> Antigen, Antibodies, ELISA, Western Blot > Primary Antibody > Monoclonal Antibodies > TSC1/Hamartin AntibodyBrand |
Leading Biology | Catalog Number |
APR10573G |
Product Type |
Monoclonal Antibodies | Field of Research |
|
Product Overview |
We constantly strive to ensure we provide our customers with the best antibodies. As a result of this work we offer this antibody in purified format.
We are in the process of updating our datasheets. If you have any questions regarding this update, please feel free to contact our technical support team.
This product is a high quality TSC1/Hamartin antibody.
|
||
Molecular Weight |
129767 Da
|
||
Cellular Localization |
Antigen Cellular Localization:
Cytoplasm. Membrane; Peripheral membrane protein. Note=At steady state found in association with membranes
|
||
Host |
Rabbit
|
||
Species Reactivity |
Human
|
||
Target |
A synthetic peptide corresponding to C-terminal residues of human TSC1/Hamartin was used as an immunogen.
|
||
Clone |
EP318Y
|
||
Symbol |
KIAA0243, TSC
|
||
GeneID |
|||
UniProt ID |
|||
Function |
In complex with TSC2, inhibits the nutrient-mediated or growth factor-stimulated phosphorylation of S6K1 and EIF4EBP1 by negatively regulating mTORC1 signaling. Seems not to be required for TSC2 GAP activity towards RHEB. Implicated as a tumor suppressor. Involved in microtubule-mediated protein transport, but this seems to be due to unregulated mTOR signaling.
|
||
Summary |
Tuberous sclerosis complexes-1 (TSC1 also known as Hamartin) is a tumor suppressor that form a complex with TSC2 (Tuberin). This complex is known to control various cellular functions including cell cycle, endocytosis, adhesion, and transcription (1). The TSC1/TSC2 complex inhibits phosphorylation of S6kinase and 4E-BP1 through inactivation of mTOR (2). Recently it has been shown that TSC1/Hamartin is localized to the centrosome and negatively regulates Plk1 implicating TSC1/hamartin to the regulation of centrosome duplication (3). Tuberous sclerosis (TSC), an autosomal dominant disorder that affects 1 in 6000 individuals, is caused by a mutation in either the TSC1 or TSC2 tumor suppressor gene.
|
||
Form |
50 mM Tris-Glycine (pH 7.4), 0.15 M NaCl, 40% Glycerol, 0.01% sodium azide and 0.05% BSA. |
||
Storage & Stability |
Store at +4°C short term. For long-term storage, aliquot and store at -20°C or below. Stable for 12 months at -20°C. Avoid repeated freeze-thaw cycles.
|
||
Applications |
WB, IHC
|
||
Dilution |
WB~~1:1000~10000
IHC~~1:100~250
|
||
Synonyms |
Hamartin, Tuberous sclerosis 1 protein, TSC1, KIAA0243, TSC
|
||
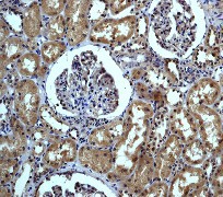
Images |
A. Western blot analysis on HeLa cell lysate using anti-TSC1/Hamartin RabMAb (Cat. APR10573G), dilution 1:20,000
B. Immunohistochemical analysis of paraffin-embedded human kidneys using anti-TSC-1 RabMAb (Cat. APR10573G). |
||
Specification |
|||
Quantity |
|
||
| Select | Brand | Catalog No. | Product Name | Pack Size | Type | Field of Research | Specification | Quantity | Price(USD) | |
| 1 | Leading Biology | APG02467G | CCK4 / PTK7 Antibody (clone 4F9) | 50 μl | Monoclonal Antibodies |
|
$495.00 | Add Ask | ||
| 2 | Leading Biology | AMM04683G | GALT Antibody (clone 4C11) | 50 μg | Monoclonal Antibodies |
|
$545.00 | Add Ask | ||
| 3 | Leading Biology | AMM01402G | Vimentin (Mesenchymal Cell Marker) Antibody - With BSA and Azide | 50 ug | Monoclonal Antibodies |
|
$395.00 | Add Ask | ||
| 4 | Leading Biology | APR08280G | LTA4H / LTA4 Antibody (clone 9G8) | 50 μl | Monoclonal Antibodies |
|
$495.00 | Add Ask | ||
| 5 | Leading Biology | AMM00172G | CD1a / HTA1 (Mature Langerhans Cells Marker) Antibody - With BSA and Azide | 50 ug | Monoclonal Antibodies |
|
$395.00 | Add Ask | ||
| 6 | Leading Biology | AMM05750G | CEBPA Antibody | 100 μl | Monoclonal Antibodies |
|
$545.00 | Add Ask |
Leading Biology Inc.
2600 Hilltop DR, Building G, B Suite C138
Richmond, CA, 94806
Tel: 1-661-524(LBI)-0262
Email: info@leadingbiology.com
Complete this form and click send to ask us a question, request a quote or simply say hello.

You have 0 item in your cart

You have 0 item in your inquiry list