> Antigen, Antibodies, ELISA, Western Blot > Primary Antibody > Monoclonal Antibodies > Prohibitin Antibody (C-term)Brand |
Leading Biology | Catalog Number |
AMR09556G |
Product Type |
Monoclonal Antibodies | Field of Research |
|
Product Overview |
We constantly strive to ensure we provide our customers with the best antibodies. As a result of this work we offer this antibody in purified format.
We are in the process of updating our datasheets. If you have any questions regarding this update, please feel free to contact our technical support team.
This product is a high quality Prohibitin antibody (C-term).
|
||
Molecular Weight |
29804 Da
|
||
Cellular Localization |
Antigen Cellular Localization:
Mitochondrion inner membrane.
|
||
Host |
Rabbit
|
||
Species Reactivity |
Human, Mouse, Rat
|
||
Target |
A synthetic peptide corresponding to residues in human prohibitin was used as an immunogen.
|
||
Clone |
EP2804Y
|
||
GeneID |
|||
UniProt ID |
|||
Function |
Prohibitin inhibits DNA synthesis. It has a role in regulating proliferation. As yet it is unclear if the protein or the mRNA exhibits this effect. May play a role in regulating mitochondrial respiration activity and in aging.
|
||
Summary |
Prohibitin (PHB) proteins have been ascribed various functions, including cell cycle regulation, apoptosis, assembly of mitochondrial respiratory chain enzymes, and aging. It has been shown that the mammalian prohibitins are present in the inner mitochondrial membrane and are always bound to each other, with no free protein detectable. They are coexpressed during development and in adult mammalian tissues, and expression levels are indicative of a role in mitochondrial metabolism, but are not compatible with roles in the regulation of cellular proliferation or apoptosis. Data support conserved roles for the prohibitins in regulating mitochondrial respiratory activity and in aging (1). Results suggest that prohibitin may be a tumor suppressor and is associated with tumor development and/or progression of at least some breast cancers (2).
|
||
Form |
50 mM Tris-Glycine (pH 7.4), 0.15 M NaCl, 40% Glycerol, 0.01% sodium azide and 0.05% BSA. |
||
Storage & Stability |
Store at +4°C short term. For long-term storage, aliquot and store at -20°C or below. Stable for 12 months at -20°C. Avoid repeated freeze-thaw cycles.
|
||
Applications |
WB, IHC, IF
|
||
Dilution |
WB~~1:1000~2000
IHC~~1:100~250
|
||
Synonyms |
Prohibitin, PHB
|
||
Images |
A. Western blot analysis on (A) MCF-7, (B) PC-12 (C) A431 and (D) Ramos cell lysate using anti-prohibitin RabMAb (Cat. AMR09556G), dilution 1:1000.
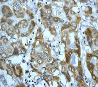
B. Immunohistochemical analysis of paraffin-embedded human hepatocellular carcinoma using anti-Prohibitin.
C. Immunofluorescent staining of HeLa cell using anti-Prohibitin RabMAb (Cat. AMR09556G). |
||
Specification |
|||
Quantity |
|
||
| Select | Brand | Catalog No. | Product Name | Pack Size | Type | Field of Research | Specification | Quantity | Price(USD) | |
| 1 | Leading Biology | APG02467G | CCK4 / PTK7 Antibody (clone 4F9) | 50 μl | Monoclonal Antibodies |
|
$495.00 | Add Ask | ||
| 2 | Leading Biology | AMM04683G | GALT Antibody (clone 4C11) | 50 μg | Monoclonal Antibodies |
|
$545.00 | Add Ask | ||
| 3 | Leading Biology | AMM01402G | Vimentin (Mesenchymal Cell Marker) Antibody - With BSA and Azide | 50 ug | Monoclonal Antibodies |
|
$395.00 | Add Ask | ||
| 4 | Leading Biology | APR08280G | LTA4H / LTA4 Antibody (clone 9G8) | 50 μl | Monoclonal Antibodies |
|
$495.00 | Add Ask | ||
| 5 | Leading Biology | AMM00172G | CD1a / HTA1 (Mature Langerhans Cells Marker) Antibody - With BSA and Azide | 50 ug | Monoclonal Antibodies |
|
$395.00 | Add Ask | ||
| 6 | Leading Biology | AMM05750G | CEBPA Antibody | 100 μl | Monoclonal Antibodies |
|
$545.00 | Add Ask |
Leading Biology Inc.
2600 Hilltop DR, Building G, B Suite C138
Richmond, CA, 94806
Tel: 1-661-524(LBI)-0262
Email: info@leadingbiology.com
Complete this form and click send to ask us a question, request a quote or simply say hello.

You have 0 item in your cart

You have 0 item in your inquiry list