> Antigen, Antibodies, ELISA, Western Blot > Primary Antibody > Monoclonal Antibodies > Synaptophysin Antibody (C-term)Brand |
Leading Biology | Catalog Number |
APR13618G |
Product Type |
Monoclonal Antibodies | Field of Research |
|
Product Overview |
We constantly strive to ensure we provide our customers with the best antibodies. As a result of this work we offer this antibody in purified format.
We are in the process of updating our datasheets. If you have any questions regarding this update, please feel free to contact our technical support team.
This product is a high quality Synaptophysin antibody (C-term).
|
||
Molecular Weight |
33845 Da
|
||
Cellular Localization |
Antigen Cellular Localization:
Cytoplasmic vesicle, secretory vesicle, synaptic vesicle membrane; Multi-pass membrane protein. Cell junction, synapse, synaptosome
|
||
Host |
Rabbit
|
||
Species Reactivity |
Human, Mouse, Rat
|
||
Target |
A synthetic peptide corresponding to residues in C-terminus (cytoplasmic domain) of human Synaptophysin was used as immunogen. Predicted to cross-react with bovine, based on sequence homology.
|
||
Clone |
YE269
|
||
GeneID |
|||
UniProt ID |
|||
Function |
Possibly involved in structural functions as organizing other membrane components or in targeting the vesicles to the plasma membrane. Involved in the regulation of short-term and long-term synaptic plasticity (By similarity).
|
||
Summary |
Synaptophysin (SypI), also referred as p38 (1), constitutes approximately 7% of the total vesicle protein and is selectively associated with small synaptic vesicles (SSVs). Syp I contains four transmembrane regions and can be phosphorylated on its cytoplasmic C-terminus by both serine/threonine and tyrosine kinases (2). In addition to syp I, synaptic vesicles contain a highly homologous membrane protein named synaptoporin or synaptophysin II (Syp II) (3). While Syp I is ubiquitously expressed and present in virtually all synapses whereas Syp II is expressed at high levels only in selected neurons (4).
|
||
Form |
50 mM Tris-Glycine (pH 7.4), 0.15 M NaCl, 40% Glycerol, 0.01% sodium azide and 0.05% BSA. |
||
Storage & Stability |
Store at +4°C short term. For long-term storage, aliquot and store at -20°C or below. Stable for 12 months at -20°C. Avoid repeated freeze-thaw cycles.
|
||
Applications |
IHC, WB
|
||
Dilution |
WB~~1:1000~10000
IHC~~1:500~1000
|
||
Synonyms |
Synaptophysin, Major synaptic vesicle protein p38, SYP
|
||
Images |
A. Western blot analysis on PC12 cell lysate using anti-Synaptophysin RabMAb (Cat. APR13618G), dilution 1:10,000.
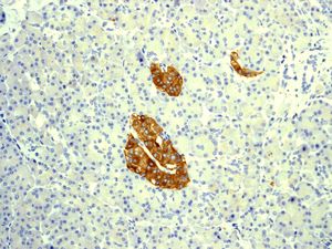
Immunohistochemical analysis of paraffin-embedded human pancreas tissue using anti-Synaptophysin RabMAb (cat. APR13618G). |
||
Specification |
|||
Quantity |
|
||
| Select | Brand | Catalog No. | Product Name | Pack Size | Type | Field of Research | Specification | Quantity | Price(USD) | |
| 1 | Leading Biology | APG02467G | CCK4 / PTK7 Antibody (clone 4F9) | 50 μl | Monoclonal Antibodies |
|
$495.00 | Add Ask | ||
| 2 | Leading Biology | AMM04683G | GALT Antibody (clone 4C11) | 50 μg | Monoclonal Antibodies |
|
$545.00 | Add Ask | ||
| 3 | Leading Biology | AMM01402G | Vimentin (Mesenchymal Cell Marker) Antibody - With BSA and Azide | 50 ug | Monoclonal Antibodies |
|
$395.00 | Add Ask | ||
| 4 | Leading Biology | APR08280G | LTA4H / LTA4 Antibody (clone 9G8) | 50 μl | Monoclonal Antibodies |
|
$495.00 | Add Ask | ||
| 5 | Leading Biology | AMM00172G | CD1a / HTA1 (Mature Langerhans Cells Marker) Antibody - With BSA and Azide | 50 ug | Monoclonal Antibodies |
|
$395.00 | Add Ask | ||
| 6 | Leading Biology | AMM05750G | CEBPA Antibody | 100 μl | Monoclonal Antibodies |
|
$545.00 | Add Ask |
Leading Biology Inc.
2600 Hilltop DR, Building G, B Suite C138
Richmond, CA, 94806
Tel: 1-661-524(LBI)-0262
Email: info@leadingbiology.com
Complete this form and click send to ask us a question, request a quote or simply say hello.

You have 0 item in your cart

You have 0 item in your inquiry list