> Antigen, Antibodies, ELISA, Western Blot > Primary Antibody > Monoclonal Antibodies > PUMA Antibody (C-term)Brand |
Leading Biology | Catalog Number |
APR07167G |
Product Type |
Monoclonal Antibodies | Field of Research |
|
Product Overview |
We constantly strive to ensure we provide our customers with the best antibodies. As a result of this work we offer this antibody in purified format.
We are in the process of updating our datasheets. If you have any questions regarding this update, please feel free to contact our technical support team.
This product is a high quality PUMA antibody (C-term).
|
||
Molecular Weight |
20532 Da
|
||
Cellular Localization |
Antigen Cellular Localization:
Mitochondrion Note=Localized to the mitochondria in order to induce cytochrome c release
|
||
Host |
Rabbit
|
||
Species Reactivity |
Human
|
||
Target |
A synthetic peptide corresponding to residues in the C-term of human PUMA was used as immunogen. This antibody is predicted to detect both isoforms based on sequence analysis. The isoform B is ~18 kDa and isoform A is ~ 24kDa. Isoform B is primarily recognized on the western blot gel.
|
||
Clone |
EP512Y
|
||
Symbol |
PUMA
|
||
GeneID |
|||
UniProt ID |
|||
Function |
Essential mediator of p53/TP53-dependent and p53/TP53- independent apoptosis. Functions by promoting partial unfolding of BCL2L1 and dissociation of BCL2L1 from p53/TP53. Regulates ER stress-induced neuronal apoptosis.
|
||
Summary |
PUMA, (p53 upregulated modulator of apoptosis), is activated by p53 in cells undergoing p53-induced apoptosis (1-2). Localized in the mitochondria PUMA induces cytochrome c release and activates the rapid induction of programmed cell death. PUMA interacts with Bcl2 (3), Bcl-XL, Bcl2-like-1 protein and promotes mitochondrial translocation and multimerization of BAX. PUMA also plays a role in mediating p53-induced cell death through the cytochrome c/APAF1-dependent pathway (2). Two isoform of PUMA are known; PUMA-alpha and PUMA-beta.
|
||
Form |
50 mM Tris-Glycine (pH 7.4), 0.15 M NaCl, 40% Glycerol, 0.01% sodium azide and 0.05% BSA. |
||
Storage & Stability |
Store at +4°C short term. For long-term storage, aliquot and store at -20°C or below. Stable for 12 months at -20°C. Avoid repeated freeze-thaw cycles.
|
||
Applications |
WB, IHC, IF
|
||
Dilution |
WB~~1:1000~5000
IHC~~1:100~250
|
||
Synonyms |
Bcl-2-binding component 3, JFY-1, p53 up-regulated modulator of apoptosis, BBC3, PUMA
|
||
Images |
A. Western blot analysis on K562 cell lysate using anti-PUMA (C-term) RabMAb (Cat. APR07167G), dilution 1:5,000.
B. Immunofluorescent staining of HeLa cells using anti-PUMA (C-term) RabMAb (Cat. APR07167G).
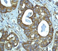
C. Immunohistochemical analysis of paraffin-embedded human ovary carcinoma using anti-PUMA (C-term) RabMAb (Cat. APR07167G). |
||
Specification |
|||
Quantity |
|
||
| Select | Brand | Catalog No. | Product Name | Pack Size | Type | Field of Research | Specification | Quantity | Price(USD) | |
| 1 | Leading Biology | APG02467G | CCK4 / PTK7 Antibody (clone 4F9) | 50 μl | Monoclonal Antibodies |
|
$495.00 | Add Ask | ||
| 2 | Leading Biology | AMM04683G | GALT Antibody (clone 4C11) | 50 μg | Monoclonal Antibodies |
|
$545.00 | Add Ask | ||
| 3 | Leading Biology | AMM01402G | Vimentin (Mesenchymal Cell Marker) Antibody - With BSA and Azide | 50 ug | Monoclonal Antibodies |
|
$395.00 | Add Ask | ||
| 4 | Leading Biology | APR08280G | LTA4H / LTA4 Antibody (clone 9G8) | 50 μl | Monoclonal Antibodies |
|
$495.00 | Add Ask | ||
| 5 | Leading Biology | AMM00172G | CD1a / HTA1 (Mature Langerhans Cells Marker) Antibody - With BSA and Azide | 50 ug | Monoclonal Antibodies |
|
$395.00 | Add Ask | ||
| 6 | Leading Biology | AMM05750G | CEBPA Antibody | 100 μl | Monoclonal Antibodies |
|
$545.00 | Add Ask |
Leading Biology Inc.
2600 Hilltop DR, Building G, B Suite C138
Richmond, CA, 94806
Tel: 1-661-524(LBI)-0262
Email: info@leadingbiology.com
Complete this form and click send to ask us a question, request a quote or simply say hello.

You have 0 item in your cart

You have 0 item in your inquiry list