> Antigen, Antibodies, ELISA, Western Blot > Primary Antibody > Monoclonal Antibodies > ATIC AntibodyBrand |
Leading Biology | Catalog Number |
APG02072G |
Product Type |
Monoclonal Antibodies | Field of Research |
|
Product Overview |
We constantly strive to ensure we provide our customers with the best antibodies. As a result of this work we offer this antibody in purified format.
We are in the process of updating our datasheets. If you have any questions regarding this update, please feel free to contact our technical support team.
This product is a high quality ATIC antibody.
|
||
Molecular Weight |
64 KDa
|
||
Host |
Mouse
|
||
Species Reactivity |
Human, Mouse
|
||
Symbol |
PURH
|
||
GeneID |
|||
UniProt ID |
|||
Function |
Bifunctional enzyme that catalyzes 2 steps in purine biosynthesis.
|
||
Summary |
Bifunctional enzyme that catalyzes 2 steps in purine biosynthesis.
|
||
Form |
Purified mouse monoclonal in buffer containing 0.1M Tris-Glycine (pH 7.4, 150 mM NaCl) with 0.02% sodium azide, 50%,glycerol |
||
Storage & Stability |
Store at +4°C short term. For long-term storage, aliquot and store at -20°C or below. Stable for 12 months at -20°C. Avoid repeated freeze-thaw cycles.
|
||
Applications |
WB
|
||
Dilution |
WB~~1:1000
|
||
Synonyms |
5 aminoimidazole 4 carboxamide 1 beta D ribonucleotide transformylase/inosinicase;5 aminoimidazole 4 carboxamide ribonucleotide formyltransferase;5 aminoimidazole 4 carboxamide ribonucleotide formyltransferase/IMP cyclohydrolase;5-aminoimidazole-4-carboxamide ribonucleotide formyltransferase;AICAR;AICAR formyltransferase/IMP cyclohydrolase bifunctional enzyme;AICAR transformylase;AICARFT;AICARFT/IMPCHASE;ATIC; Bifunctional purine biosynthesis protein PURH;FLJ93545;IMP cyclohydrolase;IMP synthase;IMP synthetase;IMPCHASE;Inosinicase;OK/SW-cl.86; Phosphoribosylaminoimidazolecarboxamide formyltransferase; Phosphoribosylaminoimidazolecarboxamide formyltransferase/IMP cyclohydrolase;PUR9_HUMAN; PURH.
|
||
Images |
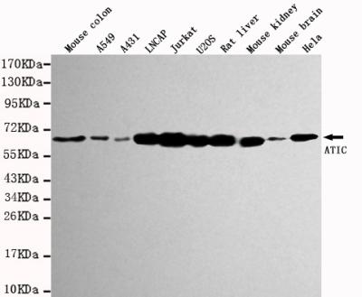
Western blot detection of ATIC in various tissues and cell lysates using ATIC mouse mAb (1:1000 diluted).Predicted band size:64KDa.Observed band size:64KDa. |
||
Specification |
|||
Quantity |
|
||
| Select | Brand | Catalog No. | Product Name | Pack Size | Type | Field of Research | Specification | Quantity | Price(USD) | |
| 1 | Leading Biology | APG02467G | CCK4 / PTK7 Antibody (clone 4F9) | 50 μl | Monoclonal Antibodies |
|
$495.00 | Add Ask | ||
| 2 | Leading Biology | AMM04683G | GALT Antibody (clone 4C11) | 50 μg | Monoclonal Antibodies |
|
$545.00 | Add Ask | ||
| 3 | Leading Biology | AMM01402G | Vimentin (Mesenchymal Cell Marker) Antibody - With BSA and Azide | 50 ug | Monoclonal Antibodies |
|
$395.00 | Add Ask | ||
| 4 | Leading Biology | APR08280G | LTA4H / LTA4 Antibody (clone 9G8) | 50 μl | Monoclonal Antibodies |
|
$495.00 | Add Ask | ||
| 5 | Leading Biology | AMM00172G | CD1a / HTA1 (Mature Langerhans Cells Marker) Antibody - With BSA and Azide | 50 ug | Monoclonal Antibodies |
|
$395.00 | Add Ask | ||
| 6 | Leading Biology | AMM05750G | CEBPA Antibody | 100 μl | Monoclonal Antibodies |
|
$545.00 | Add Ask |
Leading Biology Inc.
2600 Hilltop DR, Building G, B Suite C138
Richmond, CA, 94806
Tel: 1-661-524(LBI)-0262
Email: info@leadingbiology.com
Complete this form and click send to ask us a question, request a quote or simply say hello.

You have 0 item in your cart

You have 0 item in your inquiry list