> Antigen, Antibodies, ELISA, Western Blot > Primary Antibody > Monoclonal Antibodies > Sonic-Hedgehog (SHH) Antibody (C-Product)Brand |
Leading Biology | Catalog Number |
APR10205G |
Product Type |
Monoclonal Antibodies | Field of Research |
|
Product Overview |
We constantly strive to ensure we provide our customers with the best antibodies. As a result of this work we offer this antibody in purified format.
We are in the process of updating our datasheets. If you have any questions regarding this update, please feel free to contact our technical support team.
This product is a high quality Sonic-Hedgehog (SHH) antibody (C-Product).
|
||
Molecular Weight |
49607 Da
|
||
Cellular Localization |
Antigen Cellular Localization:
Sonic hedgehog protein C-product: Secreted, extracellular space. Note=The C-terminal peptide diffuses from the cell.
|
||
Host |
Rabbit
|
||
Species Reactivity |
Human
|
||
Target |
A synthetic peptide corresponding to residues within c-product subunit of human SHH protein was used as an immunogen. This antibody is specific for both full length (50 kDa) and c-product subunit (27 kDa) of human SHH protein.
|
||
Clone |
EP1190Y
|
||
GeneID |
|||
UniProt ID |
|||
Function |
Intercellular signal essential for a variety of patterning events during development: signal produced by the notochord that induces ventral cell fate in the neural tube and somites, and the polarizing signal for patterning of the anterior- posterior axis of the developing limb bud. Displays both floor plate- and motor neuron-inducing activity. The threshold concentration of N-product required for motor neuron induction is 5-fold lower than that required for floor plate induction. Activates the transcription of target genes by interacting with its receptor PTCH1 to prevent normal inhibition by PTCH1 on the constitutive signaling activity of SMO (By similarity).
|
||
Summary |
Sonic Hedgehog Protein (SHH, VHH-1) belongs to the hedgehog protein family which includes Indian Hh, and Desert Hh. The Hh family is involved in cell fate and patterning during embryonic development, homeostasis, and adult tissue renewal (1). Similar to other member in the family, SHH binds to the patched (PTC) cell surface receptor, releasing the signal transducer Smoothened (Smo) to transmit the Hh signal into the cell and activate transcription of the target gene (2). Precursor SHH is autocatalytically cleaved into two subunits, N-terminal and C-terminal products. Soluble N-terminal product is involved in signaling activity, while C-product displays an autoproteolysis activity on the precursor and a cholesterol transferase activity on the N-terminal product. C-terminal product attaches a cholesterol moiety to the N-terminal product, preventing N-terminal product diffusion within the developing embryo (3). A defect in SHH has been linked in holoprosencephaly type 3 (HPE3), in which the developing forebrain fails to separate into right and left hemispheres, and ocular coloboma (4).
|
||
Form |
50 mM Tris-Glycine (pH 7.4), 0.15 M NaCl, 40% Glycerol, 0.01% sodium azide and 0.05% BSA. |
||
Storage & Stability |
Store at +4°C short term. For long-term storage, aliquot and store at -20°C or below. Stable for 12 months at -20°C. Avoid repeated freeze-thaw cycles.
|
||
Applications |
WB, IHC
|
||
Dilution |
WB~~1:1000~10000
IHC~~1:100
|
||
Synonyms |
Sonic hedgehog protein, SHH, HHG-1, Sonic hedgehog protein N-product, Sonic hedgehog protein C-product, SHH
|
||
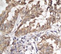
Images |
A. Western blot analysis on fetal liver membrane using anti-SHH (c-product) RabMAb (Cat. APR10205G), dilution 1:2000.
B. Immunohistochemistry analysis of paraffin-embedded Human Kidney tissue using anti-SHH (C-Product) RabMAb (Cat. APR10205G). |
||
Specification |
|||
Quantity |
|
||
| Select | Brand | Catalog No. | Product Name | Pack Size | Type | Field of Research | Specification | Quantity | Price(USD) | |
| 1 | Leading Biology | APG02467G | CCK4 / PTK7 Antibody (clone 4F9) | 50 μl | Monoclonal Antibodies |
|
$495.00 | Add Ask | ||
| 2 | Leading Biology | AMM04683G | GALT Antibody (clone 4C11) | 50 μg | Monoclonal Antibodies |
|
$545.00 | Add Ask | ||
| 3 | Leading Biology | AMM01402G | Vimentin (Mesenchymal Cell Marker) Antibody - With BSA and Azide | 50 ug | Monoclonal Antibodies |
|
$395.00 | Add Ask | ||
| 4 | Leading Biology | APR08280G | LTA4H / LTA4 Antibody (clone 9G8) | 50 μl | Monoclonal Antibodies |
|
$495.00 | Add Ask | ||
| 5 | Leading Biology | AMM00172G | CD1a / HTA1 (Mature Langerhans Cells Marker) Antibody - With BSA and Azide | 50 ug | Monoclonal Antibodies |
|
$395.00 | Add Ask | ||
| 6 | Leading Biology | AMM05750G | CEBPA Antibody | 100 μl | Monoclonal Antibodies |
|
$545.00 | Add Ask |
Leading Biology Inc.
2600 Hilltop DR, Building G, B Suite C138
Richmond, CA, 94806
Tel: 1-661-524(LBI)-0262
Email: info@leadingbiology.com
Complete this form and click send to ask us a question, request a quote or simply say hello.

You have 0 item in your cart

You have 0 item in your inquiry list