> Antigen, Antibodies, ELISA, Western Blot > Primary Antibody > Monoclonal Antibodies > SUMO-1 AntibodyBrand |
Leading Biology | Catalog Number |
APR07194G |
Product Type |
Monoclonal Antibodies | Field of Research |
|
Product Overview |
We constantly strive to ensure we provide our customers with the best antibodies. As a result of this work we offer this antibody in purified format.
We are in the process of updating our datasheets. If you have any questions regarding this update, please feel free to contact our technical support team.
This product is a high quality SUMO-1 antibody.
|
||
Molecular Weight |
11557 Da
|
||
Cellular Localization |
Antigen Cellular Localization:
Nucleus membrane. Nucleus speckle. Cytoplasm. Nucleus, PML body. Note=Recruited by BCL11A into the nuclear body.
|
||
Host |
Rabbit
|
||
Species Reactivity |
Human, Mouse, Rat
|
||
Target |
A synthetic peptide corresponding to residues near the C-term of human SUMO-1 was used as immunogen.
|
||
Clone |
Y299
|
||
Symbol |
SMT3C, SMT3H3, UBL1
|
||
GeneID |
|||
UniProt ID |
|||
Function |
Ubiquitin-like protein that can be covalently attached to proteins as a monomer or a lysine-linked polymer. Covalent attachment via an isopeptide bond to its substrates requires prior activation by the E1 complex SAE1-SAE2 and linkage to the E2 enzyme UBE2I, and can be promoted by E3 ligases such as PIAS1-4, RANBP2 or CBX4. This post-translational modification on lysine residues of proteins plays a crucial role in a number of cellular processes such as nuclear transport, DNA replication and repair, mitosis and signal transduction. Involved for instance in targeting RANGAP1 to the nuclear pore complex protein RANBP2. Polymeric SUMO1 chains are also susceptible to polyubiquitination which functions as a signal for proteasomal degradation of modified proteins. May also regulate a network of genes involved in palate development.
|
||
Summary |
Small ubiquitin-related modifier-1 (SUMO-1), also known as SMT3, Sentrin, GMP1 UBL1 and PIC1, is a member of the ubiquitin like family (1-2). Structurally similar to ubuquitin, SUMO-1 does not mark protein for degradation (SUMOlation) but instead seems to be involved in the modulation of protein-protein interaction. It also participates in a number of cellular processes such as nuclear transport, transcriptional regulation, apoptosis and protein stability. Like ubiquitin, SUMO-1 is covalently bound to a variety of proteins (p53, Jun, p73 alpha) via a three step enzymatic pathway (3-4), as well as requiring specific proteases to activate the protein. SUMO-1 is also known to form a complex with RanGAP1 (5).
|
||
Form |
50 mM Tris-Glycine (pH 7.4), 0.15 M NaCl, 40% Glycerol, 0.01% sodium azide and 0.05% BSA. |
||
Storage & Stability |
Store at +4°C short term. For long-term storage, aliquot and store at -20°C or below. Stable for 12 months at -20°C. Avoid repeated freeze-thaw cycles.
|
||
Applications |
WB, IHC, IF
|
||
Dilution |
WB~~1:1000~10000
IHC~~1:250~500
|
||
Synonyms |
Small ubiquitin-related modifier 1, SUMO-1, GAP-modifying protein 1, GMP1, SMT3 homolog 3, Sentrin, Ubiquitin-homology domain protein PIC1, Ubiquitin-like protein SMT3C, Smt3C, Ubiquitin-like protein UBL1, SUMO1, SMT3C, SMT3H3, UBL1
|
||
Images |
A. Western blot analysis of Anti-SUMO-1 RabMAb (Cat. APR07194G), dilution 1:1,000. A-Hela B-NIH 3T3
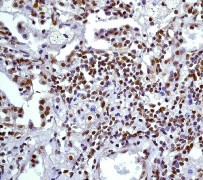
B. Immunohistochemical analysis of paraffin-embedded human lung carcinoma using anti-SUMO-1 RabMAb (Cat. APR07194G).
C. Immunofluorescent staining of HeLa cells using anti-SUMO-1 RabMAb (Cat. APR07194G). |
||
Specification |
|||
Quantity |
|
||
| Select | Brand | Catalog No. | Product Name | Pack Size | Type | Field of Research | Specification | Quantity | Price(USD) | |
| 1 | Leading Biology | APG02467G | CCK4 / PTK7 Antibody (clone 4F9) | 50 μl | Monoclonal Antibodies |
|
$495.00 | Add Ask | ||
| 2 | Leading Biology | AMM04683G | GALT Antibody (clone 4C11) | 50 μg | Monoclonal Antibodies |
|
$545.00 | Add Ask | ||
| 3 | Leading Biology | AMM01402G | Vimentin (Mesenchymal Cell Marker) Antibody - With BSA and Azide | 50 ug | Monoclonal Antibodies |
|
$395.00 | Add Ask | ||
| 4 | Leading Biology | APR08280G | LTA4H / LTA4 Antibody (clone 9G8) | 50 μl | Monoclonal Antibodies |
|
$495.00 | Add Ask | ||
| 5 | Leading Biology | AMM00172G | CD1a / HTA1 (Mature Langerhans Cells Marker) Antibody - With BSA and Azide | 50 ug | Monoclonal Antibodies |
|
$395.00 | Add Ask | ||
| 6 | Leading Biology | AMM05750G | CEBPA Antibody | 100 μl | Monoclonal Antibodies |
|
$545.00 | Add Ask |
Leading Biology Inc.
2600 Hilltop DR, Building G, B Suite C138
Richmond, CA, 94806
Tel: 1-661-524(LBI)-0262
Email: info@leadingbiology.com
Complete this form and click send to ask us a question, request a quote or simply say hello.

You have 0 item in your cart

You have 0 item in your inquiry list