> Antigen, Antibodies, ELISA, Western Blot > Primary Antibody > Monoclonal Antibodies > PARP-1 Antibody (Cleaved p25)Brand |
Leading Biology | Catalog Number |
APR07143G |
Product Type |
Monoclonal Antibodies | Field of Research |
|
Product Overview |
We constantly strive to ensure we provide our customers with the best antibodies. As a result of this work we offer this antibody in purified format.
We are in the process of updating our datasheets. If you have any questions regarding this update, please feel free to contact our technical support team.
This product is a high quality PARP-1 antibody (Cleaved p25).
|
||
Molecular Weight |
113084 Da
|
||
Cellular Localization |
Antigen Cellular Localization:
Nucleus. Nucleus, nucleolus. Note=Localizes at sites of DNA damage
|
||
Host |
Rabbit
|
||
Species Reactivity |
Human, Mouse
|
||
Target |
A synthetic peptide corresponding to residues before the cleavage site of human PARP-1 was used as immunogen. The antibody only recognize p25 cleaved-form of PARP-1.
|
||
Clone |
E51
|
||
Symbol |
ADPRT, PPOL
|
||
GeneID |
|||
UniProt ID |
|||
Function |
Involved in the base excision repair (BER) pathway, by catalyzing the poly(ADP-ribosyl)ation of a limited number of acceptor proteins involved in chromatin architecture and in DNA metabolism. This modification follows DNA damages and appears as an obligatory step in a detection/signaling pathway leading to the reparation of DNA strand breaks. Mediates the poly(ADP- ribosyl)ation of APLF and CHFR. Positively regulates the transcription of MTUS1 and negatively regulates the transcription of MTUS2/TIP150. With EEF1A1 and TXK, forms a complex that acts as a T-helper 1 (Th1) cell-specific transcription factor and binds the promoter of IFN-gamma to directly regulate its transcription, and is thus involved importantly in Th1 cytokine production. Required for PARP9 and DTX3L recruitment to DNA damage sites. PARP1-dependent PARP9-DTX3L-mediated ubiquitination promotes the rapid and specific recruitment of 53BP1/TP53BP1, UIMC1/RAP80, and BRCA1 to DNA damage sites.
|
||
Summary |
Poly (ADP-ribose) polymerase (PARP) is zinc-dependent DNA binding protein that recognizes DNA strand breaks and is presumed to play a role in DNA repair (1). As a marker for apoptosis, PARP is cleaved in vitro by many caspases, and in vivo by Caspase-3 (2,3). Existing as a 116 kDa nuclear protein, PARP is cleaved between amino acids Asp214 and Gly215 to yield two fragments of 29 kDa (C-terminal catalytic domain) and 85 kDa (N-terminal DNA-binding domain) (2,4).
|
||
Form |
50 mM Tris-Glycine (pH 7.4), 0.15 M NaCl, 40% Glycerol, 0.01% sodium azide and 0.05% BSA. |
||
Storage & Stability |
Store at +4°C short term. For long-term storage, aliquot and store at -20°C or below. Stable for 12 months at -20°C. Avoid repeated freeze-thaw cycles.
|
||
Applications |
WB, IHC, IF
|
||
Dilution |
WB~~1:1000~5000
IHC~~1:100
|
||
Synonyms |
Poly [ADP-ribose] polymerase 1, PARP-1, ADP-ribosyltransferase diphtheria toxin-like 1, ARTD1, NAD(+) ADP-ribosyltransferase 1, ADPRT 1, Poly[ADP-ribose] synthase 1, PARP1, ADPRT, PPOL
|
||
Images |
A. Western blot analysis on Jurkat cell lysate using anti-PARP-1 Cleaved (p25) RabMAb (Cat. APR07143G), 1:50,000 dilution. Cells were either (1) untreated or (2) treated with Camptothecin.
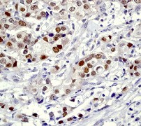
B. Immunohistochemical analysis of paraffin-embedded human breast carcinoma tissue using anti-PARP-1 (Cleaved p25) RabMAb (Cat. APR07143G).
C. Immunofluorescent staining of Hela cell using anit-PARP-1 RabMab (Cat. APR07143G) |
||
Specification |
|||
Quantity |
|
||
| Select | Brand | Catalog No. | Product Name | Pack Size | Type | Field of Research | Specification | Quantity | Price(USD) | |
| 1 | Leading Biology | APG02467G | CCK4 / PTK7 Antibody (clone 4F9) | 50 μl | Monoclonal Antibodies |
|
$495.00 | Add Ask | ||
| 2 | Leading Biology | AMM04683G | GALT Antibody (clone 4C11) | 50 μg | Monoclonal Antibodies |
|
$545.00 | Add Ask | ||
| 3 | Leading Biology | AMM01402G | Vimentin (Mesenchymal Cell Marker) Antibody - With BSA and Azide | 50 ug | Monoclonal Antibodies |
|
$395.00 | Add Ask | ||
| 4 | Leading Biology | APR08280G | LTA4H / LTA4 Antibody (clone 9G8) | 50 μl | Monoclonal Antibodies |
|
$495.00 | Add Ask | ||
| 5 | Leading Biology | AMM00172G | CD1a / HTA1 (Mature Langerhans Cells Marker) Antibody - With BSA and Azide | 50 ug | Monoclonal Antibodies |
|
$395.00 | Add Ask | ||
| 6 | Leading Biology | AMM05750G | CEBPA Antibody | 100 μl | Monoclonal Antibodies |
|
$545.00 | Add Ask |
Leading Biology Inc.
2600 Hilltop DR, Building G, B Suite C138
Richmond, CA, 94806
Tel: 1-661-524(LBI)-0262
Email: info@leadingbiology.com
Complete this form and click send to ask us a question, request a quote or simply say hello.

You have 0 item in your cart

You have 0 item in your inquiry list