> Antigen, Antibodies, ELISA, Western Blot > Primary Antibody > Monoclonal Antibodies > NOTCH1 AntibodyBrand |
Leading Biology | Catalog Number |
AMM06726G |
Product Type |
Monoclonal Antibodies | Field of Research |
|
Product Overview |
We constantly strive to ensure we provide our customers with the best antibodies. As a result of this work we offer this antibody in purified format.
We are in the process of updating our datasheets. If you have any questions regarding this update, please feel free to contact our technical support team.
This product is a high quality NOTCH1 antibody.
|
||
Molecular Weight |
272505 Da
|
||
Cellular Localization |
Antigen Cellular Localization:
Cell membrane; Single-pass type I membrane protein
|
||
Host |
Rabbit
|
||
Species Reactivity |
Human, Mouse
|
||
Target |
A synthetic peptide corresponding to the Cytoplasmic portion of human Notch1 was used as immunogen.
|
||
Clone |
EP1238Y
|
||
Symbol |
TAN1
|
||
GeneID |
|||
UniProt ID |
|||
Function |
Functions as a receptor for membrane-bound ligands Jagged1, Jagged2 and Delta1 to regulate cell-fate determination. Upon ligand activation through the released notch intracellular domain (NICD) it forms a transcriptional activator complex with RBPJ/RBPSUH and activates genes of the enhancer of split locus. Affects the implementation of differentiation, proliferation and apoptotic programs. Involved in angiogenesis; negatively regulates endothelial cell proliferation and migration and angiogenic sprouting. Involved in the maturation of both CD4+ and CD8+ cells in the thymus. Important for follicular differentiation and possibly cell fate selection within the follicle. During cerebellar development, functions as a receptor for neuronal DNER and is involved in the differentiation of Bergmann glia. Represses neuronal and myogenic differentiation. May play an essential role in postimplantation development, probably in some aspect of cell specification and/or differentiation. May be involved in mesoderm development, somite formation and neurogenesis. May enhance HIF1A function by sequestering HIF1AN away from HIF1A. Required for the THBS4 function in regulating protective astrogenesis from the subventricular zone (SVZ) niche after injury. Involved in determination of left/right symmetry by modulating the balance between motile and immotile (sensory) cilia at the left-right organiser (LRO).
|
||
Summary |
Notch (hN1, Motch in mouse, Xotch in Xenopus) is a family of large transmembrane receptors involved in cell to cell interactions and cell fate decisions during invertebrate and vertebrate development. A modification of Notch signaling pathway can lead to changes in cellular proliferation, differentiation, and apoptotic events (1). Notch is activated by binding to membrane-bound ligands of the Delta and Serrate/Jagged family. Activated Notch receptor is proteolytically cleaved and the Notch intracellular domain (NICD) is released. The NICD binds to CSL DNA-binding protein and the Mastermind/Lag-3 co-activator in the nucleus which activates target gene expression (2,3). Notch has been implicated in T-cell acute lymphoblastic leukemia (T-All) and Multiple Sclerosis (MS). Also, repression of Notch signaling is commonly seen in cancer (4). In mammals, four different Notch receptors has been identified (Notch 1, 2, 3, and 4). Active Notch1 has been linked to inactivation of p53-dependent transactivation by inhibiting the phosphorylation of p53 protein (5).
|
||
Form |
50 mM Tris-Glycine (pH 7.4), 0.15 M NaCl, 40% Glycerol, 0.01% sodium azide and 0.05% BSA. |
||
Storage & Stability |
Store at +4°C short term. For long-term storage, aliquot and store at -20°C or below. Stable for 12 months at -20°C. Avoid repeated freeze-thaw cycles.
|
||
Applications |
WB, IHC
|
||
Dilution |
WB~~1:1000~10000
IHC~~1:50~100
|
||
Synonyms |
Neurogenic locus notch homolog protein 1, Notch 1, hN1, Translocation-associated notch protein TAN-1, Notch 1 extracellular truncation, NEXT, Notch 1 intracellular domain, NICD, NOTCH1, TAN1
|
||
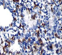
Images |
A. Western blot analysis using anti-NOTCH1 Rabbit Monoclonal on Hek293 cell lysate.(Cat. AMM06726G), dilution 1:500.
B. Immunohistochemical analysis of paraffin-embedded human fetal lungs using anti-NOTCH 1 RabMAb (Cat. AMM06726G). |
||
Specification |
|||
Quantity |
|
||
| Select | Brand | Catalog No. | Product Name | Pack Size | Type | Field of Research | Specification | Quantity | Price(USD) | |
| 1 | Leading Biology | APG02467G | CCK4 / PTK7 Antibody (clone 4F9) | 50 μl | Monoclonal Antibodies |
|
$495.00 | Add Ask | ||
| 2 | Leading Biology | AMM04683G | GALT Antibody (clone 4C11) | 50 μg | Monoclonal Antibodies |
|
$545.00 | Add Ask | ||
| 3 | Leading Biology | AMM01402G | Vimentin (Mesenchymal Cell Marker) Antibody - With BSA and Azide | 50 ug | Monoclonal Antibodies |
|
$395.00 | Add Ask | ||
| 4 | Leading Biology | APR08280G | LTA4H / LTA4 Antibody (clone 9G8) | 50 μl | Monoclonal Antibodies |
|
$495.00 | Add Ask | ||
| 5 | Leading Biology | AMM00172G | CD1a / HTA1 (Mature Langerhans Cells Marker) Antibody - With BSA and Azide | 50 ug | Monoclonal Antibodies |
|
$395.00 | Add Ask | ||
| 6 | Leading Biology | AMM05750G | CEBPA Antibody | 100 μl | Monoclonal Antibodies |
|
$545.00 | Add Ask |
Leading Biology Inc.
2600 Hilltop DR, Building G, B Suite C138
Richmond, CA, 94806
Tel: 1-661-524(LBI)-0262
Email: info@leadingbiology.com
Complete this form and click send to ask us a question, request a quote or simply say hello.

You have 0 item in your cart

You have 0 item in your inquiry list