> Antigen, Antibodies, ELISA, Western Blot > Primary Antibody > Monoclonal Antibodies > Bcl-2 (Apoptosis & Follicular Lymphoma Marker) Antibody - With BSA and AzideBrand |
Leading Biology | Catalog Number |
APR07253G |
Product Type |
Monoclonal Antibodies | Field of Research |
|
Product Overview |
We constantly strive to ensure we provide our customers with the best antibodies. As a result of this work we offer this antibody in purified format.
We are in the process of updating our datasheets. If you have any questions regarding this update, please feel free to contact our technical support team.
This product is a high quality Bcl-2 (Apoptosis & Follicular Lymphoma Marker) antibody - With BSA and Azide.
|
||
Molecular Weight |
25-26kDa
|
||
Cellular Localization |
Antigen Cellular Localization:
Mitochondrion outer membrane; Single-pass membrane protein. Nucleus membrane; Single-pass membrane protein. Endoplasmic reticulum membrane; Single-pass membrane protein
|
||
Host |
Mouse
|
||
Species Reactivity |
Human
|
||
Target |
A synthetic peptide, aa41-54 (GAAPAPGIFSSQPG-Cys) of human Bcl-2 protein.
|
||
Clone |
124
|
||
Isotype |
IgG1, kappa
|
||
GeneID |
|||
UniProt ID |
|||
Function |
Suppresses apoptosis in a variety of cell systems including factor-dependent lymphohematopoietic and neural cells. Regulates cell death by controlling the mitochondrial membrane permeability. Appears to function in a feedback loop system with caspases. Inhibits caspase activity either by preventing the release of cytochrome c from the mitochondria and/or by binding to the apoptosis-activating factor (APAF-1).
|
||
Summary |
This antibody recognizes a protein of 25-26kDa, identified as the bcl-2?lpha oncoprotein. It shows no cross-reaction with Bcl-x or Bax protein. Expression of bcl-2?lpha oncoprotein inhibits the programmed cell death (apoptosis). In most follicular lymphomas, neoplastic germinal centers express high levels of bcl-2?lpha protein, whereas the normal or hyperplastic germinal centers are negative. Consequently, this antibody is valuable when distinguishing between reactive and neoplastic follicular proliferation in lymph node biopsies. It may also be used in distinguishing between those follicular lymphomas that express bcl-2 protein and the small number in which the neoplastic cells are bcl-2 negative.
|
||
Form |
0.5 ml at 200ug/ml with BSA and azide |
||
Storage & Stability |
Store at +4°C short term. For long-term storage, aliquot and store at -20°C or below. Stable for 12 months at -20°C. Avoid repeated freeze-thaw cycles.
|
||
Applications |
WB, IHC, IF, FC, IP, E
|
||
Synonyms |
Apoptosis regulator Bcl-2, BCL2
|
||
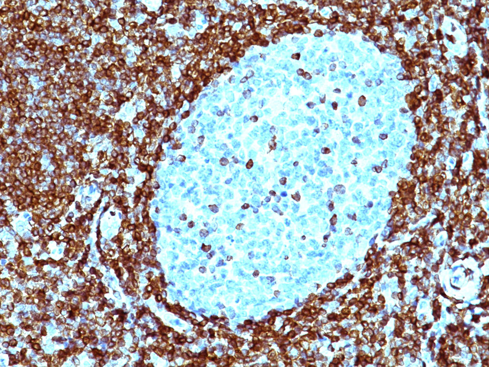
Images |
Formalin-fixed, paraffin-embedded human non-Hodgkin's lymphoma stained with Bcl-2 MAb (124). Note nuclear membrane & cytoplasmic staining.
Intracellular staining of Bcl-2 in Jurkat cells using Bcl-2 Ab (124) (red) and isotype control (green).
Western blot analysis of Bcl-2 in human skin using Bcl-2 Ab (124). |
||
Specification |
|||
Quantity |
|
||
| Select | Brand | Catalog No. | Product Name | Pack Size | Type | Field of Research | Specification | Quantity | Price(USD) | |
| 1 | Leading Biology | APG02467G | CCK4 / PTK7 Antibody (clone 4F9) | 50 μl | Monoclonal Antibodies |
|
$495.00 | Add Ask | ||
| 2 | Leading Biology | AMM04683G | GALT Antibody (clone 4C11) | 50 μg | Monoclonal Antibodies |
|
$545.00 | Add Ask | ||
| 3 | Leading Biology | AMM01402G | Vimentin (Mesenchymal Cell Marker) Antibody - With BSA and Azide | 50 ug | Monoclonal Antibodies |
|
$395.00 | Add Ask | ||
| 4 | Leading Biology | APR08280G | LTA4H / LTA4 Antibody (clone 9G8) | 50 μl | Monoclonal Antibodies |
|
$495.00 | Add Ask | ||
| 5 | Leading Biology | AMM00172G | CD1a / HTA1 (Mature Langerhans Cells Marker) Antibody - With BSA and Azide | 50 ug | Monoclonal Antibodies |
|
$395.00 | Add Ask | ||
| 6 | Leading Biology | AMM05750G | CEBPA Antibody | 100 μl | Monoclonal Antibodies |
|
$545.00 | Add Ask |
Leading Biology Inc.
2600 Hilltop DR, Building G, B Suite C138
Richmond, CA, 94806
Tel: 1-661-524(LBI)-0262
Email: info@leadingbiology.com
Complete this form and click send to ask us a question, request a quote or simply say hello.

You have 0 item in your cart

You have 0 item in your inquiry list