> Antigen, Antibodies, ELISA, Western Blot > Primary Antibody > Monoclonal Antibodies > PON-1 AntibodyBrand |
Leading Biology | Catalog Number |
AMR09435G |
Product Type |
Monoclonal Antibodies | Field of Research |
|
Product Overview |
We constantly strive to ensure we provide our customers with the best antibodies. As a result of this work we offer this antibody in purified format.
We are in the process of updating our datasheets. If you have any questions regarding this update, please feel free to contact our technical support team.
This product is a high quality PON-1 antibody.
|
||
Molecular Weight |
39731 Da
|
||
Cellular Localization |
Antigen Cellular Localization:
Secreted, extracellular space.
|
||
Host |
Rabbit
|
||
Species Reactivity |
Human
|
||
Target |
A synthetic peptide corresponding to residues near the N-terminus in human PON 1 was used as an immunogen.
|
||
Clone |
EPR2892
|
||
Symbol |
PON
|
||
GeneID |
|||
UniProt ID |
|||
Function |
Hydrolyzes the toxic metabolites of a variety of organophosphorus insecticides. Capable of hydrolyzing a broad spectrum of organophosphate substrates and lactones, and a number of aromatic carboxylic acid esters. Mediates an enzymatic protection of low density lipoproteins against oxidative modification and the consequent series of events leading to atheroma formation.
|
||
Summary |
Paraoxonase 1 (PON 1) is an esterase and lactonase that is synthesized in the liver and secreted into blood, associated exclusively with high density lipoproteins (HDL) (1, 3). It hydrolyzes the toxic oxon metabolites of several organophosphorous insecticides and nerve agents (2). This protein has been implicated in protection from atherosclerosis (2). PON 1 possesses both antioxidant and anti-inflammatory properties (1, 3). Protecting LDL and HDL from lipid peroxidation, PON 1 degrades specific oxidized cholesteryl esters and oxidized phospholipids contained in lipoproteins (1, 3, 4).
|
||
Form |
50 mM Tris-Glycine (pH 7.4), 0.15 M NaCl, 40% Glycerol, 0.01% sodium azide and 0.05% BSA. |
||
Storage & Stability |
Store at +4°C short term. For long-term storage, aliquot and store at -20°C or below. Stable for 12 months at -20°C. Avoid repeated freeze-thaw cycles.
|
||
Applications |
WB, IHC
|
||
Dilution |
WB~~1:1000~10000
IHC~~1:100~250
|
||
Synonyms |
Serum paraoxonase/arylesterase 1, PON 1, Aromatic esterase 1, A-esterase 1, K-45, Serum aryldialkylphosphatase 1, PON1, PON
|
||
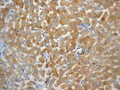
Images |
Western blot analysis on (A) human plasma cell and (B) ovary cancer lysates using anti-PON 1 RabMAb (Cat. AMR09435G).
Immunohistochemical staining of paraffin-embedded human liver tissue using anti-PON 1 RabMAb (Cat. AMR09435G). |
||
Specification |
|||
Quantity |
|
||
| Select | Brand | Catalog No. | Product Name | Pack Size | Type | Field of Research | Specification | Quantity | Price(USD) | |
| 1 | Leading Biology | APG02467G | CCK4 / PTK7 Antibody (clone 4F9) | 50 μl | Monoclonal Antibodies |
|
$495.00 | Add Ask | ||
| 2 | Leading Biology | AMM04683G | GALT Antibody (clone 4C11) | 50 μg | Monoclonal Antibodies |
|
$545.00 | Add Ask | ||
| 3 | Leading Biology | AMM01402G | Vimentin (Mesenchymal Cell Marker) Antibody - With BSA and Azide | 50 ug | Monoclonal Antibodies |
|
$395.00 | Add Ask | ||
| 4 | Leading Biology | APR08280G | LTA4H / LTA4 Antibody (clone 9G8) | 50 μl | Monoclonal Antibodies |
|
$495.00 | Add Ask | ||
| 5 | Leading Biology | AMM00172G | CD1a / HTA1 (Mature Langerhans Cells Marker) Antibody - With BSA and Azide | 50 ug | Monoclonal Antibodies |
|
$395.00 | Add Ask | ||
| 6 | Leading Biology | AMM05750G | CEBPA Antibody | 100 μl | Monoclonal Antibodies |
|
$545.00 | Add Ask |
Leading Biology Inc.
2600 Hilltop DR, Building G, B Suite C138
Richmond, CA, 94806
Tel: 1-661-524(LBI)-0262
Email: info@leadingbiology.com
Complete this form and click send to ask us a question, request a quote or simply say hello.

You have 0 item in your cart

You have 0 item in your inquiry list