> Antigen, Antibodies, ELISA, Western Blot > Primary Antibody > Monoclonal Antibodies > Radixin AntibodyBrand |
Leading Biology | Catalog Number |
AMM07508G |
Product Type |
Monoclonal Antibodies | Field of Research |
|
Product Overview |
We constantly strive to ensure we provide our customers with the best antibodies. As a result of this work we offer this antibody in purified format.
We are in the process of updating our datasheets. If you have any questions regarding this update, please feel free to contact our technical support team.
This product is a high quality Radixin antibody.
|
||
Molecular Weight |
68564 Da
|
||
Cellular Localization |
Antigen Cellular Localization:
Cell membrane; Peripheral membrane protein; Cytoplasmic side. Cytoplasm, cytoskeleton. Cleavage furrow Note=Highly concentrated in the undercoat of the cell-to-cell adherens junction and the cleavage furrow in the interphase and mitotic phase, respectively
|
||
Host |
Rabbit
|
||
Species Reactivity |
Human, Mouse, Rat
|
||
Target |
A synthetic peptide corresponding to residues near the N-terminus of human Radixin was used as an immunogen.
|
||
Clone |
EP1862Y
|
||
GeneID |
|||
UniProt ID |
|||
Function |
Probably plays a crucial role in the binding of the barbed end of actin filaments to the plasma membrane.
|
||
Summary |
Radixin is a cytoskeletal protein that may be important in linking actin to the plasma membrane. Recent cloning of the murine and porcine radixin cDNAs revealed a protein highly homologous to ezrin and moesin (1). The ezrin-radixin-moesin (ERM) family of proteins crosslink actin filaments and integral membrane proteins. Radixin (encoded by Rdx) is the dominant ERM protein in the liver of wildtype mice and is concentrated at bile canalicular membranes (BCMs). Findings indicate that radixin is required for secretion of conjugated bilirubin through its support of Mrp2 localization at BCMs (2). Proteins of the ezrin-radixin-moesin family are ubiquitous constituents of the submembrane cortex, especially in epithelial cells. Radixin is thus a prominent constituent of stereocilia, where it may participate in anchoring the pointed ends of actin filaments to the membrane (3).
|
||
Form |
50 mM Tris-Glycine (pH 7.4), 0.15 M NaCl, 40% Glycerol, 0.01% sodium azide and 0.05% BSA. |
||
Storage & Stability |
Store at +4°C short term. For long-term storage, aliquot and store at -20°C or below. Stable for 12 months at -20°C. Avoid repeated freeze-thaw cycles.
|
||
Applications |
WB, IHC
|
||
Dilution |
WB~~1:1000~5000
IHC~~1:100~250
|
||
Synonyms |
Radixin, RDX
|
||
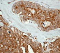
Images |
A. Western blot analysis on HeLa cell lysate using anti-Radixin RabMAb (Cat. AMM07508G), dilution 1:20,000.
B. Immunohistochemical staining of paraffin-embedded human ovarian carcinoma using anti-Radixin RabMAb (Cat. AMM07508G). |
||
Specification |
|||
Quantity |
|
||
| Select | Brand | Catalog No. | Product Name | Pack Size | Type | Field of Research | Specification | Quantity | Price(USD) | |
| 1 | Leading Biology | APG02467G | CCK4 / PTK7 Antibody (clone 4F9) | 50 μl | Monoclonal Antibodies |
|
$495.00 | Add Ask | ||
| 2 | Leading Biology | AMM04683G | GALT Antibody (clone 4C11) | 50 μg | Monoclonal Antibodies |
|
$545.00 | Add Ask | ||
| 3 | Leading Biology | AMM01402G | Vimentin (Mesenchymal Cell Marker) Antibody - With BSA and Azide | 50 ug | Monoclonal Antibodies |
|
$395.00 | Add Ask | ||
| 4 | Leading Biology | APR08280G | LTA4H / LTA4 Antibody (clone 9G8) | 50 μl | Monoclonal Antibodies |
|
$495.00 | Add Ask | ||
| 5 | Leading Biology | AMM00172G | CD1a / HTA1 (Mature Langerhans Cells Marker) Antibody - With BSA and Azide | 50 ug | Monoclonal Antibodies |
|
$395.00 | Add Ask | ||
| 6 | Leading Biology | AMM05750G | CEBPA Antibody | 100 μl | Monoclonal Antibodies |
|
$545.00 | Add Ask |
Leading Biology Inc.
2600 Hilltop DR, Building G, B Suite C138
Richmond, CA, 94806
Tel: 1-661-524(LBI)-0262
Email: info@leadingbiology.com
Complete this form and click send to ask us a question, request a quote or simply say hello.

You have 0 item in your cart

You have 0 item in your inquiry list