> Antigen, Antibodies, ELISA, Western Blot > Primary Antibody > Monoclonal Antibodies > Neuropilin-1 AntibodyBrand |
Leading Biology | Catalog Number |
AMM06648G |
Product Type |
Monoclonal Antibodies | Field of Research |
|
Product Overview |
We constantly strive to ensure we provide our customers with the best antibodies. As a result of this work we offer this antibody in purified format.
We are in the process of updating our datasheets. If you have any questions regarding this update, please feel free to contact our technical support team.
This product is a high quality Neuropilin-1 antibody.
|
||
Molecular Weight |
103134 Da
|
||
Cellular Localization |
Antigen Cellular Localization:
Cell membrane; Single-pass type I membrane protein
|
||
Host |
Rabbit
|
||
Species Reactivity |
Human, Mouse, Rat
|
||
Target |
A synthetic peptide corresponding to residues in the cytoplasmic region of human Neuropilin-1 was used as an immunogen.
|
||
Clone |
EPR3113
|
||
Symbol |
NRP, VEGF165R
|
||
GeneID |
|||
UniProt ID |
|||
Function |
The membrane-bound isoform 1 is a receptor involved in the development of the cardiovascular system, in angiogenesis, in the formation of certain neuronal circuits and in organogenesis outside the nervous system. It mediates the chemorepulsant activity of semaphorins. It binds to semaphorin 3A, The PLGF-2 isoform of PGF, The VEGF-165 isoform of VEGF and VEGF-B. Coexpression with KDR results in increased VEGF-165 binding to KDR as well as increased chemotaxis. It may regulate VEGF-induced angiogenesis.
|
||
Summary |
Neuropilin-1 is a type 1 membrane protein with three distinct functions. First, it can mediate cell adhesion via a heterophilic molecular interaction. Second, in neuronal cells, neurophilin-1 binds the class 3 semaphorins, which are neuronal chemorepellents, and plays a role in the directional guidance of axons. NP-1 isoform 1 is a receptor involved in the development of the cardiovascular system, in angiogenesis and in the formation of certain neuronal circuits and in organogenesis outside the nervous system (1). The soluble NP-1 isoform 2 binds VEGF(165) and appears to inhibit its binding to cells (2). It may also induce apoptosis by sequestering VEGF(165). NP-1 may bind various members of the semaphorin family. Its expression has an adverse effect on blood vessel number and integrity (3).
|
||
Form |
50 mM Tris-Glycine (pH 7.4), 0.15 M NaCl, 40% Glycerol, 0.01% sodium azide and 0.05% BSA. |
||
Storage & Stability |
Store at +4°C short term. For long-term storage, aliquot and store at -20°C or below. Stable for 12 months at -20°C. Avoid repeated freeze-thaw cycles.
|
||
Applications |
WB, IHC
|
||
Dilution |
WB~~1:1000
IHC~~1:100
|
||
Synonyms |
Neuropilin-1, Vascular endothelial cell growth factor 165 receptor, CD304, NRP1, NRP, VEGF165R
|
||
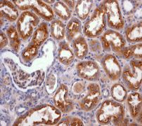
Images |
A. Western blot analysis on (A) Hu-placenta (B) HUVEC (C) HepG2 cell lysates (D) mouse heart tissue (E) mouse kidney tissue (F) rat heart and (G) rat kidney tissue lysate using anti-Neuropilin-1 RabMAb (Cat. AMM06648G), dilution 1:1000
B. Immunohistochemical analysis of paraffin-embedded human kidney tissue using anti-Neuropilin 1 RabMAb (Cat. AMM06648G). |
||
Specification |
|||
Quantity |
|
||
| Select | Brand | Catalog No. | Product Name | Pack Size | Type | Field of Research | Specification | Quantity | Price(USD) | |
| 1 | Leading Biology | APG02467G | CCK4 / PTK7 Antibody (clone 4F9) | 50 μl | Monoclonal Antibodies |
|
$495.00 | Add Ask | ||
| 2 | Leading Biology | AMM04683G | GALT Antibody (clone 4C11) | 50 μg | Monoclonal Antibodies |
|
$545.00 | Add Ask | ||
| 3 | Leading Biology | AMM01402G | Vimentin (Mesenchymal Cell Marker) Antibody - With BSA and Azide | 50 ug | Monoclonal Antibodies |
|
$395.00 | Add Ask | ||
| 4 | Leading Biology | APR08280G | LTA4H / LTA4 Antibody (clone 9G8) | 50 μl | Monoclonal Antibodies |
|
$495.00 | Add Ask | ||
| 5 | Leading Biology | AMM00172G | CD1a / HTA1 (Mature Langerhans Cells Marker) Antibody - With BSA and Azide | 50 ug | Monoclonal Antibodies |
|
$395.00 | Add Ask | ||
| 6 | Leading Biology | AMM05750G | CEBPA Antibody | 100 μl | Monoclonal Antibodies |
|
$545.00 | Add Ask |
Leading Biology Inc.
2600 Hilltop DR, Building G, B Suite C138
Richmond, CA, 94806
Tel: 1-661-524(LBI)-0262
Email: info@leadingbiology.com
Complete this form and click send to ask us a question, request a quote or simply say hello.

You have 0 item in your cart

You have 0 item in your inquiry list