> Antigen, Antibodies, ELISA, Western Blot > Primary Antibody > Monoclonal Antibodies > RSK3 AntibodyBrand |
Leading Biology | Catalog Number |
AMM07684G |
Product Type |
Monoclonal Antibodies | Field of Research |
|
Product Overview |
We constantly strive to ensure we provide our customers with the best antibodies. As a result of this work we offer this antibody in purified format.
We are in the process of updating our datasheets. If you have any questions regarding this update, please feel free to contact our technical support team.
This product is a high quality RSK3 antibody.
|
||
Molecular Weight |
83239 Da
|
||
Cellular Localization |
Antigen Cellular Localization:
Nucleus. Cytoplasm
|
||
Host |
Rabbit
|
||
Species Reactivity |
Human, Mouse, Rat
|
||
Target |
A synthetic peptide corresponding to residues surrounding threonine 353 and threonine 356 of human RSK3 was used as an immunogen.
|
||
Clone |
E202
|
||
Symbol |
MAPKAPK1C, RSK3
|
||
GeneID |
|||
UniProt ID |
|||
Function |
Serine/threonine-protein kinase that acts downstream of ERK (MAPK1/ERK2 and MAPK3/ERK1) signaling and mediates mitogenic and stress-induced activation of transcription factors, regulates translation, and mediates cellular proliferation, survival, and differentiation. May function as tumor suppressor in epithelial ovarian cancer cells.
|
||
Summary |
Rsk-3 is a member of a family of 90-kDa ribosomal protein S6 kinases, which includes Rsk-1, Rsk-2 and Rsk-3. These are broadly expressed serine/threonine protein kinases (1) that are activated in response to mitogenic stimuli, including extracellular signal-regulated protein kinases Erk1 and Erk2 (2). Rsk-3 is a distinct isoform of p90Rsk that translocates to the cell nucleus, phosphorylates potential nuclear targets, and may have a unique upstream activator (3). Several sites, such as Ser380, Thr359, Ser363 and Thr573, are important for its activation. Active Rsks appear to play a major role in transcriptional regulation by translocating to the nucleus and phosphorylating c-Fos and CREB (2,4).
|
||
Form |
50 mM Tris-Glycine (pH 7.4), 0.15 M NaCl, 40% Glycerol, 0.01% sodium azide and 0.05% BSA. |
||
Storage & Stability |
Store at +4°C short term. For long-term storage, aliquot and store at -20°C or below. Stable for 12 months at -20°C. Avoid repeated freeze-thaw cycles.
|
||
Applications |
IHC, WB
|
||
Dilution |
IHC~~1:50~1:100
WB~~1:1000~10000
|
||
Synonyms |
Ribosomal protein S6 kinase alpha-2, S6K-alpha-2, 90 kDa ribosomal protein S6 kinase 2, p90-RSK 2, p90RSK2, MAP kinase-activated protein kinase 1c, MAPK-activated protein kinase 1c, MAPKAP kinase 1c, MAPKAPK-1c, Ribosomal S6 kinase 3, RSK-3, pp90RSK3, RPS6KA2, MAPKAPK1C, RSK3
|
||
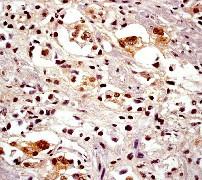
Images |
Immunohistochemical analysis of paraffin-embedded human prostate carcinoma using anti-Rsk3 RabMAb (Cat. AMM07684G).
Western blot analysis on HeLa cell lysate using anti-RSK3 RabMAb (Cat. AMM07684G). |
||
Specification |
|||
Quantity |
|
||
| Select | Brand | Catalog No. | Product Name | Pack Size | Type | Field of Research | Specification | Quantity | Price(USD) | |
| 1 | Leading Biology | APG02467G | CCK4 / PTK7 Antibody (clone 4F9) | 50 μl | Monoclonal Antibodies |
|
$495.00 | Add Ask | ||
| 2 | Leading Biology | AMM04683G | GALT Antibody (clone 4C11) | 50 μg | Monoclonal Antibodies |
|
$545.00 | Add Ask | ||
| 3 | Leading Biology | AMM01402G | Vimentin (Mesenchymal Cell Marker) Antibody - With BSA and Azide | 50 ug | Monoclonal Antibodies |
|
$395.00 | Add Ask | ||
| 4 | Leading Biology | APR08280G | LTA4H / LTA4 Antibody (clone 9G8) | 50 μl | Monoclonal Antibodies |
|
$495.00 | Add Ask | ||
| 5 | Leading Biology | AMM00172G | CD1a / HTA1 (Mature Langerhans Cells Marker) Antibody - With BSA and Azide | 50 ug | Monoclonal Antibodies |
|
$395.00 | Add Ask | ||
| 6 | Leading Biology | AMM05750G | CEBPA Antibody | 100 μl | Monoclonal Antibodies |
|
$545.00 | Add Ask |
Leading Biology Inc.
2600 Hilltop DR, Building G, B Suite C138
Richmond, CA, 94806
Tel: 1-661-524(LBI)-0262
Email: info@leadingbiology.com
Complete this form and click send to ask us a question, request a quote or simply say hello.

You have 0 item in your cart

You have 0 item in your inquiry list