> Antigen, Antibodies, ELISA, Western Blot > Primary Antibody > Monoclonal Antibodies > Smac/Diablo AntibodyBrand |
Leading Biology | Catalog Number |
APR10157G |
Product Type |
Monoclonal Antibodies | Field of Research |
|
Product Overview |
We constantly strive to ensure we provide our customers with the best antibodies. As a result of this work we offer this antibody in purified format.
We are in the process of updating our datasheets. If you have any questions regarding this update, please feel free to contact our technical support team.
This product is a high quality Smac/Diablo antibody.
|
||
Molecular Weight |
27131 Da
|
||
Cellular Localization |
Antigen Cellular Localization:
Mitochondrion. Note=Released into the cytosol when cells undergo apoptosis
|
||
Host |
Rabbit
|
||
Species Reactivity |
Human, Rat
|
||
Target |
A synthetic peptide corresponding to C-terminal residues human Smac/DIABLO was used as immunogen.
|
||
Clone |
Y12
|
||
Symbol |
SMAC
|
||
GeneID |
|||
UniProt ID |
|||
Function |
Promotes apoptosis by activating caspases in the cytochrome c/Apaf-1/caspase-9 pathway. Acts by opposing the inhibitory activity of inhibitor of apoptosis proteins (IAP). Inhibits the activity of BIRC6/bruce by inhibiting its binding to caspases. Isoform 3 attenuates the stability and apoptosis- inhibiting activity of XIAP/BIRC4 by promoting XIAP/BIRC4 ubiquitination and degradation through the ubiquitin-proteasome pathway. Isoform 3 also disrupts XIAP/BIRC4 interacting with processed caspase-9 and promotes caspase-3 activation. Isoform 1 is defective in the capacity to down-regulate the XIAP/BIRC4 abundance.
|
||
Summary |
Smac/Diablo (Second Mitochondria-derived Activator of Caspases/Direct IAP Binding Protein with Low PI) is localized to the mitochondria and involved in activating programmed cell death, or apoptosis (1). In response to apoptotic stimuli, Smac/Diablo is released from the mitochondria and binds anti-apoptotic IAP proteins, supressing their inhibitory activity and promoting caspase activation (1,2). This interaction involves primarily the amino-terminal residues of Smac/Diablo with the BIR3 region of the IAP protein (3,4).
|
||
Form |
50 mM Tris-Glycine (pH 7.4), 0.15 M NaCl, 40% Glycerol, 0.01% sodium azide and 0.05% BSA. |
||
Storage & Stability |
Store at +4°C short term. For long-term storage, aliquot and store at -20°C or below. Stable for 12 months at -20°C. Avoid repeated freeze-thaw cycles.
|
||
Applications |
WB, IHC
|
||
Dilution |
WB~~1:1000~10000
IHC~~1:10
|
||
Synonyms |
Diablo homolog, mitochondrial, Direct IAP-binding protein with low pI, Second mitochondria-derived activator of caspase, Smac, DIABLO, SMAC
|
||
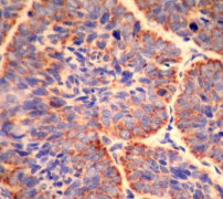
Images |
A. Western blot analysis on Jurkat cell lysate using anti-Smac/Diablo RabMAb (Cat. APR10157G), 1:1,000 dilution.
B. Immunohistochemical analysis of paraffin-embedded human skin cancer tissue using anti-Smac/Diablo RabMAb (Cat. APR10157G). |
||
Specification |
|||
Quantity |
|
||
| Select | Brand | Catalog No. | Product Name | Pack Size | Type | Field of Research | Specification | Quantity | Price(USD) | |
| 1 | Leading Biology | APG02467G | CCK4 / PTK7 Antibody (clone 4F9) | 50 μl | Monoclonal Antibodies |
|
$495.00 | Add Ask | ||
| 2 | Leading Biology | AMM04683G | GALT Antibody (clone 4C11) | 50 μg | Monoclonal Antibodies |
|
$545.00 | Add Ask | ||
| 3 | Leading Biology | AMM01402G | Vimentin (Mesenchymal Cell Marker) Antibody - With BSA and Azide | 50 ug | Monoclonal Antibodies |
|
$395.00 | Add Ask | ||
| 4 | Leading Biology | APR08280G | LTA4H / LTA4 Antibody (clone 9G8) | 50 μl | Monoclonal Antibodies |
|
$495.00 | Add Ask | ||
| 5 | Leading Biology | AMM00172G | CD1a / HTA1 (Mature Langerhans Cells Marker) Antibody - With BSA and Azide | 50 ug | Monoclonal Antibodies |
|
$395.00 | Add Ask | ||
| 6 | Leading Biology | AMM05750G | CEBPA Antibody | 100 μl | Monoclonal Antibodies |
|
$545.00 | Add Ask |
Leading Biology Inc.
2600 Hilltop DR, Building G, B Suite C138
Richmond, CA, 94806
Tel: 1-661-524(LBI)-0262
Email: info@leadingbiology.com
Complete this form and click send to ask us a question, request a quote or simply say hello.

You have 0 item in your cart

You have 0 item in your inquiry list