> Antigen, Antibodies, ELISA, Western Blot > Primary Antibody > Monoclonal Antibodies > 4E-BP1 AntibodyBrand |
Leading Biology | Catalog Number |
APG01360G |
Product Type |
Monoclonal Antibodies | Field of Research |
|
Product Overview |
We constantly strive to ensure we provide our customers with the best antibodies. As a result of this work we offer this antibody in purified format.
We are in the process of updating our datasheets. If you have any questions regarding this update, please feel free to contact our technical support team.
This product is a high quality 4E-BP1 antibody.
|
||
Molecular Weight |
12580 Da
|
||
Host |
Mouse
|
||
Species Reactivity |
Human
|
||
Clone |
11G12C11
|
||
Isotype |
IgG1
|
||
GeneID |
|||
UniProt ID |
|||
Function |
Regulates eIF4E activity by preventing its assembly into the eIF4F complex: hypophosphorylated form competes with EIF4G1/EIF4G3 and strongly binds to EIF4E, leading to repress translation. Mediates the regulation of protein translation by hormones, growth factors and other stimuli that signal through the MAP kinase and mTORC1 pathways.
|
||
Form |
Liquid. In PBS containing 0.02% sodium azide. |
||
Storage & Stability |
Store at +4°C short term. For long-term storage, aliquot and store at -20°C or below. Stable for 12 months at -20°C. Avoid repeated freeze-thaw cycles.
|
||
Applications |
WB, IHC, E
|
||
Dilution |
WB~~1/500 - 1/2000
IHC~~1/200 - 1/1000
FC~~1:200~~400
IF~~1:200~1000.
|
||
Synonyms |
Eukaryotic translation initiation factor 4E-binding protein 1, 4E-BP1, eIF4E-binding protein 1, Phosphorylated heat- and acid-stable protein regulated by insulin 1, PHAS-I, EIF4EBP1
|
||
Images |
Figure 1: Western blot analysis using 4E-BP1 mouse mAb against truncated 4E-BP1 recombinant protein (1).
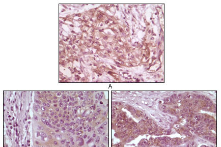
Figure 2: Immunohistochemical analysis of paraffin-embedded human pancreas carcinoma (A), esophagus carcinoma tissue (B) and ovary tumor tissue, showing cytoplasmic and membrane localization using 4E-BP1 mouse mAb with DAB staining.
Figure 6: Flow cytometric analysis of K562 cells using GSTP1 mouse mAb (green) and negative control (purple). |
||
Specification |
|||
Quantity |
|
||
| Select | Brand | Catalog No. | Product Name | Pack Size | Type | Field of Research | Specification | Quantity | Price(USD) | |
| 1 | Leading Biology | APG02467G | CCK4 / PTK7 Antibody (clone 4F9) | 50 μl | Monoclonal Antibodies |
|
$495.00 | Add Ask | ||
| 2 | Leading Biology | AMM04683G | GALT Antibody (clone 4C11) | 50 μg | Monoclonal Antibodies |
|
$545.00 | Add Ask | ||
| 3 | Leading Biology | AMM01402G | Vimentin (Mesenchymal Cell Marker) Antibody - With BSA and Azide | 50 ug | Monoclonal Antibodies |
|
$395.00 | Add Ask | ||
| 4 | Leading Biology | APR08280G | LTA4H / LTA4 Antibody (clone 9G8) | 50 μl | Monoclonal Antibodies |
|
$495.00 | Add Ask | ||
| 5 | Leading Biology | AMM00172G | CD1a / HTA1 (Mature Langerhans Cells Marker) Antibody - With BSA and Azide | 50 ug | Monoclonal Antibodies |
|
$395.00 | Add Ask | ||
| 6 | Leading Biology | AMM05750G | CEBPA Antibody | 100 μl | Monoclonal Antibodies |
|
$545.00 | Add Ask |
Leading Biology Inc.
2600 Hilltop DR, Building G, B Suite C138
Richmond, CA, 94806
Tel: 1-661-524(LBI)-0262
Email: info@leadingbiology.com
Complete this form and click send to ask us a question, request a quote or simply say hello.

You have 0 item in your cart

You have 0 item in your inquiry list