> Antigen, Antibodies, ELISA, Western Blot > Primary Antibody > Monoclonal Antibodies > SHP-2 AntibodyBrand |
Leading Biology | Catalog Number |
APR13313G |
Product Type |
Monoclonal Antibodies | Field of Research |
|
Product Overview |
We constantly strive to ensure we provide our customers with the best antibodies. As a result of this work we offer this antibody in purified format.
We are in the process of updating our datasheets. If you have any questions regarding this update, please feel free to contact our technical support team.
This product is a high quality SHP-2 antibody.
|
||
Molecular Weight |
68436 Da
|
||
Cellular Localization |
Antigen Cellular Localization:
Cytoplasm.
|
||
Host |
Rabbit
|
||
Species Reactivity |
Human
|
||
Target |
A synthetic peptide corresponding to residues near the C-term of human SHP-2 was used as immunogen. This antibody is predicted to detect splice isoform 2 based on sequence analysis.
|
||
Clone |
Y478
|
||
Symbol |
PTP2C, SHPTP2
|
||
GeneID |
|||
UniProt ID |
|||
Function |
Acts downstream of various receptor and cytoplasmic protein tyrosine kinases to participate in the signal transduction from the cell surface to the nucleus. Dephosphorylates ROCK2 at Tyr-722 resulting in stimulatation of its RhoA binding activity.
|
||
Summary |
SHP-2 (also called PTP2C, SH-PTP2, PTP1D, SH-PTP3, Syp and PTPN11) is a protein tyrosine phosphatase (PTP) expressed in most cell types (unlike SHP-1), (1). SHP-2 is involved in t the signal transduction stimulated by EGF, PDGF and Insulin. After cell stimulation, SHP-2 (as well as SHP-1), translocates from cytosol to the plasma membrane and binds to tyrosine-phosphorylated receptors through their SH2 domains, becoming activated in the process (2). When phosphorylated, SHP-2 has been shown to bind Grb2, EGFR, PDGFR, IRS-1 via its SH2 domain (3). Overexpression of SHP-2 leads to Juvenile Myelo-monocytic Leukemia and Noonan syndrome (4-5).
|
||
Form |
50 mM Tris-Glycine (pH 7.4), 0.15 M NaCl, 40% Glycerol, 0.01% sodium azide and 0.05% BSA. |
||
Storage & Stability |
Store at +4°C short term. For long-term storage, aliquot and store at -20°C or below. Stable for 12 months at -20°C. Avoid repeated freeze-thaw cycles.
|
||
Applications |
WB, IHC
|
||
Dilution |
WB~~1:500
IHC~~1:50
|
||
Synonyms |
Tyrosine-protein phosphatase non-receptor type 11, Protein-tyrosine phosphatase 1D, PTP-1D, Protein-tyrosine phosphatase 2C, PTP-2C, SH-PTP2, SHP-2, Shp2, SH-PTP3, PTPN11, PTP2C, SHPTP2
|
||
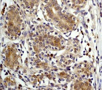
Images |
A. Western blot analysis on Jurkat cell lysate using anti-SHP-2 RabMAb (Cat. APR13313G) 1:5,000 dilution
B. Immunohistochemical analysis of paraffin-embedded human breast carcinoma using anti-SHP-2 RabMAb (Cat. APR13313G). |
||
Specification |
|||
Quantity |
|
||
| Select | Brand | Catalog No. | Product Name | Pack Size | Type | Field of Research | Specification | Quantity | Price(USD) | |
| 1 | Leading Biology | APG02467G | CCK4 / PTK7 Antibody (clone 4F9) | 50 μl | Monoclonal Antibodies |
|
$495.00 | Add Ask | ||
| 2 | Leading Biology | AMM04683G | GALT Antibody (clone 4C11) | 50 μg | Monoclonal Antibodies |
|
$545.00 | Add Ask | ||
| 3 | Leading Biology | AMM01402G | Vimentin (Mesenchymal Cell Marker) Antibody - With BSA and Azide | 50 ug | Monoclonal Antibodies |
|
$395.00 | Add Ask | ||
| 4 | Leading Biology | APR08280G | LTA4H / LTA4 Antibody (clone 9G8) | 50 μl | Monoclonal Antibodies |
|
$495.00 | Add Ask | ||
| 5 | Leading Biology | AMM00172G | CD1a / HTA1 (Mature Langerhans Cells Marker) Antibody - With BSA and Azide | 50 ug | Monoclonal Antibodies |
|
$395.00 | Add Ask | ||
| 6 | Leading Biology | AMM05750G | CEBPA Antibody | 100 μl | Monoclonal Antibodies |
|
$545.00 | Add Ask |
Leading Biology Inc.
2600 Hilltop DR, Building G, B Suite C138
Richmond, CA, 94806
Tel: 1-661-524(LBI)-0262
Email: info@leadingbiology.com
Complete this form and click send to ask us a question, request a quote or simply say hello.

You have 0 item in your cart

You have 0 item in your inquiry list