> Antigen, Antibodies, ELISA, Western Blot > Primary Antibody > Monoclonal Antibodies > PPT1 Antibody (C-term)Brand |
Leading Biology | Catalog Number |
AMR09492G |
Product Type |
Monoclonal Antibodies | Field of Research |
|
Product Overview |
We constantly strive to ensure we provide our customers with the best antibodies. As a result of this work we offer this antibody in purified format.
We are in the process of updating our datasheets. If you have any questions regarding this update, please feel free to contact our technical support team.
This product is a high quality PPT1 antibody (C-term).
|
||
Molecular Weight |
34193 Da
|
||
Cellular Localization |
Antigen Cellular Localization:
Lysosome.
|
||
Host |
Mouse
|
||
Species Reactivity |
Human
|
||
Immunogen |
1-306 aa
|
||
Target |
This PPT1 antibody is generated from a mouse immunized with a full-length recombinant protein from human PPT1.
|
||
Clone |
1117CT11.2.1.4
|
||
Isotype |
IgG1
|
||
Symbol |
PPT
|
||
GeneID |
|||
UniProt ID |
|||
Function |
Removes thioester-linked fatty acyl groups such as palmitate from modified cysteine residues in proteins or peptides during lysosomal degradation. Prefers acyl chain lengths of 14 to 18 carbons.
|
||
Summary |
Removes thioester-linked fatty acyl groups such as palmitate from modified cysteine residues in proteins or peptides during lysosomal degradation. Prefers acyl chain lengths of 14 to 18 carbons.
|
||
Form |
Purified monoclonal antibody supplied in PBS with 0.09% (W/V) sodium azide. This antibody is purified through a protein G column, followed by dialysis against PBS. |
||
Storage & Stability |
Store at +4°C short term. For long-term storage, aliquot and store at -20°C or below. Stable for 12 months at -20°C. Avoid repeated freeze-thaw cycles.
|
||
Applications |
WB, FC, IHC-P, E
|
||
Dilution |
WB~~1:1000
IHC-P~~1:25
FC~~1:25
|
||
Synonyms |
Palmitoyl-protein thioesterase 1, PPT-1, Palmitoyl-protein hydrolase 1, PPT1, PPT
|
||
Images |
All lanes : Anti-PPT1 Antibody (C-term) at 1:2000 dilution Lane 1: Hela whole cell lysates Lane 2: HepG2 whole cell lysates Lysates/proteins at 20 μg per lane. Secondary Goat Anti-mouse IgG, (H+L), Peroxidase conjugated at 1/10000 dilution Predicted band size : 34 kDa Blocking/Dilution buffer: 5% NFDM/TBST.
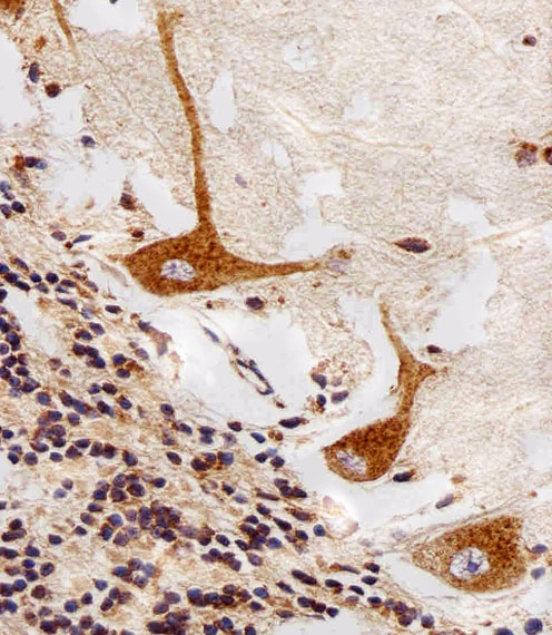
Immunohistochemical analysis of paraffin-embedded H. cerebellum section using PPT1 Antibody (C-term)( AMR09492G). AMR09492G was diluted at 1:25 dilution. A peroxidase-conjugated goat anti-mouse IgG at 1:400 dilution was used as the secondary antibody, followed by DAB staining.
Flow cytometric analysis of HepG2 cells using PPT1 Antibody (C-term)(green, AMR09492G) compared to an isotype control of mouse IgG1(blue). AMR09492G was diluted at 1:25 dilution. An Alexa Fluor? 488 goat anti-mouse lgG at 1:400 dilution was used as the secondary antibody. |
||
Specification |
|||
Quantity |
|
||
| Select | Brand | Catalog No. | Product Name | Pack Size | Type | Field of Research | Specification | Quantity | Price(USD) | |
| 1 | Leading Biology | APG02467G | CCK4 / PTK7 Antibody (clone 4F9) | 50 μl | Monoclonal Antibodies |
|
$495.00 | Add Ask | ||
| 2 | Leading Biology | AMM04683G | GALT Antibody (clone 4C11) | 50 μg | Monoclonal Antibodies |
|
$545.00 | Add Ask | ||
| 3 | Leading Biology | AMM01402G | Vimentin (Mesenchymal Cell Marker) Antibody - With BSA and Azide | 50 ug | Monoclonal Antibodies |
|
$395.00 | Add Ask | ||
| 4 | Leading Biology | APR08280G | LTA4H / LTA4 Antibody (clone 9G8) | 50 μl | Monoclonal Antibodies |
|
$495.00 | Add Ask | ||
| 5 | Leading Biology | AMM00172G | CD1a / HTA1 (Mature Langerhans Cells Marker) Antibody - With BSA and Azide | 50 ug | Monoclonal Antibodies |
|
$395.00 | Add Ask | ||
| 6 | Leading Biology | AMM05750G | CEBPA Antibody | 100 μl | Monoclonal Antibodies |
|
$545.00 | Add Ask |
Leading Biology Inc.
2600 Hilltop DR, Building G, B Suite C138
Richmond, CA, 94806
Tel: 1-661-524(LBI)-0262
Email: info@leadingbiology.com
Complete this form and click send to ask us a question, request a quote or simply say hello.

You have 0 item in your cart

You have 0 item in your inquiry list