> Antigen, Antibodies, ELISA, Western Blot > Primary Antibody > Monoclonal Antibodies > Synip AntibodyBrand |
Leading Biology | Catalog Number |
APR10366G |
Product Type |
Monoclonal Antibodies | Field of Research |
|
Product Overview |
We constantly strive to ensure we provide our customers with the best antibodies. As a result of this work we offer this antibody in purified format.
We are in the process of updating our datasheets. If you have any questions regarding this update, please feel free to contact our technical support team.
This product is a high quality Synip antibody.
|
||
Molecular Weight |
61662 Da
|
||
Cellular Localization |
Antigen Cellular Localization:
Cytoplasm.
|
||
Host |
Rabbit
|
||
Species Reactivity |
Human, Mouse, Rat
|
||
Target |
A synthetic peptide corresponding to residues near the C-terminus of the PDZ domain of human Synip was used as immunogen. This antibody is predicted to detect the isoform 2 base on sequence analysis.
|
||
Clone |
EP302Y
|
||
GeneID |
|||
UniProt ID |
|||
Function |
Plays a role in the translocation of transport vesicles from the cytoplasm to the plasma membrane. Inhibits the translocation of SLC2A4 from intracellular vesicles to the plasma membrane by STX4A binding and preventing the interaction between STX4A and VAMP2. Stimulation with insulin disrupts the interaction with STX4A, leading to increased levels of SLC2A4 at the plasma membrane. May also play a role in the regulation of insulin release by pancreatic beta cells after stimulation by glucose (By similarity).
|
||
Summary |
Synip (Syntaxin 4-Interacting protein) specifically binds to Syntaxin 4 and is uniquely expressed in muscle and adipose tissue. The binding interaction of Synip with syntaxin 4 is regulated by insulin, which also induces dissociation of the Synip-syntaxin 4 complex. Synip plays a role in the translocation of transport vesicles from the cytoplasm to the plasma membrane and functions as a positive regulator of insulin-stimulated GLUT4 translocation. Synip also competes with VAMP2 but Not SNAP23 for binding to Syntaxin 4 (1-3).
|
||
Form |
50 mM Tris-Glycine (pH 7.4), 0.15 M NaCl, 40% Glycerol, 0.01% sodium azide and 0.05% BSA. |
||
Storage & Stability |
Store at +4°C short term. For long-term storage, aliquot and store at -20°C or below. Stable for 12 months at -20°C. Avoid repeated freeze-thaw cycles.
|
||
Applications |
WB, IHC
|
||
Dilution |
WB~~1:500~1000
IHC~~1:250~500
|
||
Synonyms |
Syntaxin-binding protein 4, Syntaxin 4-interacting protein, STX4-interacting protein, Synip, STXBP4
|
||
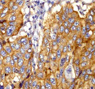
Images |
A. Western blot analysis on human skeletal muscle lysate using anti-Synip RabMAb (Cat. APR10366G), dilution 1:1,000.
B. Immunohistochemical analysis of paraffin-embedded human lung carcinoma using anti-Synip RabMAb (Cat. APR10366G). |
||
Specification |
|||
Quantity |
|
||
| Select | Brand | Catalog No. | Product Name | Pack Size | Type | Field of Research | Specification | Quantity | Price(USD) | |
| 1 | Leading Biology | APG02467G | CCK4 / PTK7 Antibody (clone 4F9) | 50 μl | Monoclonal Antibodies |
|
$495.00 | Add Ask | ||
| 2 | Leading Biology | AMM04683G | GALT Antibody (clone 4C11) | 50 μg | Monoclonal Antibodies |
|
$545.00 | Add Ask | ||
| 3 | Leading Biology | AMM01402G | Vimentin (Mesenchymal Cell Marker) Antibody - With BSA and Azide | 50 ug | Monoclonal Antibodies |
|
$395.00 | Add Ask | ||
| 4 | Leading Biology | APR08280G | LTA4H / LTA4 Antibody (clone 9G8) | 50 μl | Monoclonal Antibodies |
|
$495.00 | Add Ask | ||
| 5 | Leading Biology | AMM00172G | CD1a / HTA1 (Mature Langerhans Cells Marker) Antibody - With BSA and Azide | 50 ug | Monoclonal Antibodies |
|
$395.00 | Add Ask | ||
| 6 | Leading Biology | AMM05750G | CEBPA Antibody | 100 μl | Monoclonal Antibodies |
|
$545.00 | Add Ask |
Leading Biology Inc.
2600 Hilltop DR, Building G, B Suite C138
Richmond, CA, 94806
Tel: 1-661-524(LBI)-0262
Email: info@leadingbiology.com
Complete this form and click send to ask us a question, request a quote or simply say hello.

You have 0 item in your cart

You have 0 item in your inquiry list