> Antigen, Antibodies, ELISA, Western Blot > Primary Antibody > Monoclonal Antibodies > YY1 AntibodyBrand |
Leading Biology | Catalog Number |
APR14008G |
Product Type |
Monoclonal Antibodies | Field of Research |
|
Product Overview |
We constantly strive to ensure we provide our customers with the best antibodies. As a result of this work we offer this antibody in purified format.
We are in the process of updating our datasheets. If you have any questions regarding this update, please feel free to contact our technical support team.
This product is a high quality YY1 antibody.
|
||
Molecular Weight |
44713 Da
|
||
Cellular Localization |
Antigen Cellular Localization:
Nucleus matrix Note=Associated with the nuclear matrix
|
||
Host |
Mouse
|
||
Species Reactivity |
Human, Rat, Zebrafish, Cynomolgus Monkey
|
||
Target |
Purified His-tagged YY1 protein was used to produced this monoclonal antibody.
|
||
Clone |
1183CT6.5.23.6
|
||
Isotype |
IgG2a
|
||
Symbol |
INO80S
|
||
GeneID |
|||
UniProt ID |
|||
Function |
Multifunctional transcription factor that exhibits positive and negative control on a large number of cellular and viral genes by binding to sites overlapping the transcription start site. Binds to the consensus sequence 5'-CCGCCATNTT-3'; some genes have been shown to contain a longer binding motif allowing enhanced binding; the initial CG dinucleotide can be methylated greatly reducing the binding affinity. The effect on transcription regulation is depending upon the context in which it binds and diverse mechanisms of action include direct activation or repression, indirect activation or repression via cofactor recruitment, or activation or repression by disruption of binding sites or conformational DNA changes. Its activity is regulated by transcription factors and cytoplasmic proteins that have been shown to abrogate or completely inhibit YY1-mediated activation or repression. For example, it acts as a repressor in absence of adenovirus E1A protein but as an activator in its presence. Acts synergistically with the SMAD1 and SMAD4 in bone morphogenetic protein (BMP)-mediated cardiac-specific gene expression (PubMed:15329343). Binds to SMAD binding elements (SBEs) (5'- GTCT/AGAC-3') within BMP response element (BMPRE) of cardiac activating regions. May play an important role in development and differentiation. Proposed to recruit the PRC2/EED-EZH2 complex to target genes that are transcriptional repressed. Involved in DNA repair. In vitro, binds to DNA recombination intermediate structures (Holliday junctions).
|
||
Summary |
Multifunctional transcription factor that exhibits positive and negative control on a large number of cellular and viral genes by binding to sites overlapping the transcription start site. Binds to the consensus sequence 5'-CCGCCATNTT-3'; some genes have been shown to contain a longer binding motif allowing enhanced binding; the initial CG dinucleotide can be methylated greatly reducing the binding affinity. The effect on transcription regulation is depending upon the context in which it binds and diverse mechanisms of action include direct activation or repression, indirect activation or repression via cofactor recruitment, or activation or repression by disruption of binding sites or conformational DNA changes. Its activity is regulated by transcription factors and cytoplasmic proteins that have been shown to abrogate or completely inhibit YY1-mediated activation or repression. For example, it acts as a repressor in absence of adenovirus E1A protein but as an activator in its presence. May play an important role in development and differentiation. Proposed to recruit the PRC2/EED-EZH2 complex to target genes that are transcriptional repressed. Involved in DNA repair. In vitro, binds to DNA recombination intermediate structures (Holliday junctions).Proposed core component of the chromatin remodeling INO80 complex which is involved in transcriptional regulation, DNA replication and probably DNA repair; proposed to target the INO80 complex to YY1-responsive elements.
|
||
Form |
Purified monoclonal antibody supplied in PBS with 0.09% (W/V) sodium azide. This antibody is purified through a protein G column, followed by dialysis against PBS. |
||
Storage & Stability |
Store at +4°C short term. For long-term storage, aliquot and store at -20°C or below. Stable for 12 months at -20°C. Avoid repeated freeze-thaw cycles.
