> Antigen, Antibodies, ELISA, Western Blot > Primary Antibody > Monoclonal Antibodies > SOX10 (Melanoma Marker) Antibody - With BSA and AzideBrand |
Leading Biology | Catalog Number |
APG03101G |
Product Type |
Monoclonal Antibodies | Field of Research |
|
Product Overview |
We constantly strive to ensure we provide our customers with the best antibodies. As a result of this work we offer this antibody in purified format.
We are in the process of updating our datasheets. If you have any questions regarding this update, please feel free to contact our technical support team.
This product is a high quality SOX10 (Melanoma Marker) antibody - With BSA and Azide.
|
||
Molecular Weight |
49-58kDa
|
||
Cellular Localization |
Antigen Cellular Localization:
Cytoplasm. Nucleus.
|
||
Host |
Mouse
|
||
Species Reactivity |
Human
|
||
Clone |
SOX10/991
|
||
Isotype |
Mouse / IgG2b, kappa
|
||
GeneID |
|||
UniProt ID |
|||
Function |
Transcription factor that seems to function synergistically with the POU domain protein TST-1/OCT6/SCIP. Could confer cell specificity to the function of other transcription factors in developing and mature glia (By similarity).
|
||
Summary |
Recognizes a protein of ~55kDa, identified as SOX10. This MAb is highly specific and does not cross-react with other members of the SOX-family. SOX genes comprise a family of genes that are related to the mammalian sex-determining gene SRY. These genes similarly contain sequences that encode for the HMG-box domain, which is responsible for the sequence-specific DNA-binding activity. SOX-10 is a sensitive marker of melanoma, including conventional, spindled, and desmoplastic subtypes. It is expressed by metastatic melanomas and nodal capsular nevus in sentinel lymph nodes, but not by other lymph node components such as dendritic cells, which usually express S100 protein. Commonly used melanoma markers, such as anti-HMB-45 and anti-Melan-A, are poorly expressed in desmoplastic melanomas while SOX-10 is moderately to strongly expressed in desmoplastic melanomas. SOX-10 is considered as a very reliable marker for recognizing residual desmoplastic melanomas. In normal tissues, it is expressed in Schwann cells, melanocytes, and myoepithelial cells of salivary, bronchial and mammary glands. SOX-10 expression is also observed in mast cells.
|
||
Form |
Liquid |
||
Storage & Stability |
Store at +4°C short term. For long-term storage, aliquot and store at -20°C or below. Stable for 12 months at -20°C. Avoid repeated freeze-thaw cycles.
|
||
Applications |
WB, IHC, IF, FC
|
||
Synonyms |
Transcription factor SOX-10, SOX10
|
||
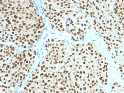
Images |
Formalin-fixed, paraffin-embedded human Melanoma stained with SOX10 Monoclonal Antibody (SOX10/991).
Western Blot of SOX10 (A) Recombinant protein (B) A375 Cell Lysate using SOX10 Monoclonal Antibody (SOX10/991). |
||
Specification |
|||
Quantity |
|
||
| Select | Brand | Catalog No. | Product Name | Pack Size | Type | Field of Research | Specification | Quantity | Price(USD) | |
| 1 | Leading Biology | APG02467G | CCK4 / PTK7 Antibody (clone 4F9) | 50 μl | Monoclonal Antibodies |
|
$495.00 | Add Ask | ||
| 2 | Leading Biology | AMM04683G | GALT Antibody (clone 4C11) | 50 μg | Monoclonal Antibodies |
|
$545.00 | Add Ask | ||
| 3 | Leading Biology | AMM01402G | Vimentin (Mesenchymal Cell Marker) Antibody - With BSA and Azide | 50 ug | Monoclonal Antibodies |
|
$395.00 | Add Ask | ||
| 4 | Leading Biology | APR08280G | LTA4H / LTA4 Antibody (clone 9G8) | 50 μl | Monoclonal Antibodies |
|
$495.00 | Add Ask | ||
| 5 | Leading Biology | AMM00172G | CD1a / HTA1 (Mature Langerhans Cells Marker) Antibody - With BSA and Azide | 50 ug | Monoclonal Antibodies |
|
$395.00 | Add Ask | ||
| 6 | Leading Biology | AMM05750G | CEBPA Antibody | 100 μl | Monoclonal Antibodies |
|
$545.00 | Add Ask |
Leading Biology Inc.
2600 Hilltop DR, Building G, B Suite C138
Richmond, CA, 94806
Tel: 1-661-524(LBI)-0262
Email: info@leadingbiology.com
Complete this form and click send to ask us a question, request a quote or simply say hello.

You have 0 item in your cart

You have 0 item in your inquiry list