> Antigen, Antibodies, ELISA, Western Blot > Primary Antibody > Monoclonal Antibodies > VAMP8 Antibody (N-term)Brand |
Leading Biology | Catalog Number |
APR13937G |
Product Type |
Monoclonal Antibodies | Field of Research |
|
Product Overview |
We constantly strive to ensure we provide our customers with the best antibodies. As a result of this work we offer this antibody in purified format.
We are in the process of updating our datasheets. If you have any questions regarding this update, please feel free to contact our technical support team.
This product is a high quality VAMP8 antibody (N-term).
|
||
Molecular Weight |
11438 Da
|
||
Cellular Localization |
Antigen Cellular Localization:
Lysosome membrane; Single-pass type IV membrane protein. Late endosome membrane; Single-pass type IV membrane protein Note=Perinuclear vesicular structures of the early and late endosomes, coated pits, and trans-Golgi. Sub-tight junctional domain in retinal pigment epithelium cells. Midbody region during cytokinesis. Lumenal oriented, apical membranes of nephric tubular cell. Cycles through the apical but not through the basolateral plasma membrane. Apical region of acinar cells; in zymogen granule membranes (By similarity).
|
||
Host |
Mouse
|
||
Species Reactivity |
Human
|
||
Target |
This VAMP8 antibody is generated from a mouse immunized with a KLH conjugated synthetic peptide between 2~24 amino acids from the N-terminal region of human VAMP8.
|
||
Clone |
1414CT354.12.23.93
|
||
Isotype |
IgG1,k
|
||
GeneID |
|||
UniProt ID |
|||
Function |
SNAREs, Soluble N-ethylmaleimide-sensitive factor- attachment protein receptors, are essential proteins for fusion of cellular membranes. SNAREs localized on opposing membranes assemble to form a trans-SNARE complex, an extended, parallel four alpha-helical bundle that drives membrane fusion. VAMP8 is a SNARE involved in autophagy through the direct control of autophagosome membrane fusion with the lysososome membrane. Also required for dense-granule secretion in platelets. Plays also a role in regulated enzyme secretion in pancreatic acinar cells. Involved in the abscission of the midbody during cell division, which leads to completely separate daughter cells. Involved in the homotypic fusion of early and late endosomes.
|
||
Summary |
SNAREs, Soluble N-ethylmaleimide-sensitive factor- attachment protein receptors, are essential proteins for fusion of cellular membranes. SNAREs localized on opposing membranes assemble to form a trans-SNARE complex, an extended, parallel four alpha-helical bundle that drives membrane fusion. VAMP8 is a SNARE involved in autophagy through the direct control of autophagosome membrane fusion with the lysososome membrane. Also required for dense-granule secretion in platelets. Plays also a role in regulated enzyme secretion in pancreatic acinar cells. Involved in the abscission of the midbody during cell division, which leads to completely separate daughter cells. Involved in the homotypic fusion of early and late endosomes.
|
||
Form |
Purified monoclonal antibody supplied in PBS with 0.09% (W/V) sodium azide. This antibody is purified through a protein G column, followed by dialysis against PBS. |
||
Storage & Stability |
Store at +4°C short term. For long-term storage, aliquot and store at -20°C or below. Stable for 12 months at -20°C. Avoid repeated freeze-thaw cycles.
|
||
Applications |
WB, IHC-P, E
|
||
Dilution |
IHC-P~~1:25
WB~~1:1000-1:2000
|
||
Synonyms |
Vesicle-associated membrane protein 8, VAMP-8, Endobrevin, EDB, VAMP8
|
||
Images |
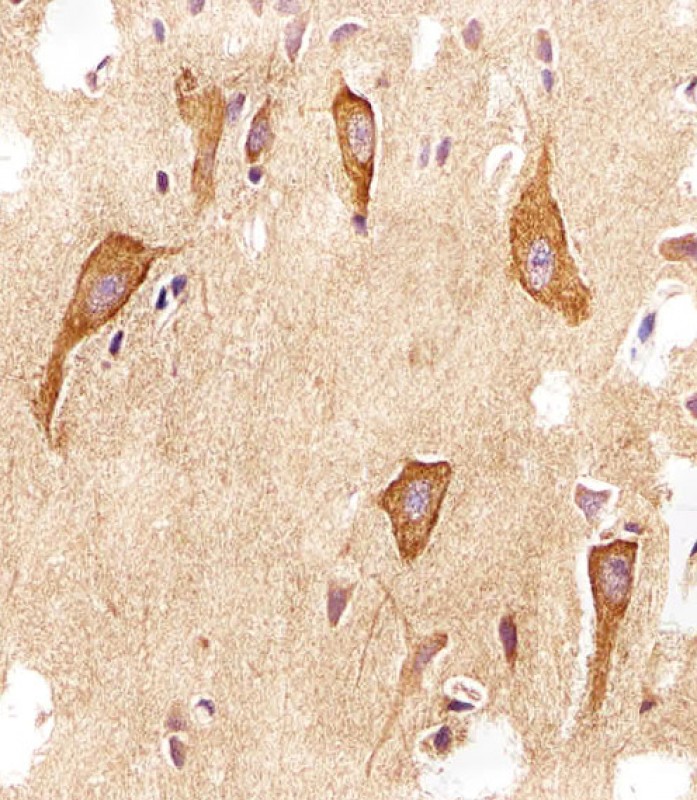
Immunohistochemical analysis of paraffin-embedded H. brain section using VAMP8 Antibody (N-term)( APR13937G). APR13937G was diluted at 1:25 dilution. A undiluted biotinylated goat polyvalent antibody was used as the secondary, followed by DAB staining.
Western blot analysis of lysates from Hela, THP-1, A431 cell line (from left to right), using VAMP8 Antibody (N-term)( APR13937G). APR13937G was diluted at 1:1000 at each lane. A goat anti-mouse IgG H&L(HRP) at 1:10000 dilution was used as the secondary antibody. Lysates at 20μg per lane. |
||
Specification |
|||
Quantity |
|
||
| Select | Brand | Catalog No. | Product Name | Pack Size | Type | Field of Research | Specification | Quantity | Price(USD) | |
| 1 | Leading Biology | APG02467G | CCK4 / PTK7 Antibody (clone 4F9) | 50 μl | Monoclonal Antibodies |
|
$495.00 | Add Ask | ||
| 2 | Leading Biology | AMM04683G | GALT Antibody (clone 4C11) | 50 μg | Monoclonal Antibodies |
|
$545.00 | Add Ask | ||
| 3 | Leading Biology | AMM01402G | Vimentin (Mesenchymal Cell Marker) Antibody - With BSA and Azide | 50 ug | Monoclonal Antibodies |
|
$395.00 | Add Ask | ||
| 4 | Leading Biology | APR08280G | LTA4H / LTA4 Antibody (clone 9G8) | 50 μl | Monoclonal Antibodies |
|
$495.00 | Add Ask | ||
| 5 | Leading Biology | AMM00172G | CD1a / HTA1 (Mature Langerhans Cells Marker) Antibody - With BSA and Azide | 50 ug | Monoclonal Antibodies |
|
$395.00 | Add Ask | ||
| 6 | Leading Biology | AMM05750G | CEBPA Antibody | 100 μl | Monoclonal Antibodies |
|
$545.00 | Add Ask |
Leading Biology Inc.
2600 Hilltop DR, Building G, B Suite C138
Richmond, CA, 94806
Tel: 1-661-524(LBI)-0262
Email: info@leadingbiology.com
Complete this form and click send to ask us a question, request a quote or simply say hello.

You have 0 item in your cart

You have 0 item in your inquiry list