> Antigen, Antibodies, ELISA, Western Blot > Primary Antibody > Monoclonal Antibodies > TRAcP (Tartrate-Resistant Acid Phosphatase) (Hairy Cell Leukemia Marker) Antibody - With BSA and AzBrand |
Leading Biology | Catalog Number |
APG01320G |
Product Type |
Monoclonal Antibodies | Field of Research |
|
Product Overview |
We constantly strive to ensure we provide our customers with the best antibodies. As a result of this work we offer this antibody in purified format.
We are in the process of updating our datasheets. If you have any questions regarding this update, please feel free to contact our technical support team.
This product is a high quality TRAcP (Tartrate-Resistant Acid Phosphatase) (Hairy Cell Leukemia Marker) antibody - With BSA and Az.
|
||
Molecular Weight |
35kDa
|
||
Cellular Localization |
Antigen Cellular Localization:
Lysosome.
|
||
Host |
Mouse
|
||
Species Reactivity |
Human, Mouse, Rat
|
||
Clone |
SPM601
|
||
Isotype |
Mouse / IgG2b, kappa
|
||
GeneID |
|||
UniProt ID |
|||
Function |
Involved in osteopontin/bone sialoprotein dephosphorylation. Its expression seems to increase in certain pathological states such as Gaucher and Hodgkin diseases, the hairy cell, the B-cell, and the T-cell leukemias.
|
||
Summary |
It recognizes a protein of 35kDa, which is identified as tartrate-resistant acid phosphatase (TRAcP). It exists as two isoforms (5a and 5b). This MAb reacts with both the isoforms. Serum TRAcP 5a is secreted by macrophages and dendritic cells and increased in many patients of rheumatoid arthritis.?Serum TRAcP 5b is produced from osteoclasts and elevated during bone resorption. TRAcP is an iron containing glycoprotein, which catalyzes the conversion of orthophosphoric monoester to alcohol and orthophosphate. It is the most basic of the acid phosphatases and is the only form not inhibited by L(+)-tartrate. TRAcP is synthesized as a latent proenzyme and is activated by proteolytic cleavage and reduction. Normally, TRAcP is highly expressed by osteoclasts, activated macrophages, neurons and endometrium during pregnancy. Expression of TRAcP is increased in certain pathological conditions such as Leukemic Reticuloendotheliosis (Hairy Cell Leukemia), Gaucher s Disease, HIV-induced Encephalopathy, Osteoclastoma and in osteoporosis and metabolic bone diseases. Anti-TRAcP antibody labels the cells of Hairy Cell Leukemia (HCL) with a high degree of sensitivity and specificity. Other cells stained with this antibody are tissue macrophages and osteoclasts.
|
||
Form |
Liquid |
||
Storage & Stability |
Store at +4°C short term. For long-term storage, aliquot and store at -20°C or below. Stable for 12 months at -20°C. Avoid repeated freeze-thaw cycles.
|
||
Applications |
IHC, IF, FC
|
||
Synonyms |
Tartrate-resistant acid phosphatase type 5, TR-AP, 3.1.3.2, Tartrate-resistant acid ATPase, TrATPase, Type 5 acid phosphatase, ACP5
|
||
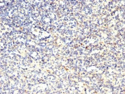
Images |
Formalin-fixed, paraffin-embedded human Spleen stained with TRAcP Monoclonal Antibody (SPM601) |
||
Specification |
|||
Quantity |
|
||
| Select | Brand | Catalog No. | Product Name | Pack Size | Type | Field of Research | Specification | Quantity | Price(USD) | |
| 1 | Leading Biology | APG02467G | CCK4 / PTK7 Antibody (clone 4F9) | 50 μl | Monoclonal Antibodies |
|
$495.00 | Add Ask | ||
| 2 | Leading Biology | AMM04683G | GALT Antibody (clone 4C11) | 50 μg | Monoclonal Antibodies |
|
$545.00 | Add Ask | ||
| 3 | Leading Biology | AMM01402G | Vimentin (Mesenchymal Cell Marker) Antibody - With BSA and Azide | 50 ug | Monoclonal Antibodies |
|
$395.00 | Add Ask | ||
| 4 | Leading Biology | APR08280G | LTA4H / LTA4 Antibody (clone 9G8) | 50 μl | Monoclonal Antibodies |
|
$495.00 | Add Ask | ||
| 5 | Leading Biology | AMM00172G | CD1a / HTA1 (Mature Langerhans Cells Marker) Antibody - With BSA and Azide | 50 ug | Monoclonal Antibodies |
|
$395.00 | Add Ask | ||
| 6 | Leading Biology | AMM05750G | CEBPA Antibody | 100 μl | Monoclonal Antibodies |
|
$545.00 | Add Ask |
Leading Biology Inc.
2600 Hilltop DR, Building G, B Suite C138
Richmond, CA, 94806
Tel: 1-661-524(LBI)-0262
Email: info@leadingbiology.com
Complete this form and click send to ask us a question, request a quote or simply say hello.

You have 0 item in your cart

You have 0 item in your inquiry list