> Antigen, Antibodies, ELISA, Western Blot > Primary Antibody > Monoclonal Antibodies > NGFR AntibodyBrand |
Leading Biology | Catalog Number |
AMM06683G |
Product Type |
Monoclonal Antibodies | Field of Research |
|
Product Overview |
We constantly strive to ensure we provide our customers with the best antibodies. As a result of this work we offer this antibody in purified format.
We are in the process of updating our datasheets. If you have any questions regarding this update, please feel free to contact our technical support team.
This product is a high quality NGFR antibody.
|
||
Molecular Weight |
45183 Da
|
||
Cellular Localization |
Antigen Cellular Localization:
Membrane; Single-pass type I membrane protein
|
||
Host |
Rabbit
|
||
Species Reactivity |
Human, Mouse, Rat
|
||
Target |
A synthetic peptide corresponding to residues of human NGFR was used as an immunogen.
|
||
Clone |
EP1039Y
|
||
Symbol |
TNFRSF16
|
||
GeneID |
|||
UniProt ID |
|||
Function |
Plays a role in the regulation of the translocation of GLUT4 to the cell surface in adipocytes and skeletal muscle cells in response to insulin, probably by regulating RAB31 activity, and thereby contributes to the regulation of insulin-dependent glucose uptake (By similarity). Low affinity receptor which can bind to NGF, BDNF, NT-3, and NT-4. Can mediate cell survival as well as cell death of neural cells. Necessary for the circadian oscillation of the clock genes ARNTL/BMAL1, PER1, PER2 and NR1D1 in the suprachiasmatic nucleus (SCN) of the brain and in liver and of the genes involved in glucose and lipid metabolism in the liver.
|
||
Summary |
Neurotrophins signal cell survival, differentiation, growth cessation, and apoptosis through two classes of cell surface receptors, the Trks and NGF Receptor (p75NTR). p75NTR, when activated in the absence of a strong Trk signal, induces apoptosis of neurons, while in the presence of Trk it enhances responses to neurotrophin (1). p75NTR, when it is not bound by NGF, may play a role in neuronal selection during embryonic development and suggest that neuroblastomas may arise from immature neuroblasts that escape programmed cell death. Therefore, the loss of p75NTR expression in developing neural crest cells might be a primary event in the genesis of neuroblastoma (2). It has also been suggested that neuronal death in Alzheimer's disease is mediated, at least in part, by the interaction of beta-amyloid with p75NTR, and suggest new targets for therapeutic intervention (3).
|
||
Form |
50 mM Tris-Glycine (pH 7.4), 0.15 M NaCl, 40% Glycerol, 0.01% sodium azide and 0.05% BSA. |
||
Storage & Stability |
Store at +4°C short term. For long-term storage, aliquot and store at -20°C or below. Stable for 12 months at -20°C. Avoid repeated freeze-thaw cycles.
|
||
Applications |
WB, IHC
|
||
Dilution |
WB~~1:1000~2000
IHC~~1:50~100
|
||
Synonyms |
Tumor necrosis factor receptor superfamily member 16, Gp80-LNGFR, Low affinity neurotrophin receptor p75NTR, Low-affinity nerve growth factor receptor, NGF receptor, p75 ICD, CD271, NGFR, TNFRSF16
|
||
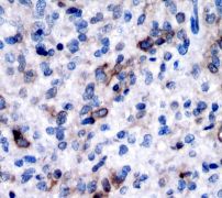
Images |
A. Western blot analysis on PC12 cell lysate using anti-NFGR RabMAb (Cat. AMM06683G).
B. Immunohistochemical staining of paraffin-embedded human brain gilioma using anti-NFGR RabMAb (Cat. AMM06683G). |
||
Specification |
|||
Quantity |
|
||
| Select | Brand | Catalog No. | Product Name | Pack Size | Type | Field of Research | Specification | Quantity | Price(USD) | |
| 1 | Leading Biology | APG02467G | CCK4 / PTK7 Antibody (clone 4F9) | 50 μl | Monoclonal Antibodies |
|
$495.00 | Add Ask | ||
| 2 | Leading Biology | AMM04683G | GALT Antibody (clone 4C11) | 50 μg | Monoclonal Antibodies |
|
$545.00 | Add Ask | ||
| 3 | Leading Biology | AMM01402G | Vimentin (Mesenchymal Cell Marker) Antibody - With BSA and Azide | 50 ug | Monoclonal Antibodies |
|
$395.00 | Add Ask | ||
| 4 | Leading Biology | APR08280G | LTA4H / LTA4 Antibody (clone 9G8) | 50 μl | Monoclonal Antibodies |
|
$495.00 | Add Ask | ||
| 5 | Leading Biology | AMM00172G | CD1a / HTA1 (Mature Langerhans Cells Marker) Antibody - With BSA and Azide | 50 ug | Monoclonal Antibodies |
|
$395.00 | Add Ask | ||
| 6 | Leading Biology | AMM05750G | CEBPA Antibody | 100 μl | Monoclonal Antibodies |
|
$545.00 | Add Ask |
Leading Biology Inc.
2600 Hilltop DR, Building G, B Suite C138
Richmond, CA, 94806
Tel: 1-661-524(LBI)-0262
Email: info@leadingbiology.com
Complete this form and click send to ask us a question, request a quote or simply say hello.

You have 0 item in your cart

You have 0 item in your inquiry list