> Antigen, Antibodies, ELISA, Western Blot > Primary Antibody > Monoclonal Antibodies > Cytokeratin, Multi (Epithelial Marker) Antibody - With BSA and AzideBrand |
Leading Biology | Catalog Number |
APR14617G |
Product Type |
Monoclonal Antibodies | Field of Research |
|
Product Overview |
We constantly strive to ensure we provide our customers with the best antibodies. As a result of this work we offer this antibody in purified format.
We are in the process of updating our datasheets. If you have any questions regarding this update, please feel free to contact our technical support team.
This product is a high quality Cytokeratin, Multi (Epithelial Marker) antibody - With BSA and Azide.
|
||
Molecular Weight |
Multiple KDa
|
||
Host |
Mouse
|
||
Species Reactivity |
Human, Mouse, Rat, Monkey, Pig, Goat, Cow, Guinea Pig
|
||
Clone |
KRT/457
|
||
Isotype |
Mouse / IgG1
|
||
Symbol |
K6A, KRT6D
|
||
GeneID |
|||
UniProt ID |
|||
Function |
Epidermis-specific type I keratin involved in wound healing. Involved in the activation of follicular keratinocytes after wounding, while it does not play a major role in keratinocyte proliferation or migration. Participates in the regulation of epithelial migration by inhibiting the activity of SRC during wound repair.
|
||
Summary |
Twenty human keratins are resolved with two-dimensional gel electrophoresis into acidic (pI 6.0) subfamilies. This antibody recognizes acidic (Type I or LMW) and basic (Type II or HMW) cytokeratins, including 59kDa (CK4); 58kDa (CK5); 56kDa (CK6); 52kDa (CK8); 56.5kDa (CK10); 53kDa (CK13) and 45kDa (CK18). This is a broad-spectrum antibody, which has been reported to differentiate epithelial tumors from non-epithelial tumors. Many studies have shown the usefulness of keratins as markers in cancer research and tumor diagnosis.
|
||
Form |
Liquid |
||
Storage & Stability |
Store at +4°C short term. For long-term storage, aliquot and store at -20°C or below. Stable for 12 months at -20°C. Avoid repeated freeze-thaw cycles.
|
||
Applications |
WB, IHC-P, IF, FC
|
||
Synonyms |
Keratin, type II cytoskeletal 6A, Cytokeratin-6A, CK-6A, Cytokeratin-6D, CK-6D, Keratin-6A, K6A, Type-II keratin Kb6, Hom s 5, KRT6A, K6A, KRT6D
|
||
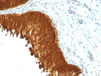
Images |
Formalin-fixed, paraffin-embedded human Bladder Carcinoma stained with Multi Cytokeratin Monoclonal Antibody (KRT/457).
Formalin-fixed, paraffin-embedded Rat Oviduct stained with Multi Cytokeratin Monoclonal Antibody (KRT/457). |
||
Specification |
|||
Quantity |
|
||
| Select | Brand | Catalog No. | Product Name | Pack Size | Type | Field of Research | Specification | Quantity | Price(USD) | |
| 1 | Leading Biology | APG02467G | CCK4 / PTK7 Antibody (clone 4F9) | 50 μl | Monoclonal Antibodies |
|
$495.00 | Add Ask | ||
| 2 | Leading Biology | AMM04683G | GALT Antibody (clone 4C11) | 50 μg | Monoclonal Antibodies |
|
$545.00 | Add Ask | ||
| 3 | Leading Biology | AMM01402G | Vimentin (Mesenchymal Cell Marker) Antibody - With BSA and Azide | 50 ug | Monoclonal Antibodies |
|
$395.00 | Add Ask | ||
| 4 | Leading Biology | APR08280G | LTA4H / LTA4 Antibody (clone 9G8) | 50 μl | Monoclonal Antibodies |
|
$495.00 | Add Ask | ||
| 5 | Leading Biology | AMM00172G | CD1a / HTA1 (Mature Langerhans Cells Marker) Antibody - With BSA and Azide | 50 ug | Monoclonal Antibodies |
|
$395.00 | Add Ask | ||
| 6 | Leading Biology | AMM05750G | CEBPA Antibody | 100 μl | Monoclonal Antibodies |
|
$545.00 | Add Ask |
Leading Biology Inc.
2600 Hilltop DR, Building G, B Suite C138
Richmond, CA, 94806
Tel: 1-661-524(LBI)-0262
Email: info@leadingbiology.com
Complete this form and click send to ask us a question, request a quote or simply say hello.

You have 0 item in your cart

You have 0 item in your inquiry list