> Antigen, Antibodies, ELISA, Western Blot > Primary Antibody > Monoclonal Antibodies > PI3-kinase (p85) Antibody (subunit alpha) (C-term)Brand |
Leading Biology | Catalog Number |
APR09273G |
Product Type |
Monoclonal Antibodies | Field of Research |
|
Product Overview |
We constantly strive to ensure we provide our customers with the best antibodies. As a result of this work we offer this antibody in purified format.
We are in the process of updating our datasheets. If you have any questions regarding this update, please feel free to contact our technical support team.
This product is a high quality PI3-kinase (p85) antibody (subunit alpha) (C-term).
|
||
Molecular Weight |
83598 Da
|
||
Host |
Rabbit
|
||
Species Reactivity |
Human, Rat
|
||
Target |
A synthetic peptide corresponding to residues in the C-term of human PI3-K 85 alpha was used as an immunogen.
|
||
Clone |
EP380Y
|
||
Symbol |
GRB1
|
||
GeneID |
|||
UniProt ID |
|||
Function |
Binds to activated (phosphorylated) protein-Tyr kinases, through its SH2 domain, and acts as an adapter, mediating the association of the p110 catalytic unit to the plasma membrane. Necessary for the insulin-stimulated increase in glucose uptake and glycogen synthesis in insulin-sensitive tissues. Plays an important role in signaling in response to FGFR1, FGFR2, FGFR3, FGFR4, KITLG/SCF, KIT, PDGFRA and PDGFRB. Likewise, plays a role in ITGB2 signaling (PubMed:17626883, PubMed:19805105, PubMed:7518429). Modulates the cellular response to ER stress by promoting nuclear translocation of XBP1 isoform 2 in a ER stress- and/or insulin-dependent manner during metabolic overloading in the liver and hence plays a role in glucose tolerance improvement (PubMed:20348923).
|
||
Summary |
PI3-Kinases (PI3-Ks) are a family of lipid kinases that are implicated in signal transduction. PI3-K consists of two subunits; the regulatory subunit p85 and the catalytic subunit p110 (1-2). In quiescent cells p85 maintains p110 in a low activity state. Upon growth factor stimulation, p85 directly interacts with phosphotyrosine residues of activated growth factor receptors or adaptor proteins leading to activation of p110. p85 exists in two isoforms: p85 , including two short forms termed p50 and p55/AS53 and p85 including short form p55 PIK/p55 (3). The p85 adaptor protein uses the inter-SH2 (iSH2) region to bind p110 and employs SH3 and SH2 domains, phosphotyrosine residues, and proline-rich motifs to interact with activated tyrosine kinases such as BCR/ABL and NPM/ALK or adaptor proteins including Shc, c-Cbl, Crk-L, and Gab2 (4-5).
|
||
Form |
50 mM Tris-Glycine (pH 7.4), 0.15 M NaCl, 40% Glycerol, 0.01% sodium azide and 0.05% BSA. |
||
Storage & Stability |
Store at +4°C short term. For long-term storage, aliquot and store at -20°C or below. Stable for 12 months at -20°C. Avoid repeated freeze-thaw cycles.
|
||
Applications |
WB, IHC, IF
|
||
Dilution |
WB~~1:2000
IHC~~1:100~250
|
||
Synonyms |
Phosphatidylinositol 3-kinase regulatory subunit alpha, PI3-kinase regulatory subunit alpha, PI3K regulatory subunit alpha, PtdIns-3-kinase regulatory subunit alpha, Phosphatidylinositol 3-kinase 85 kDa regulatory subunit alpha, PI3-kinase subunit p85-alpha, PtdIns-3-kinase regulatory subunit p85-alpha, PIK3R1, GRB1
|
||
Images |
A. Western blot analysis of anti- PI3-K p85 subunit alpha RabMAb (Cat. APR09273G), dilution 1:2,000. A: A431 B: MCF-7 C: Raji
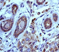
B. Immunohistochemical analysis of paraffin-embedded human breast carcinoma using anti-PI3-K p85 subunit alpha RabMAb (Cat. APR09273G).
C. Immunofluorescent staining of HeLa cells using anti- PI3-K p85 subunit alpha RabMAb (Cat. APR09273G). |
||
Specification |
|||
Quantity |
|
||
| Select | Brand | Catalog No. | Product Name | Pack Size | Type | Field of Research | Specification | Quantity | Price(USD) | |
| 1 | Leading Biology | APG02467G | CCK4 / PTK7 Antibody (clone 4F9) | 50 μl | Monoclonal Antibodies |
|
$495.00 | Add Ask | ||
| 2 | Leading Biology | AMM04683G | GALT Antibody (clone 4C11) | 50 μg | Monoclonal Antibodies |
|
$545.00 | Add Ask | ||
| 3 | Leading Biology | AMM01402G | Vimentin (Mesenchymal Cell Marker) Antibody - With BSA and Azide | 50 ug | Monoclonal Antibodies |
|
$395.00 | Add Ask | ||
| 4 | Leading Biology | APR08280G | LTA4H / LTA4 Antibody (clone 9G8) | 50 μl | Monoclonal Antibodies |
|
$495.00 | Add Ask | ||
| 5 | Leading Biology | AMM00172G | CD1a / HTA1 (Mature Langerhans Cells Marker) Antibody - With BSA and Azide | 50 ug | Monoclonal Antibodies |
|
$395.00 | Add Ask | ||
| 6 | Leading Biology | AMM05750G | CEBPA Antibody | 100 μl | Monoclonal Antibodies |
|
$545.00 | Add Ask |
Leading Biology Inc.
2600 Hilltop DR, Building G, B Suite C138
Richmond, CA, 94806
Tel: 1-661-524(LBI)-0262
Email: info@leadingbiology.com
Complete this form and click send to ask us a question, request a quote or simply say hello.

You have 0 item in your cart

You have 0 item in your inquiry list