> Antigen, Antibodies, ELISA, Western Blot > Primary Antibody > Monoclonal Antibodies > GFAP (Astrocyte & Neural Stem Cell Marker) Antibody - With BSA and AzideBrand |
Leading Biology | Catalog Number |
APR11307G |
Product Type |
Monoclonal Antibodies | Field of Research |
|
Product Overview |
We constantly strive to ensure we provide our customers with the best antibodies. As a result of this work we offer this antibody in purified format.
We are in the process of updating our datasheets. If you have any questions regarding this update, please feel free to contact our technical support team.
This product is a high quality GFAP (Astrocyte & Neural Stem Cell Marker) antibody - With BSA and Azide.
|
||
Molecular Weight |
~50kDa
|
||
Cellular Localization |
Antigen Cellular Localization:
Cytoplasm. Note=Associated with intermediate filaments
|
||
Host |
Mouse
|
||
Species Reactivity |
Human, Mouse, Rat, Rabbit, Pig, Chicken, Cow
|
||
Clone |
GA-5 + ASTRO/789
|
||
Isotype |
Mouse / IgG's
|
||
GeneID |
|||
UniProt ID |
|||
Function |
GFAP, a class-III intermediate filament, is a cell- specific marker that, during the development of the central nervous system, distinguishes astrocytes from other glial cells.
|
||
Summary |
This MAb recognizes a protein of ~50kDa which is identified as Glial Fibrillary Acidic Protein (GFAP). It shows no cross-reaction with other intermediate filament proteins. GFAP is specifically found in astroglia. GFAP is a very popular marker for localizing benign astrocyte and neoplastic cells of glial origin in the central nervous system. Antibody to GFAP is useful in differentiating primary gliomas from metastatic lesions in the brain and for documenting astrocytic differentiation in tumors outside the CNS.
|
||
Form |
Liquid |
||
Storage & Stability |
Store at +4°C short term. For long-term storage, aliquot and store at -20°C or below. Stable for 12 months at -20°C. Avoid repeated freeze-thaw cycles.
|
||
Applications |
WB, IHC, IF, FC
|
||
Synonyms |
Glial fibrillary acidic protein, GFAP, GFAP
|
||
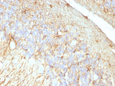
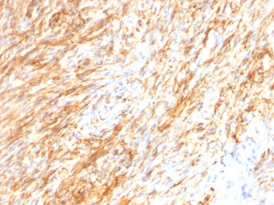
Images |
Formalin-fixed, paraffin-embedded human Cerebellum stained with GFAP Monoclonal Antibody (GA-5 + ASTRO/789).
Formalin-fixed, paraffin-embedded Rat Cerebellum stained with GFAP Monoclonal Antibody (GA-5 + ASTRO/789).
Formalin-fixed, paraffin-embedded human Schwanoma stained with GFAP Monoclonal Antibody (GA-5 + ASTRO/789). |
||
Specification |
|||
Quantity |
|
||
| Select | Brand | Catalog No. | Product Name | Pack Size | Type | Field of Research | Specification | Quantity | Price(USD) | |
| 1 | Leading Biology | APG02467G | CCK4 / PTK7 Antibody (clone 4F9) | 50 μl | Monoclonal Antibodies |
|
$495.00 | Add Ask | ||
| 2 | Leading Biology | AMM04683G | GALT Antibody (clone 4C11) | 50 μg | Monoclonal Antibodies |
|
$545.00 | Add Ask | ||
| 3 | Leading Biology | AMM01402G | Vimentin (Mesenchymal Cell Marker) Antibody - With BSA and Azide | 50 ug | Monoclonal Antibodies |
|
$395.00 | Add Ask | ||
| 4 | Leading Biology | APR08280G | LTA4H / LTA4 Antibody (clone 9G8) | 50 μl | Monoclonal Antibodies |
|
$495.00 | Add Ask | ||
| 5 | Leading Biology | AMM00172G | CD1a / HTA1 (Mature Langerhans Cells Marker) Antibody - With BSA and Azide | 50 ug | Monoclonal Antibodies |
|
$395.00 | Add Ask | ||
| 6 | Leading Biology | AMM05750G | CEBPA Antibody | 100 μl | Monoclonal Antibodies |
|
$545.00 | Add Ask |
Leading Biology Inc.
2600 Hilltop DR, Building G, B Suite C138
Richmond, CA, 94806
Tel: 1-661-524(LBI)-0262
Email: info@leadingbiology.com
Complete this form and click send to ask us a question, request a quote or simply say hello.

You have 0 item in your cart

You have 0 item in your inquiry list