> Antigen, Antibodies, ELISA, Western Blot > Primary Antibody > Monoclonal Antibodies > Renal Cell Carcinoma / gp200 Antibody - With BSA and AzideBrand |
Leading Biology | Catalog Number |
APR07460G |
Product Type |
Monoclonal Antibodies | Field of Research |
|
Product Overview |
We constantly strive to ensure we provide our customers with the best antibodies. As a result of this work we offer this antibody in purified format.
We are in the process of updating our datasheets. If you have any questions regarding this update, please feel free to contact our technical support team.
This product is a high quality Renal Cell Carcinoma / gp200 antibody - With BSA and Azide.
|
||
Molecular Weight |
200kDa
|
||
Cellular Localization |
Antigen Cellular Localization:
Nucleus. Nucleus, nucleolus. Cell membrane; Single-pass type I membrane protein. Cell projection, microvillus membrane; Single-pass type I membrane protein. Note=Found on the surface microvilli and in the nucleus, particularly in nucleolus
|
||
Host |
Mouse
|
||
Species Reactivity |
Human, Horse
|
||
Clone |
SPM487
|
||
Isotype |
Mouse / IgG2b, kappa
|
||
Symbol |
G250, MN
|
||
GeneID |
|||
UniProt ID |
|||
Function |
Reversible hydration of carbon dioxide. Participates in pH regulation. May be involved in the control of cell proliferation and transformation. Appears to be a novel specific biomarker for a cervical neoplasia.
|
||
Summary |
Recognizes a glycoprotein of ~200kDa, identified as carbonic anhydrase IX (CAIX/gp200). Its epitope resides in the carbohydrate domain of gp200. It shows no significant cross-reactivity with other carbohydrate determinants, such as the Lewis blood group antigens, epithelial membrane antigen, HMFG, and AB blood group antigens. In normal kidney, gp200 is localized along the brush border of the pars convoluta and pars recta segments of the proximal tubule, as well as focally along the luminal surface of Bowman's capsule adjoining the outgoing proximal tubule. Reportedly, gp200 is expressed by 93% of primary and 84% of metastatic renal cell carcinomas. This MAb may be useful in the investigations of carcinomas of proximal nephrogenic differentiation especially those showing tubular differentiation.
|
||
Form |
200ug/ml of Ab purified from Bioreactor Concentrate by Protein A/G. Prepared in 10mM PBS with 0.05% BSA & 0.05% azide. Also available WITHOUT BSA & azide at 1.0mg/ml. |
||
Storage & Stability |
Store at +4°C short term. For long-term storage, aliquot and store at -20°C or below. Stable for 12 months at -20°C. Avoid repeated freeze-thaw cycles.
|
||
Applications |
WB, IHC-P, IF, FC
|
||
Synonyms |
Carbonic anhydrase 9, 4.2.1.1, Carbonate dehydratase IX, Carbonic anhydrase IX, CA-IX, CAIX, Membrane antigen MN, P54/58N, Renal cell carcinoma-associated antigen G250, RCC-associated antigen G250, pMW1, CA9, G250, MN
|
||
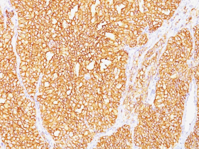
Images |
Formalin-fixed, paraffin-embedded human Renal Cell Carcinoma stained with RCC Monoclonal Antibody (SPM487). |
||
Specification |
|||
Quantity |
|
||
| Select | Brand | Catalog No. | Product Name | Pack Size | Type | Field of Research | Specification | Quantity | Price(USD) | |
| 1 | Leading Biology | APG02467G | CCK4 / PTK7 Antibody (clone 4F9) | 50 μl | Monoclonal Antibodies |
|
$495.00 | Add Ask | ||
| 2 | Leading Biology | AMM04683G | GALT Antibody (clone 4C11) | 50 μg | Monoclonal Antibodies |
|
$545.00 | Add Ask | ||
| 3 | Leading Biology | AMM01402G | Vimentin (Mesenchymal Cell Marker) Antibody - With BSA and Azide | 50 ug | Monoclonal Antibodies |
|
$395.00 | Add Ask | ||
| 4 | Leading Biology | APR08280G | LTA4H / LTA4 Antibody (clone 9G8) | 50 μl | Monoclonal Antibodies |
|
$495.00 | Add Ask | ||
| 5 | Leading Biology | AMM00172G | CD1a / HTA1 (Mature Langerhans Cells Marker) Antibody - With BSA and Azide | 50 ug | Monoclonal Antibodies |
|
$395.00 | Add Ask | ||
| 6 | Leading Biology | AMM05750G | CEBPA Antibody | 100 μl | Monoclonal Antibodies |
|
$545.00 | Add Ask |
Leading Biology Inc.
2600 Hilltop DR, Building G, B Suite C138
Richmond, CA, 94806
Tel: 1-661-524(LBI)-0262
Email: info@leadingbiology.com
Complete this form and click send to ask us a question, request a quote or simply say hello.

You have 0 item in your cart

You have 0 item in your inquiry list