> Antigen, Antibodies, ELISA, Western Blot > Primary Antibody > Monoclonal Antibodies > TERF2IP AntibodyBrand |
Leading Biology | Catalog Number |
AMM08159G |
Product Type |
Monoclonal Antibodies | Field of Research |
|
Product Overview |
We constantly strive to ensure we provide our customers with the best antibodies. As a result of this work we offer this antibody in purified format.
We are in the process of updating our datasheets. If you have any questions regarding this update, please feel free to contact our technical support team.
This product is a high quality TERF2IP antibody.
|
||
Molecular Weight |
44260 Da
|
||
Cellular Localization |
Antigen Cellular Localization:
Nucleus. Cytoplasm. Chromosome. Chromosome, telomere. Note=Associates with chromosomes, both at telomeres and in extratelomeric sites. Also exists as a cytoplasmic form, where it associates with the IKK complex (By similarity).
|
||
Host |
Mouse
|
||
Species Reactivity |
Human
|
||
Target |
This TERF2IP antibody is generated from a mouse immunized with a recombinant protein from human TERF2IP.
|
||
Clone |
1664CT564.52.88
|
||
Isotype |
IgG1,k
|
||
Symbol |
DRIP5, RAP1
|
||
GeneID |
|||
UniProt ID |
|||
Function |
Acts both as a regulator of telomere function and as a transcription regulator. Involved in the regulation of telomere length and protection as a component of the shelterin complex (telosome). In contrast to other components of the shelterin complex, it is dispensible for telomere capping and does not participate in the protection of telomeres against non-homologous end-joining (NHEJ)-mediated repair. Instead, it is required to negatively regulate telomere recombination and is essential for repressing homology-directed repair (HDR), which can affect telomere length. Does not bind DNA directly: recruited to telomeric double-stranded 5'-TTAGGG-3' repeats via its interaction with TERF2. Independently of its function in telomeres, also acts as a transcription regulator: recruited to extratelomeric 5'- TTAGGG-3' sites via its association with TERF2 or other factors, and regulates gene expression. When cytoplasmic, associates with the I-kappa-B-kinase (IKK) complex and acts as a regulator of the NF-kappa-B signaling by promoting IKK-mediated phosphorylation of RELA/p65, leading to activate expression of NF-kappa-B target genes.
|
||
Summary |
Acts both as a regulator of telomere function and as a transcription regulator. Involved in the regulation of telomere length and protection as a component of the shelterin complex (telosome). In contrast to other components of the shelterin complex, it is dispensible for telomere capping and does not participate in the protection of telomeres against non-homologous end-joining (NHEJ)-mediated repair. Instead, it is required to negatively regulate telomere recombination and is essential for repressing homology-directed repair (HDR), which can affect telomere length. Does not bind DNA directly: recruited to telomeric double-stranded 5'-TTAGGG-3' repeats via its interaction with TERF2. Independently of its function in telomeres, also acts as a transcription regulator: recruited to extratelomeric 5'- TTAGGG-3' sites via its association with TERF2 or other factors, and regulates gene expression. When cytoplasmic, associates with the I-kappa-B-kinase (IKK) complex and acts as a regulator of the NF-kappa-B signaling by promoting IKK-mediated phosphorylation of RELA/p65, leading to activate expression of NF-kappa-B target genes.
|
||
Form |
Purified monoclonal antibody supplied in PBS with 0.09% (W/V) sodium azide. This antibody is purified through a protein G column, followed by dialysis against PBS. |
||
Storage & Stability |
Store at +4°C short term. For long-term storage, aliquot and store at -20°C or below. Stable for 12 months at -20°C. Avoid repeated freeze-thaw cycles.
|
||
Applications |
IHC-P, FC, WB, E
|
||
Dilution |
IHC-P~~1:25
FC~~1:25
WB~~1:2000
|
||
Synonyms |
Telomeric repeat-binding factor 2-interacting protein 1, TERF2-interacting telomeric protein 1, TRF2-interacting telomeric protein 1, Dopamine receptor-interacting protein 5, Repressor/activator protein 1 homolog, RAP1 homolog, hRap1, TERF2IP, DRIP5, RAP1
|
||
Images |
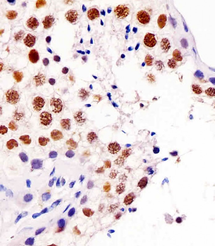
AMM08159G staining TE2IP in human testis tissue sections by Immunohistochemistry (IHC-P - paraformaldehyde-fixed, paraffin-embedded sections). Tissue was fixed with formaldehyde and blocked with 3% BSA for 0. 5 hour at room temperature; antigen retrieval was by heat mediation with a citrate buffer (pH6). Samples were incubated with primary antibody (1/25) for 1 hours at 37°C. A undiluted biotinylated goat polyvalent antibody was used as the secondary antibody.
Overlay histogram showing Hela cells stained with AMM08159G(green line). The cells were fixed with 2% paraformaldehyde (10 min) and then permeabilized with 90% methanol for 10 min. The cells were then icubated in 2% bovine serum albumin to block non-specific protein-protein interactions followed by the antibody (AMM08159G, 1:25 dilution) for 60 min at 37?C. The secondary antibody used was Goat-Anti-Mouse IgG, DyLight? 488 Conjugated Highly Cross-Adsorbed(OJ192088) at 1/200 dilution for 40 min at 37?C. Isotype control antibody (blue line) was mouse IgG1 (1μg/1x10^6 cells) used under the same conditions. Acquisition of >10, 000 events was performed.
All lanes : Anti-TERF2IP Antibody at 1:2000 dilution Lane 1: HepG2 whole cell lysate Lane 2: A431 whole cell lysate Lysates/proteins at 20 μg per lane. Secondary Goat Anti-mouse IgG, (H+L), Peroxidase conjugated at 1/10000 dilution. Predicted band size : 44 kDa Blocking/Dilution buffer: 5% NFDM/TBST. |
||
Specification |
|||
Quantity |
|
||
| Select | Brand | Catalog No. | Product Name | Pack Size | Type | Field of Research | Specification | Quantity | Price(USD) | |
| 1 | Leading Biology | APG02467G | CCK4 / PTK7 Antibody (clone 4F9) | 50 μl | Monoclonal Antibodies |
|
$495.00 | Add Ask | ||
| 2 | Leading Biology | AMM04683G | GALT Antibody (clone 4C11) | 50 μg | Monoclonal Antibodies |
|
$545.00 | Add Ask | ||
| 3 | Leading Biology | AMM01402G | Vimentin (Mesenchymal Cell Marker) Antibody - With BSA and Azide | 50 ug | Monoclonal Antibodies |
|
$395.00 | Add Ask | ||
| 4 | Leading Biology | APR08280G | LTA4H / LTA4 Antibody (clone 9G8) | 50 μl | Monoclonal Antibodies |
|
$495.00 | Add Ask | ||
| 5 | Leading Biology | AMM00172G | CD1a / HTA1 (Mature Langerhans Cells Marker) Antibody - With BSA and Azide | 50 ug | Monoclonal Antibodies |
|
$395.00 | Add Ask | ||
| 6 | Leading Biology | AMM05750G | CEBPA Antibody | 100 μl | Monoclonal Antibodies |
|
$545.00 | Add Ask |
Leading Biology Inc.
2600 Hilltop DR, Building G, B Suite C138
Richmond, CA, 94806
Tel: 1-661-524(LBI)-0262
Email: info@leadingbiology.com
Complete this form and click send to ask us a question, request a quote or simply say hello.

You have 0 item in your cart

You have 0 item in your inquiry list