> Antigen, Antibodies, ELISA, Western Blot > Primary Antibody > Monoclonal Antibodies > TCP1 alpha AntibodyBrand |
Leading Biology | Catalog Number |
AMM08136G |
Product Type |
Monoclonal Antibodies | Field of Research |
|
Product Overview |
We constantly strive to ensure we provide our customers with the best antibodies. As a result of this work we offer this antibody in purified format.
We are in the process of updating our datasheets. If you have any questions regarding this update, please feel free to contact our technical support team.
This product is a high quality TCP1 alpha antibody.
|
||
Molecular Weight |
60344 Da
|
||
Cellular Localization |
Antigen Cellular Localization:
Cytoplasm. Cytoplasm, cytoskeleton, microtubule organizing center, centrosome
|
||
Host |
Rabbit
|
||
Species Reactivity |
Human
|
||
Target |
A synthetic peptide corresponding to residues near the N-terminus in human TCP1 Alpha was used as an immunogen.
|
||
Clone |
EPR4081
|
||
Symbol |
CCT1, CCTA
|
||
GeneID |
|||
UniProt ID |
|||
Function |
Molecular chaperone; assists the folding of proteins upon ATP hydrolysis. As part of the BBS/CCT complex may play a role in the assembly of BBSome, a complex involved in ciliogenesis regulating transports vesicles to the cilia. Known to play a role, in vitro, in the folding of actin and tubulin.
|
||
Summary |
T-complex polypeptide 1 subunit alpha (TCP1 alpha) is a cytosolic molecular chaperone that belongs to the chaperonin-containing TCP1 (CCT) complex (1). The CCT complex is composed of eight subunits that assist in the folding of actin, tubulin, and other cytosolic proteins (1). The sequence differences among the CCT subunits are located mainly in their apical domains, suggesting some degree of specificity towards substrate binding (2). TCP1 alpha plays a role in the folding of newly translated proteins in the cytosol (3). Major cytoskeletal proteins such as actin and tubulin, depend on CCT to maintain the integrity of the microfilament and microtubule-based cytoskeletal systems (4). Overexpression of the TCP1 alpha in neurons may reduce the formation of pathogenic conformations of the hungtingtin protein associated with Huntington's disease (5).
|
||
Form |
50 mM Tris-Glycine (pH 7.4), 0.15 M NaCl, 40% Glycerol, 0.01% sodium azide and 0.05% BSA. |
||
Storage & Stability |
Store at +4°C short term. For long-term storage, aliquot and store at -20°C or below. Stable for 12 months at -20°C. Avoid repeated freeze-thaw cycles.
|
||
Applications |
WB, IHC, IF
|
||
Dilution |
WB~~1:1000~10000
IHC~~1:100~250
|
||
Synonyms |
T-complex protein 1 subunit alpha, TCP-1-alpha, CCT-alpha, TCP1, CCT1, CCTA
|
||
Images |
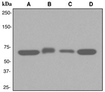
Western blot analysis on (A) HeLa, (B) ECV-304, (C) A459, and (D) 293T cell lysates using anti-TCP1 Alpha RabMAb (Cat. AMM08136G).
Immunohistochemical analysis of paraffin-embedded human colon tissue using anti-TCP1 alpha RabMAb (Cat. AMM08136G).
Immunohistochemical analysis of paraffin-embedded human kidney tissue using anti-TCP1 alpha RabMAb (Cat. AMM08136G). |
||
Specification |
|||
Quantity |
|
||
| Select | Brand | Catalog No. | Product Name | Pack Size | Type | Field of Research | Specification | Quantity | Price(USD) | |
| 1 | Leading Biology | APG02467G | CCK4 / PTK7 Antibody (clone 4F9) | 50 μl | Monoclonal Antibodies |
|
$495.00 | Add Ask | ||
| 2 | Leading Biology | AMM04683G | GALT Antibody (clone 4C11) | 50 μg | Monoclonal Antibodies |
|
$545.00 | Add Ask | ||
| 3 | Leading Biology | AMM01402G | Vimentin (Mesenchymal Cell Marker) Antibody - With BSA and Azide | 50 ug | Monoclonal Antibodies |
|
$395.00 | Add Ask | ||
| 4 | Leading Biology | APR08280G | LTA4H / LTA4 Antibody (clone 9G8) | 50 μl | Monoclonal Antibodies |
|
$495.00 | Add Ask | ||
| 5 | Leading Biology | AMM00172G | CD1a / HTA1 (Mature Langerhans Cells Marker) Antibody - With BSA and Azide | 50 ug | Monoclonal Antibodies |
|
$395.00 | Add Ask | ||
| 6 | Leading Biology | AMM05750G | CEBPA Antibody | 100 μl | Monoclonal Antibodies |
|
$545.00 | Add Ask |
Leading Biology Inc.
2600 Hilltop DR, Building G, B Suite C138
Richmond, CA, 94806
Tel: 1-661-524(LBI)-0262
Email: info@leadingbiology.com
Complete this form and click send to ask us a question, request a quote or simply say hello.

You have 0 item in your cart

You have 0 item in your inquiry list