> Antigen, Antibodies, ELISA, Western Blot > Primary Antibody > Monoclonal Antibodies > Cytokeratin 17 (KRT17) (Basal Epithelial Marker) AntibodyBrand |
Leading Biology | Catalog Number |
APR14483G |
Product Type |
Monoclonal Antibodies | Field of Research |
|
Product Overview |
We constantly strive to ensure we provide our customers with the best antibodies. As a result of this work we offer this antibody in purified format.
We are in the process of updating our datasheets. If you have any questions regarding this update, please feel free to contact our technical support team.
This product is a high quality Cytokeratin 17 (KRT17) (Basal Epithelial Marker) antibody.
|
||
Molecular Weight |
46kDa
|
||
Cellular Localization |
Antigen Cellular Localization:
Cytoplasm {ECO:0000250|UniProtKB:Q9QWL7}.
|
||
Host |
Mouse
|
||
Species Reactivity |
Human, Rat, Pig, Goat, Cow
|
||
Clone |
SPM560
|
||
Isotype |
Mouse / IgG2b, kappa
|
||
GeneID |
|||
UniProt ID |
|||
Function |
Type I keratin involved in the formation and maintenance of various skin appendages, specifically in determining shape and orientation of hair (By similarity). Required for the correct growth of hair follicles, in particular for the persistence of the anagen (growth) state (By similarity). Modulates the function of TNF-alpha in the specific context of hair cycling. Regulates protein synthesis and epithelial cell growth through binding to the adapter protein SFN and by stimulating Akt/mTOR pathway (By similarity). Involved in tissue repair. May be a marker of basal cell differentiation in complex epithelia and therefore indicative of a certain type of epithelial "stem cells". Acts as a promoter of epithelial proliferation by acting a regulator of immune response in skin: promotes Th1/Th17-dominated immune environment contributing to the development of basaloid skin tumors (By similarity). May act as an autoantigen in the immunopathogenesis of psoriasis, with certain peptide regions being a major target for autoreactive T-cells and hence causing their proliferation.
|
||
Summary |
Cytokeratin 17 (CK17) is a member of the Cytokeratin subfamily of intermediate filament proteins (IFP?s). It is unique in that it is normally expressed in the basal cells of complex epithelia but not in stratified or simple epithelia. CK17 is expressed in the nail bed, hair follicle, sebaceous glands and other epidermal appendages. Antibody to CK17 is an excellent tool to distinguish myoepithelial cells from luminal epithelium of various glands such as mammary, sweat and salivary. CK17 is expressed in epithelial cells of various origins, such as bronchial epithelial cells and skin appendages. It may be considered as ?epithelial stem cell? marker because CK17 Ab marks basal cell differentiation. CK17 can be useful when included in a panel of antibodies against TTF-1, napsin A, CK5&6, p63, and SOX-2 for diagnostic differentiation between lung adenocarcinoma (LADC) and lung squamous cell carcinoma (SCLC), especially for poorly-differentiated lung carcinoma. CK17 is expressed in SCLC much higher than in LADC. In breast carcinomas, approximately 20% of patients show no expression of ER, PR and Her2, which are defined as triple negative tumor. Eighty-five percent of the triple negative breast carcinomas immunoreact with basal cytokeratins including anti-CK17. Also important is that cases of triple negative breast carcinoma with expression of CK17 show an aggressive clinical course. The histologic differentiation of ampullary cancer, intestinal vs. pancreatobiliary, is very important for treatment. Usually anti-CK17 and anti-MUC1 immunoreactivity represents pancreatobiliary subtype whereas anti-MUC2 and anti-CDX-2 positivity defines intestinal subtype.
|
||
Form |
Liquid. In PBS containing 0.02% sodium azide. |
||
Storage & Stability |
Store at +4°C short term. For long-term storage, aliquot and store at -20°C or below. Stable for 12 months at -20°C. Avoid repeated freeze-thaw cycles.
|
||
Applications |
WB, IHC-F, IF, FC
|
||
Synonyms |
Keratin, type I cytoskeletal 17, 39.1, Cytokeratin-17, CK-17, Keratin-17, K17, KRT17
|
||
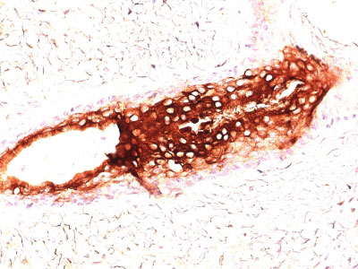
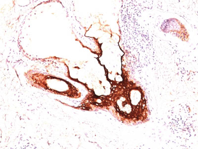
Images |
Formalin-fixed, paraffin-embedded human Skin stained with CK17 Monoclonal Antibody (SPM560).
Formalin-fixed, paraffin-embedded human Skin stained with CK17 Monoclonal Antibody (SPM560).
Western Blot of HeLa Lysate using CK17 Monoclonal Antibody (SPM560). |
||
Specification |
|||
Quantity |
|
||
| Select | Brand | Catalog No. | Product Name | Pack Size | Type | Field of Research | Specification | Quantity | Price(USD) | |
| 1 | Leading Biology | APG02467G | CCK4 / PTK7 Antibody (clone 4F9) | 50 μl | Monoclonal Antibodies |
|
$495.00 | Add Ask | ||
| 2 | Leading Biology | AMM04683G | GALT Antibody (clone 4C11) | 50 μg | Monoclonal Antibodies |
|
$545.00 | Add Ask | ||
| 3 | Leading Biology | AMM01402G | Vimentin (Mesenchymal Cell Marker) Antibody - With BSA and Azide | 50 ug | Monoclonal Antibodies |
|
$395.00 | Add Ask | ||
| 4 | Leading Biology | APR08280G | LTA4H / LTA4 Antibody (clone 9G8) | 50 μl | Monoclonal Antibodies |
|
$495.00 | Add Ask | ||
| 5 | Leading Biology | AMM00172G | CD1a / HTA1 (Mature Langerhans Cells Marker) Antibody - With BSA and Azide | 50 ug | Monoclonal Antibodies |
|
$395.00 | Add Ask | ||
| 6 | Leading Biology | AMM05750G | CEBPA Antibody | 100 μl | Monoclonal Antibodies |
|
$545.00 | Add Ask |
Leading Biology Inc.
2600 Hilltop DR, Building G, B Suite C138
Richmond, CA, 94806
Tel: 1-661-524(LBI)-0262
Email: info@leadingbiology.com
Complete this form and click send to ask us a question, request a quote or simply say hello.

You have 0 item in your cart

You have 0 item in your inquiry list