> Antigen, Antibodies, ELISA, Western Blot > Primary Antibody > Monoclonal Antibodies > Laminin, gamma 1 (LAMC1) Antibody - With BSA and AzideBrand |
Leading Biology | Catalog Number |
APR11325G |
Product Type |
Monoclonal Antibodies | Field of Research |
|
Product Overview |
We constantly strive to ensure we provide our customers with the best antibodies. As a result of this work we offer this antibody in purified format.
We are in the process of updating our datasheets. If you have any questions regarding this update, please feel free to contact our technical support team.
This product is a high quality Laminin, gamma 1 (LAMC1) antibody - With BSA and Azide.
|
||
Molecular Weight |
210kDa
|
||
Cellular Localization |
Antigen Cellular Localization:
Secreted, extracellular space, extracellular matrix, basement membrane
|
||
Host |
Rat
|
||
Species Reactivity |
Human, Mouse
|
||
Clone |
SPM193
|
||
Isotype |
Rat / IgG2a, kappa
|
||
Symbol |
LAMB2
|
||
GeneID |
|||
UniProt ID |
|||
Function |
Binding to cells via a high affinity receptor, laminin is thought to mediate the attachment, migration and organization of cells into tissues during embryonic development by interacting with other extracellular matrix components.
|
||
Summary |
Laminins are large hetero-trimeric, non-collagenous glycoproteins composed of α, β, and γ chains. This MAb reacts with laminin B2/1 chain of ~210kDa and does not cross-react with other basement membrane components or fibronectin. Its specificity was established by immunoprecipitation and immunofluorescence of human skeletal muscle and kidney with laminin chain-specific MAbs. Epithelial sheets in vivo are separated from the mesenchymal elements of the stroma by a thin layer of a specialized type of extracellular matrix termed the basement membrane (BM). This structure consists of individual components, some of which are ubiquitous in BMs and some are not. The ubiquitous ones comprise laminin (LN), entactin/nidogen (EN), collagen type IV (CIV), and large heparan sulfate proteoglycan (HSPG), which interact specifically with each other to form a continuous and regular BM. Alterations of BM integrity, from local discontinuities up to complete loss, are described in many types of human and animal epithelial neoplasms. This MAb stains uniformly all human and murine basement membranes.
|
||
Form |
Liquid |
||
Storage & Stability |
Store at +4°C short term. For long-term storage, aliquot and store at -20°C or below. Stable for 12 months at -20°C. Avoid repeated freeze-thaw cycles.
|
||
Applications |
IHC, IF, FC
|
||
Synonyms |
Laminin subunit gamma-1, Laminin B2 chain, Laminin-1 subunit gamma, Laminin-10 subunit gamma, Laminin-11 subunit gamma, Laminin-2 subunit gamma, Laminin-3 subunit gamma, Laminin-4 subunit gamma, Laminin-6 subunit gamma, Laminin-7 subunit gamma, Laminin-8 subunit gamma, Laminin-9 subunit gamma, S-laminin subunit gamma, S-LAM gamma, LAMC1, LAMB2
|
||
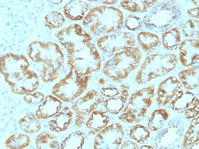
Images |
Formalin-fixed, paraffin-embedded human Renal Cell Carcinoma stained with Laminin Monoclonal Antibody (SPM193). |
||
Specification |
|||
Quantity |
|
||
| Select | Brand | Catalog No. | Product Name | Pack Size | Type | Field of Research | Specification | Quantity | Price(USD) | |
| 1 | Leading Biology | APG02467G | CCK4 / PTK7 Antibody (clone 4F9) | 50 μl | Monoclonal Antibodies |
|
$495.00 | Add Ask | ||
| 2 | Leading Biology | AMM04683G | GALT Antibody (clone 4C11) | 50 μg | Monoclonal Antibodies |
|
$545.00 | Add Ask | ||
| 3 | Leading Biology | AMM01402G | Vimentin (Mesenchymal Cell Marker) Antibody - With BSA and Azide | 50 ug | Monoclonal Antibodies |
|
$395.00 | Add Ask | ||
| 4 | Leading Biology | APR08280G | LTA4H / LTA4 Antibody (clone 9G8) | 50 μl | Monoclonal Antibodies |
|
$495.00 | Add Ask | ||
| 5 | Leading Biology | AMM00172G | CD1a / HTA1 (Mature Langerhans Cells Marker) Antibody - With BSA and Azide | 50 ug | Monoclonal Antibodies |
|
$395.00 | Add Ask | ||
| 6 | Leading Biology | AMM05750G | CEBPA Antibody | 100 μl | Monoclonal Antibodies |
|
$545.00 | Add Ask |
Leading Biology Inc.
2600 Hilltop DR, Building G, B Suite C138
Richmond, CA, 94806
Tel: 1-661-524(LBI)-0262
Email: info@leadingbiology.com
Complete this form and click send to ask us a question, request a quote or simply say hello.

You have 0 item in your cart

You have 0 item in your inquiry list