|
||
Applications |
IHC-P, WB, E
|
||
Dilution |
IHC-P~~1:25
WB~~1:1000
|
||
Synonyms |
Transcriptional repressor protein YY1, Delta transcription factor, INO80 complex subunit S, NF-E1, Yin and yang 1, YY-1, YY1, INO80S
|
||
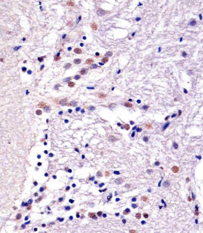
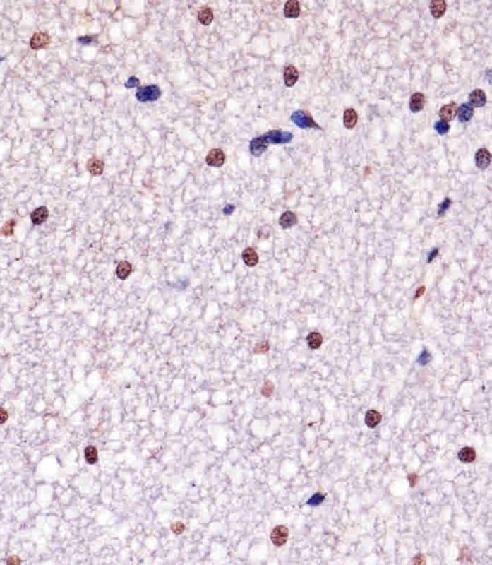
Images |
AW5192 staining YY1 in Monkey brain tissue sections by Immunohistochemistry (IHC-P - paraformaldehyde-fixed, paraffin-embedded sections). Tissue was fixed with formaldehyde and blocked with 3% BSA for 0. 5 hour at room temperature; antigen retrieval was by heat mediation with a citrate buffer (pH6). Samples were incubated with primary antibody (1/25) for 1 hours at 37°C. A undiluted biotinylated goat polyvalent antibody was used as the secondary antibody.
AW5192 staining YY1 in Zebra fish brain tissue sections by Immunohistochemistry (IHC-P - paraformaldehyde-fixed, paraffin-embedded sections). Tissue was fixed with formaldehyde and blocked with 3% BSA for 0. 5 hour at room temperature; antigen retrieval was by heat mediation with a citrate buffer (pH6). Samples were incubated with primary antibody (1/25) for 1 hours at 37°C. A undiluted biotinylated goat polyvalent antibody was used as the secondary antibody.
AW5192 staining YY1 in Rat brain tissue sections by Immunohistochemistry (IHC-P - paraformaldehyde-fixed, paraffin-embedded sections). Tissue was fixed with formaldehyde and blocked with 3% BSA for 0. 5 hour at room temperature; antigen retrieval was by heat mediation with a citrate buffer (pH6). Samples were incubated with primary antibody (1/25) for 1 hours at 37°C. A undiluted biotinylated goat polyvalent antibody was used as the secondary antibody. |
||
Specification |
|||
Quantity |
|
||
| Select | Brand | Catalog No. | Product Name | Pack Size | Type | Field of Research | Specification | Quantity | Price(USD) | |
| 1 | Leading Biology | APG02467G | CCK4 / PTK7 Antibody (clone 4F9) | 50 μl | Monoclonal Antibodies |
|
$495.00 | Add Ask | ||
| 2 | Leading Biology | AMM04683G | GALT Antibody (clone 4C11) | 50 μg | Monoclonal Antibodies |
|
$545.00 | Add Ask | ||
| 3 | Leading Biology | AMM01402G | Vimentin (Mesenchymal Cell Marker) Antibody - With BSA and Azide | 50 ug | Monoclonal Antibodies |
|
$395.00 | Add Ask | ||
| 4 | Leading Biology | APR08280G | LTA4H / LTA4 Antibody (clone 9G8) | 50 μl | Monoclonal Antibodies |
|
$495.00 | Add Ask | ||
| 5 | Leading Biology | AMM00172G | CD1a / HTA1 (Mature Langerhans Cells Marker) Antibody - With BSA and Azide | 50 ug | Monoclonal Antibodies |
|
$395.00 | Add Ask | ||
| 6 | Leading Biology | AMM05750G | CEBPA Antibody | 100 μl | Monoclonal Antibodies |
|
$545.00 | Add Ask |
Leading Biology Inc.
2600 Hilltop DR, Building G, B Suite C138
Richmond, CA, 94806
Tel: 1-661-524(LBI)-0262
Email: info@leadingbiology.com
Complete this form and click send to ask us a question, request a quote or simply say hello.

You have 0 item in your cart

You have 0 item in your inquiry list