> Antigen, Antibodies, ELISA, Western Blot > Primary Antibody > Monoclonal Antibodies > Serum amyloid Antibodies P-Component (N-term)Brand |
Leading Biology | Catalog Number |
APR13293G |
Product Type |
Monoclonal Antibodies | Field of Research |
|
Product Overview |
We constantly strive to ensure we provide our customers with the best antibodies. As a result of this work we offer this antibody in purified format.
We are in the process of updating our datasheets. If you have any questions regarding this update, please feel free to contact our technical support team.
This product is a high quality Serum amyloid Antibodies P-Component (N-term).
|
||
Molecular Weight |
25387 Da
|
||
Cellular Localization |
Antigen Cellular Localization:
Secreted.
|
||
Host |
Rabbit
|
||
Species Reactivity |
Human
|
||
Target |
A synthetic peptide corresponding to residues near the N-term of human SAP was used as an immunogen.
|
||
Clone |
EP1018Y
|
||
Symbol |
PTX2
|
||
GeneID |
|||
UniProt ID |
|||
Function |
Can interact with DNA and histones and may scavenge nuclear material released from damaged circulating cells. May also function as a calcium-dependent lectin.
|
||
Summary |
Serum Amyloid P (SAP) is a non-fibrillar plasma glycoprotein that belongs to the pentraxin family. It is universally found in amyloid deposits and this is probably due to its specific calcium-dependent binding to motifs present on all types of amyloid fibrils. SAP is also found to prevent fibrillar breakdown by enzymes and it is believed that it helps maintains stability of the amyloid deposits (1,2). It has been shown that SAP binds monocytes with high avidity, but does not bind to erythrocytes, NK cells, T lymphocytes or B lymphocytes (3). SAP production can be induced by exposure to IL-1, IL-6 and IFN-beta. The SAP-inducing activity was neutralized by antibodies to each of the recombinant cytokines (4).
|
||
Form |
50 mM Tris-Glycine (pH 7.4), 0.15 M NaCl, 40% Glycerol, 0.01% sodium azide and 0.05% BSA. |
||
Storage & Stability |
Store at +4°C short term. For long-term storage, aliquot and store at -20°C or below. Stable for 12 months at -20°C. Avoid repeated freeze-thaw cycles.
|
||
Applications |
WB, IHC
|
||
Dilution |
WB~~1:10000~50000
IHC~~1:100~250
|
||
Synonyms |
Serum amyloid P-component, SAP, 95S alpha-1-glycoprotein, Serum amyloid P-component(1-203), APCS, PTX2
|
||
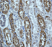
Images |
A. Western blot analysis on human serum membrane using anti-SAP RabMAb (Cat. APR13293G), dilution 1:1,000,000.
B. Immunohistochemical staining of paraffin-embedded human kidney using anti-SAP RabMAb (Cat. APR13293G). |
||
Specification |
|||
Quantity |
|
||
| Select | Brand | Catalog No. | Product Name | Pack Size | Type | Field of Research | Specification | Quantity | Price(USD) | |
| 1 | Leading Biology | APG02467G | CCK4 / PTK7 Antibody (clone 4F9) | 50 μl | Monoclonal Antibodies |
|
$495.00 | Add Ask | ||
| 2 | Leading Biology | AMM04683G | GALT Antibody (clone 4C11) | 50 μg | Monoclonal Antibodies |
|
$545.00 | Add Ask | ||
| 3 | Leading Biology | AMM01402G | Vimentin (Mesenchymal Cell Marker) Antibody - With BSA and Azide | 50 ug | Monoclonal Antibodies |
|
$395.00 | Add Ask | ||
| 4 | Leading Biology | APR08280G | LTA4H / LTA4 Antibody (clone 9G8) | 50 μl | Monoclonal Antibodies |
|
$495.00 | Add Ask | ||
| 5 | Leading Biology | AMM00172G | CD1a / HTA1 (Mature Langerhans Cells Marker) Antibody - With BSA and Azide | 50 ug | Monoclonal Antibodies |
|
$395.00 | Add Ask | ||
| 6 | Leading Biology | AMM05750G | CEBPA Antibody | 100 μl | Monoclonal Antibodies |
|
$545.00 | Add Ask |
Leading Biology Inc.
2600 Hilltop DR, Building G, B Suite C138
Richmond, CA, 94806
Tel: 1-661-524(LBI)-0262
Email: info@leadingbiology.com
Complete this form and click send to ask us a question, request a quote or simply say hello.

You have 0 item in your cart

You have 0 item in your inquiry list