> Antigen, Antibodies, ELISA, Western Blot > Primary Antibody > Monoclonal Antibodies > PTEN Antibody Phospho (pT366/pS370)Brand |
Leading Biology | Catalog Number |
AMR09610G |
Product Type |
Monoclonal Antibodies | Field of Research |
|
Product Overview |
We constantly strive to ensure we provide our customers with the best antibodies. As a result of this work we offer this antibody in purified format.
We are in the process of updating our datasheets. If you have any questions regarding this update, please feel free to contact our technical support team.
This product is a high quality PTEN antibody Phospho (pT366/pS370).
|
||
Molecular Weight |
47166 Da
|
||
Cellular Localization |
Antigen Cellular Localization:
Cytoplasm. Nucleus. Nucleus, PML body. Note=Monoubiquitinated form is nuclear. Nonubiquitinated form is cytoplasmic. Colocalized with PML and USP7 in PML nuclear bodies XIAP/BIRC4 promotes its nuclear localization
|
||
Host |
Rabbit
|
||
Species Reactivity |
Human
|
||
Target |
A phospho-specific peptide corresponding to residues surrounding Threonine 366 and Serine 370 of human PTEN was used as an immunogen. The antibody only detects PTEN phosphorylated on T366 or S370.
|
||
Clone |
EP229
|
||
Symbol |
MMAC1, TEP1
|
||
GeneID |
|||
UniProt ID |
|||
Function |
Tumor suppressor. Acts as a dual-specificity protein phosphatase, dephosphorylating tyrosine-, serine- and threonine- phosphorylated proteins. Also acts as a lipid phosphatase, removing the phosphate in the D3 position of the inositol ring from phosphatidylinositol 3,4,5-trisphosphate, phosphatidylinositol 3,4-diphosphate, phosphatidylinositol 3- phosphate and inositol 1,3,4,5-tetrakisphosphate with order of substrate preference in vitro PtdIns(3,4,5)P3 > PtdIns(3,4)P2 > PtdIns3P > Ins(1,3,4,5)P4. The lipid phosphatase activity is critical for its tumor suppressor function. Antagonizes the PI3K- AKT/PKB signaling pathway by dephosphorylating phosphoinositides and thereby modulating cell cycle progression and cell survival. The unphosphorylated form cooperates with AIP1 to suppress AKT1 activation. Dephosphorylates tyrosine-phosphorylated focal adhesion kinase and inhibits cell migration and integrin-mediated cell spreading and focal adhesion formation. Plays a role as a key modulator of the AKT-mTOR signaling pathway controlling the tempo of the process of newborn neurons integration during adult neurogenesis, including correct neuron positioning, dendritic development and synapse formation. May be a negative regulator of insulin signaling and glucose metabolism in adipose tissue. The nuclear monoubiquitinated form possesses greater apoptotic potential, whereas the cytoplasmic nonubiquitinated form induces less tumor suppressive ability. In motile cells, suppresses the formation of lateral pseudopods and thereby promotes cell polarization and directed movement.
|
||
Summary |
PTEN is a protein tyrosine phosphatase that acts as a tumor suppressor, as a lipid phosphatase that dephosphorylates the D3 position of phosphatidylinositol 3,4,5-trisphosphate and as an antagonist of the PI3k/AKT signaling pathway (1-3). PTEN structural domains includes an N-terminal phosphatase domain, a lipid binding C2 domain and a 50-amino acid C-terminal tail that contains a PDZ biding sequence. Phosphorylation of the tail suppresses the activity of PTEN by controlling its recruitment into the PTEN-associated complex (4). PTEN is phosphorylated in vitro on Threonine 366 and Serine 370 by glycogen synthase kindase 3 (GSK3) and casein kinase 2 (CK2) respectively. Prior phosphorylation of PTEN at Serine 370 by CK2 strongly increased its phosphorylation at Threonine 366 by GSK3, suggesting that the two may synergize. Generally, phosphorylation in the C-terminal tail of PTEN is thought to enhance stability and to decrease membrane localization and activity. However, phosphorylation at Threonine 366 is linked to destabilization of PTEN (5).
|
||
Form |
50 mM Tris-Glycine (pH 7.4), 0.15 M NaCl, 40% Glycerol, 0.01% sodium azide and 0.05% BSA. |
||
Storage & Stability |
Store at +4°C short term. For long-term storage, aliquot and store at -20°C or below. Stable for 12 months at -20°C. Avoid repeated freeze-thaw cycles.
|
||
Applications |
IHC, WB
|
||
Dilution |
IHC~~1:100~250
WB~~1:1000~5000
|
||
Synonyms |
Phosphatidylinositol 3, 5-trisphosphate 3-phosphatase and dual-specificity protein phosphatase PTEN, Mutated in multiple advanced cancers 1, Phosphatase and tensin homolog, PTEN, MMAC1, TEP1
|
||
Images |
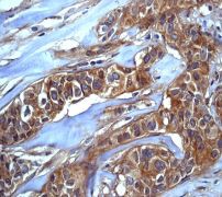
B. Immunohistochemical analysis of paraffin-embedded human breast ductal carcinoma using anti-Phospho-PTEN RabMAb (Cat. AMR09610G).
A. Western blot analysis on HeLa cell lysates using anti-Phospho-PTEN (pT366/S370) RabMAb (Cat. AMR09610G). Cells were either (A) untreated (B) treated with Calyculin A |
||
Specification |
|||
Quantity |
|
||
| Select | Brand | Catalog No. | Product Name | Pack Size | Type | Field of Research | Specification | Quantity | Price(USD) | |
| 1 | Leading Biology | APG02467G | CCK4 / PTK7 Antibody (clone 4F9) | 50 μl | Monoclonal Antibodies |
|
$495.00 | Add Ask | ||
| 2 | Leading Biology | AMM04683G | GALT Antibody (clone 4C11) | 50 μg | Monoclonal Antibodies |
|
$545.00 | Add Ask | ||
| 3 | Leading Biology | AMM01402G | Vimentin (Mesenchymal Cell Marker) Antibody - With BSA and Azide | 50 ug | Monoclonal Antibodies |
|
$395.00 | Add Ask | ||
| 4 | Leading Biology | APR08280G | LTA4H / LTA4 Antibody (clone 9G8) | 50 μl | Monoclonal Antibodies |
|
$495.00 | Add Ask | ||
| 5 | Leading Biology | AMM00172G | CD1a / HTA1 (Mature Langerhans Cells Marker) Antibody - With BSA and Azide | 50 ug | Monoclonal Antibodies |
|
$395.00 | Add Ask | ||
| 6 | Leading Biology | AMM05750G | CEBPA Antibody | 100 μl | Monoclonal Antibodies |
|
$545.00 | Add Ask |
Leading Biology Inc.
2600 Hilltop DR, Building G, B Suite C138
Richmond, CA, 94806
Tel: 1-661-524(LBI)-0262
Email: info@leadingbiology.com
Complete this form and click send to ask us a question, request a quote or simply say hello.

You have 0 item in your cart

You have 0 item in your inquiry list