> Antigen, Antibodies, ELISA, Western Blot > Primary Antibody > Monoclonal Antibodies > ROR2 AntibodyBrand |
Leading Biology | Catalog Number |
AMM07636G |
Product Type |
Monoclonal Antibodies | Field of Research |
|
Product Overview |
We constantly strive to ensure we provide our customers with the best antibodies. As a result of this work we offer this antibody in purified format.
We are in the process of updating our datasheets. If you have any questions regarding this update, please feel free to contact our technical support team.
This product is a high quality ROR2 antibody.
|
||
Molecular Weight |
104757 Da
|
||
Cellular Localization |
Antigen Cellular Localization:
Cell membrane; Single-pass type I membrane protein
|
||
Host |
Rabbit
|
||
Species Reactivity |
Human
|
||
Target |
A synthetic peptide corresponding to residues of human ROR2 was used as an immunogen.
|
||
Clone |
EPR3779
|
||
Symbol |
NTRKR2
|
||
GeneID |
|||
UniProt ID |
|||
Function |
Tyrosine-protein kinase receptor which may be involved in the early formation of the chondrocytes. It seems to be required for cartilage and growth plate development. Phosphorylates YWHAB, leading to induction of osteogenesis and bone formation.
|
||
Summary |
ROR2 (receptor tyrosine kinase-like orphan receptor 2) is a tyrosine protein kinase receptor which is required for cartilage and growth plate development. As a member of the receptor protein kinases (RTKs) family, ROR2 is commonly found in embryonic kidney, but its function has not been fully understood. ROR2 has been linked to embryonic development due its involvement in WNT signaling pathway. Additionally, ROR2 has been shown to be critical for the formation of skeleton, heart, and genitals. Specifically, ROR2 phosphorylates 14-3-3 protein beta/alpha which leads to induction of osterogenesis and bone formation (2). A mutation in ROR2 is commonly seen in Robinow syndrome and autosomal dominant brachydactyly B disorders (3).
|
||
Form |
50 mM Tris-Glycine (pH 7.4), 0.15 M NaCl, 40% Glycerol, 0.01% sodium azide and 0.05% BSA. |
||
Storage & Stability |
Store at +4°C short term. For long-term storage, aliquot and store at -20°C or below. Stable for 12 months at -20°C. Avoid repeated freeze-thaw cycles.
|
||
Applications |
WB, FC
|
||
Dilution |
WB~~1:500
FC~~1:10~100
|
||
Synonyms |
Tyrosine-protein kinase transmembrane receptor ROR2, Neurotrophic tyrosine kinase, receptor-related 2, ROR2, NTRKR2
|
||
Images |
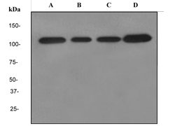
Western blot analysis on A) HeLa, B) MCF-7, C) SH-SY5Y, and D) Saos-2 cell lysates using anti-ROR2 RabMAb (Cat. AMM07636G).
Flow cytometric analysis of Hela cells using anti- ROR2 RabMAb (red) (Cat. AMM07636G) or a rabbit IgG (negative) (green). |
||
Specification |
|||
Quantity |
|
||
| Select | Brand | Catalog No. | Product Name | Pack Size | Type | Field of Research | Specification | Quantity | Price(USD) | |
| 1 | Leading Biology | APG02467G | CCK4 / PTK7 Antibody (clone 4F9) | 50 μl | Monoclonal Antibodies |
|
$495.00 | Add Ask | ||
| 2 | Leading Biology | AMM04683G | GALT Antibody (clone 4C11) | 50 μg | Monoclonal Antibodies |
|
$545.00 | Add Ask | ||
| 3 | Leading Biology | AMM01402G | Vimentin (Mesenchymal Cell Marker) Antibody - With BSA and Azide | 50 ug | Monoclonal Antibodies |
|
$395.00 | Add Ask | ||
| 4 | Leading Biology | APR08280G | LTA4H / LTA4 Antibody (clone 9G8) | 50 μl | Monoclonal Antibodies |
|
$495.00 | Add Ask | ||
| 5 | Leading Biology | AMM00172G | CD1a / HTA1 (Mature Langerhans Cells Marker) Antibody - With BSA and Azide | 50 ug | Monoclonal Antibodies |
|
$395.00 | Add Ask | ||
| 6 | Leading Biology | AMM05750G | CEBPA Antibody | 100 μl | Monoclonal Antibodies |
|
$545.00 | Add Ask |
Leading Biology Inc.
2600 Hilltop DR, Building G, B Suite C138
Richmond, CA, 94806
Tel: 1-661-524(LBI)-0262
Email: info@leadingbiology.com
Complete this form and click send to ask us a question, request a quote or simply say hello.

You have 0 item in your cart

You have 0 item in your inquiry list