> Antigen, Antibodies, ELISA, Western Blot > Primary Antibody > Monoclonal Antibodies > AMACR / p504S (Prostate Cancer Marker) Antibody - Culture SupernatantBrand |
Leading Biology | Catalog Number |
APR07207G |
Product Type |
Monoclonal Antibodies | Field of Research |
|
Product Overview |
We constantly strive to ensure we provide our customers with the best antibodies. As a result of this work we offer this antibody in purified format.
We are in the process of updating our datasheets. If you have any questions regarding this update, please feel free to contact our technical support team.
This product is a high quality AMACR / p504S (Prostate Cancer Marker) antibody - Culture Supernatant .
|
||
Molecular Weight |
54kDa
|
||
Cellular Localization |
Antigen Cellular Localization:
Peroxisome. Mitochondrion
|
||
Host |
Rabbit
|
||
Species Reactivity |
Human
|
||
Target |
Full length human recombinant AMACR protein
|
||
Clone |
13H4
|
||
Isotype |
IgG
|
||
GeneID |
|||
UniProt ID |
|||
Function |
Racemization of 2-methyl-branched fatty acid CoA esters. Responsible for the conversion of pristanoyl-CoA and C27-bile acyl-CoAs to their (S)-stereoisomers.
|
||
Summary |
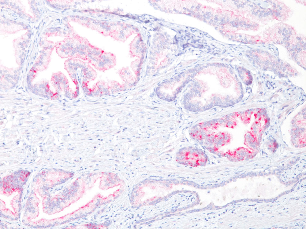
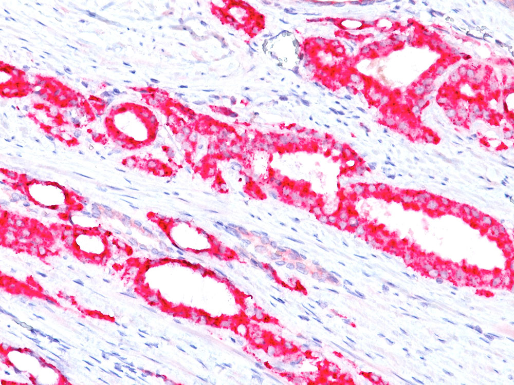
This antibody recognizes a protein of 54kDa, which is identified as AMACR, also known as p504S. It is an enzyme that is involved in bile acid biosynthesis and β-oxidation of branched-chain fatty acids. AMACR is expressed in cells of premalignant high-grade prostatic intraepithelial neoplasia (HGPIN) and prostate adenocarcinoma. The majority of the carcinoma cells show a distinct granular cytoplasmic staining reaction. AMACR is present at low or undetectable levels in glandular epithelial cells of normal prostate and benign prostatic hyperplasia. A spotty granular cytoplasmic staining is seen in a few cells of the benign glands.
|
||
Form |
0.5 ml of Culture Supernatant with azide |
||
Storage & Stability |
Store at +4°C short term. For long-term storage, aliquot and store at -20°C or below. Stable for 12 months at -20°C. Avoid repeated freeze-thaw cycles.
|
||
Applications |
WB, IHC
|
||
Synonyms |
Alpha-methylacyl-CoA racemase, 2-methylacyl-CoA racemase, AMACR
|
||
Images |
Formalin-fixed, paraffin-embedded human prostate carcinoma (10X) stained with AMACR / p504S Rabbit MAb (13H4).
Formalin-fixed, paraffin-embedded human prostate carcinoma (20X) stained with AMACR / p504S Rabbit MAb (13H4). |
||
Specification |
|||
Quantity |
|
||
| Select | Brand | Catalog No. | Product Name | Pack Size | Type | Field of Research | Specification | Quantity | Price(USD) | |
| 1 | Leading Biology | APG02467G | CCK4 / PTK7 Antibody (clone 4F9) | 50 μl | Monoclonal Antibodies |
|
$495.00 | Add Ask | ||
| 2 | Leading Biology | AMM04683G | GALT Antibody (clone 4C11) | 50 μg | Monoclonal Antibodies |
|
$545.00 | Add Ask | ||
| 3 | Leading Biology | AMM01402G | Vimentin (Mesenchymal Cell Marker) Antibody - With BSA and Azide | 50 ug | Monoclonal Antibodies |
|
$395.00 | Add Ask | ||
| 4 | Leading Biology | APR08280G | LTA4H / LTA4 Antibody (clone 9G8) | 50 μl | Monoclonal Antibodies |
|
$495.00 | Add Ask | ||
| 5 | Leading Biology | AMM00172G | CD1a / HTA1 (Mature Langerhans Cells Marker) Antibody - With BSA and Azide | 50 ug | Monoclonal Antibodies |
|
$395.00 | Add Ask | ||
| 6 | Leading Biology | AMM05750G | CEBPA Antibody | 100 μl | Monoclonal Antibodies |
|
$545.00 | Add Ask |
Leading Biology Inc.
2600 Hilltop DR, Building G, B Suite C138
Richmond, CA, 94806
Tel: 1-661-524(LBI)-0262
Email: info@leadingbiology.com
Complete this form and click send to ask us a question, request a quote or simply say hello.

You have 0 item in your cart

You have 0 item in your inquiry list