> Antigen, Antibodies, ELISA, Western Blot > Primary Antibody > Monoclonal Antibodies > MKK4 Antibody (C-term)Brand |
Leading Biology | Catalog Number |
APR17370G |
Product Type |
Monoclonal Antibodies | Field of Research |
|
Product Overview |
We constantly strive to ensure we provide our customers with the best antibodies. As a result of this work we offer this antibody in purified format.
We are in the process of updating our datasheets. If you have any questions regarding this update, please feel free to contact our technical support team.
This product is a high quality MKK4 antibody (C-term).
|
||
Molecular Weight |
44288 Da
|
||
Cellular Localization |
Antigen Cellular Localization:
Cytoplasm. Nucleus
|
||
Host |
Rabbit
|
||
Species Reactivity |
Human, Mouse, Rat
|
||
Target |
A synthetic peptide corresponding to residues in the C-term of human MKK4 was used as immunogen.
|
||
Clone |
EP615Y
|
||
Symbol |
JNKK1, MEK4, MKK4, PRKMK4, SEK1, SERK1,
|
||
GeneID |
|||
UniProt ID |
|||
Function |
Dual specificity protein kinase which acts as an essential component of the MAP kinase signal transduction pathway. Essential component of the stress-activated protein kinase/c-Jun N-terminal kinase (SAP/JNK) signaling pathway. With MAP2K7/MKK7, is the one of the only known kinase to directly activate the stress-activated protein kinase/c-Jun N-terminal kinases MAPK8/JNK1, MAPK9/JNK2 and MAPK10/JNK3. MAP2K4/MKK4 and MAP2K7/MKK7 both activate the JNKs by phosphorylation, but they differ in their preference for the phosphorylation site in the Thr-Pro-Tyr motif. MAP2K4 shows preference for phosphorylation of the Tyr residue and MAP2K7/MKK7 for the Thr residue. The phosphorylation of the Thr residue by MAP2K7/MKK7 seems to be the prerequisite for JNK activation at least in response to proinflammatory cytokines, while other stimuli activate both MAP2K4/MKK4 and MAP2K7/MKK7 which synergistically phosphorylate JNKs. MAP2K4 is required for maintaining peripheral lymphoid homeostasis. The MKK/JNK signaling pathway is also involved in mitochondrial death signaling pathway, including the release cytochrome c, leading to apoptosis. Whereas MAP2K7/MKK7 exclusively activates JNKs, MAP2K4/MKK4 additionally activates the p38 MAPKs MAPK11, MAPK12, MAPK13 and MAPK14.
|
||
Summary |
MKK4, also known as JNKK1 and SEK1, is a dual specificity kinase that belongs to the Ser/Thr protein kinase family. MKK4 is a direct activator of MAP kinases in response to various environmental stresses or mitogenic stimuli. MKK4 phosphorylate and activate p38 MAP kinase and JNK but not ERK 1/2 (1-2). JNK is activated by dual phosphorylation at Thr and Tyr by MKK4 and MKK7; although MKK4 will preferentially phosphorylate Tyr (3). MKK4 is also known to be a tumor suppressor, as mutations inactivating the MKK4 gene have been found in 5% of a wide variety of tumor types (4).
|
||
Form |
50 mM Tris-Glycine (pH 7.4), 0.15 M NaCl, 40% Glycerol, 0.01% sodium azide and 0.05% BSA. |
||
Storage & Stability |
Store at +4°C short term. For long-term storage, aliquot and store at -20°C or below. Stable for 12 months at -20°C. Avoid repeated freeze-thaw cycles.
|
||
Applications |
WB, IHC
|
||
Dilution |
WB~~1:1000
IHC~~1:50~100
|
||
Synonyms |
Dual specificity mitogen-activated protein kinase kinase 4, MAP kinase kinase 4, MAPKK 4, JNK-activating kinase 1, MAPK/ERK kinase 4, MEK 4, SAPK/ERK kinase 1, SEK1, Stress-activated protein kinase kinase 1, SAPK kinase 1, SAPKK-1, SAPKK1, c-Jun N-terminal kinase kinase 1, JNKK, MAP2K4, JNKK1, MEK4, MKK4, PRKMK4, SEK1, SERK1, SKK1
|
||
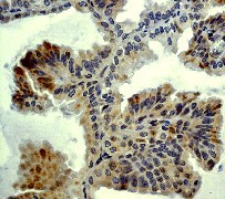
Images |
A. Western blot analysis on Hela cell lysate using anti-MKK4 (C-term) RabMAb (Cat. APR17370G), dilution 1:1,000.
B. Immunohistochemical analysis of lung adenocarcinoma using anti-MKK4 (C-term) RabMAb (Cat. APR17370G). |
||
Specification |
|||
Quantity |
|
||
| Select | Brand | Catalog No. | Product Name | Pack Size | Type | Field of Research | Specification | Quantity | Price(USD) | |
| 1 | Leading Biology | APG02467G | CCK4 / PTK7 Antibody (clone 4F9) | 50 μl | Monoclonal Antibodies |
|
$495.00 | Add Ask | ||
| 2 | Leading Biology | AMM04683G | GALT Antibody (clone 4C11) | 50 μg | Monoclonal Antibodies |
|
$545.00 | Add Ask | ||
| 3 | Leading Biology | AMM01402G | Vimentin (Mesenchymal Cell Marker) Antibody - With BSA and Azide | 50 ug | Monoclonal Antibodies |
|
$395.00 | Add Ask | ||
| 4 | Leading Biology | APR08280G | LTA4H / LTA4 Antibody (clone 9G8) | 50 μl | Monoclonal Antibodies |
|
$495.00 | Add Ask | ||
| 5 | Leading Biology | AMM00172G | CD1a / HTA1 (Mature Langerhans Cells Marker) Antibody - With BSA and Azide | 50 ug | Monoclonal Antibodies |
|
$395.00 | Add Ask | ||
| 6 | Leading Biology | AMM05750G | CEBPA Antibody | 100 μl | Monoclonal Antibodies |
|
$545.00 | Add Ask |
Leading Biology Inc.
2600 Hilltop DR, Building G, B Suite C138
Richmond, CA, 94806
Tel: 1-661-524(LBI)-0262
Email: info@leadingbiology.com
Complete this form and click send to ask us a question, request a quote or simply say hello.

You have 0 item in your cart

You have 0 item in your inquiry list