> Antigen, Antibodies, ELISA, Western Blot > Primary Antibody > Monoclonal Antibodies > PTP1B Antibody Phospho (pS378)Brand |
Leading Biology | Catalog Number |
AMR09650G |
Product Type |
Monoclonal Antibodies | Field of Research |
|
Product Overview |
We constantly strive to ensure we provide our customers with the best antibodies. As a result of this work we offer this antibody in purified format.
We are in the process of updating our datasheets. If you have any questions regarding this update, please feel free to contact our technical support team.
This product is a high quality PTP1B antibody Phospho (pS378).
|
||
Molecular Weight |
49967 Da
|
||
Cellular Localization |
Antigen Cellular Localization:
Endoplasmic reticulum membrane; Peripheral membrane protein; Cytoplasmic side Note=Interacts with EPHA3 at the cell membrane
|
||
Host |
Rabbit
|
||
Species Reactivity |
Human
|
||
Target |
A phospho-specific peptide corresponding to residues surrounding serine 378 of human PTP1B was used as an immunogen. This antibody detects PTP1B phosphorylated on serine 378.
|
||
Clone |
EP1840Y
|
||
Symbol |
PTP1B
|
||
GeneID |
|||
UniProt ID |
|||
Function |
Tyrosine-protein phosphatase which acts as a regulator of endoplasmic reticulum unfolded protein response. Mediates dephosphorylation of EIF2AK3/PERK; inactivating the protein kinase activity of EIF2AK3/PERK. May play an important role in CKII- and p60c-src-induced signal transduction cascades. May regulate the EFNA5-EPHA3 signaling pathway which modulates cell reorganization and cell-cell repulsion. May also regulate the hepatocyte growth factor receptor signaling pathway through dephosphorylation of MET.
|
||
Summary |
The non-transmembrane protein tyrosine phosphatase, PTP1B, comprises 435 amino acids, of which the C-terminal 114 residues have been implicated in controlling both localization and function of this enzyme. Increased phosphorylation of PTP1B is seen to accompany the transition from G2 to M phase of the cell cycle. Immunofluorescence experiments indicate that PTP-1B is localized predominantly in the endoplasmic reticulum (ER). Subcellular fractionation is consistent with this localization and establishes that PTP-1B is tightly associated with microsomal membranes, with its phosphatase domain oriented towards the cytoplasm. The finding of a tyrosine phosphatase on the ER suggests new possibilities for cellular events controlled by tyrosine phosphorylation (2). The site, identified as Ser378, is also the site of phosphorylation by protein kinase C (PKC) in vitro. Thus the TPA-stimulated phosphorylation of PTP1B in vivo appears to result directly from phosphorylation by PKC (1).
|
||
Form |
50 mM Tris-Glycine (pH 7.4), 0.15 M NaCl, 40% Glycerol, 0.01% sodium azide and 0.05% BSA. |
||
Storage & Stability |
Store at +4°C short term. For long-term storage, aliquot and store at -20°C or below. Stable for 12 months at -20°C. Avoid repeated freeze-thaw cycles.
|
||
Applications |
WB, IHC
|
||
Dilution |
WB~~1:10000~50000
IHC~~1:50~100
|
||
Synonyms |
Tyrosine-protein phosphatase non-receptor type 1, Protein-tyrosine phosphatase 1B, PTP-1B, PTPN1, PTP1B
|
||
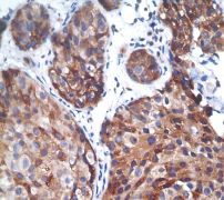
Images |
A. Western blot analysis on HeLa cell lysates using anti-Phospho-PTP1B (pS378) RabMAb (Cat. AMR09650G). Cells were either (A) untreated (B) treated with calyculin A.
B. Immunohistochemical analysis of paraffin-embedded human breast carcinoma using Phospho-specific anti-PTP1B RabMAb (Cat. AMR09650G). |
||
Specification |
|||
Quantity |
|
||
| Select | Brand | Catalog No. | Product Name | Pack Size | Type | Field of Research | Specification | Quantity | Price(USD) | |
| 1 | Leading Biology | APG02467G | CCK4 / PTK7 Antibody (clone 4F9) | 50 μl | Monoclonal Antibodies |
|
$495.00 | Add Ask | ||
| 2 | Leading Biology | AMM04683G | GALT Antibody (clone 4C11) | 50 μg | Monoclonal Antibodies |
|
$545.00 | Add Ask | ||
| 3 | Leading Biology | AMM01402G | Vimentin (Mesenchymal Cell Marker) Antibody - With BSA and Azide | 50 ug | Monoclonal Antibodies |
|
$395.00 | Add Ask | ||
| 4 | Leading Biology | APR08280G | LTA4H / LTA4 Antibody (clone 9G8) | 50 μl | Monoclonal Antibodies |
|
$495.00 | Add Ask | ||
| 5 | Leading Biology | AMM00172G | CD1a / HTA1 (Mature Langerhans Cells Marker) Antibody - With BSA and Azide | 50 ug | Monoclonal Antibodies |
|
$395.00 | Add Ask | ||
| 6 | Leading Biology | AMM05750G | CEBPA Antibody | 100 μl | Monoclonal Antibodies |
|
$545.00 | Add Ask |
Leading Biology Inc.
2600 Hilltop DR, Building G, B Suite C138
Richmond, CA, 94806
Tel: 1-661-524(LBI)-0262
Email: info@leadingbiology.com
Complete this form and click send to ask us a question, request a quote or simply say hello.

You have 0 item in your cart

You have 0 item in your inquiry list