us a question, request a quote or simply say hello.

You have 0 item in your cart

You have 0 item in your inquiry list