> Antigen, Antibodies, ELISA, Western Blot > Primary Antibody > Monoclonal Antibodies > MEKK4 AntibodyBrand |
Leading Biology | Catalog Number |
AMM06369G |
Product Type |
Monoclonal Antibodies | Field of Research |
|
Product Overview |
We constantly strive to ensure we provide our customers with the best antibodies. As a result of this work we offer this antibody in purified format.
We are in the process of updating our datasheets. If you have any questions regarding this update, please feel free to contact our technical support team.
This product is a high quality MEKK4 antibody.
|
||
Molecular Weight |
181685 Da
|
||
Cellular Localization |
Antigen Cellular Localization:
Cytoplasm, perinuclear region. Note=Localized in perinuclear vesicular-like structures, probably Golgi-associated vesicles.
|
||
Host |
Rabbit
|
||
Species Reactivity |
Human
|
||
Target |
A synthetic peptide corresponding to residues in human MEKK4 was used as immunogen. This antibody is predicted to detect splice isoform 2 based on sequence analysis.
|
||
Clone |
EP551Y
|
||
Symbol |
KIAA0213, MAPKKK4, MEKK4, MTK1
|
||
GeneID |
|||
UniProt ID |
|||
Function |
Component of a protein kinase signal transduction cascade. Activates the CSBP2, P38 and JNK MAPK pathways, but not the ERK pathway. Specifically phosphorylates and activates MAP2K4 and MAP2K6.
|
||
Summary |
MEK kinase 4 (MEKK4), also known as MTK1, is a Ser/Thr protein kinase belonging to the MAP kinase kinase kinase family (1). This protein contains a protein kinase catalytic domain at the C-terminus. The N-terminal, non-kinase domain may contain a regulatory domain. MEKK4 regulates p38 and JNK, butnot ERK pathway, through the phosphorylation of the MAP2Ks MKK3 and MKK6 and MKK4 and MKK7 respectively (1-2).
|
||
Form |
50 mM Tris-Glycine (pH 7.4), 0.15 M NaCl, 40% Glycerol, 0.01% sodium azide and 0.05% BSA. |
||
Storage & Stability |
Store at +4°C short term. For long-term storage, aliquot and store at -20°C or below. Stable for 12 months at -20°C. Avoid repeated freeze-thaw cycles.
|
||
Applications |
WB, IHC
|
||
Dilution |
WB~~1:1000~5000
IHC~~1:50~100
|
||
Synonyms |
Mitogen-activated protein kinase kinase kinase 4, MAP three kinase 1, MAPK/ERK kinase kinase 4, MEK kinase 4, MEKK 4, MAP3K4, KIAA0213, MAPKKK4, MEKK4, MTK1
|
||
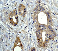
Images |
A. Western blot analysis on 293 cell lysate using anti-MEKK4 RabMAb (Cat. AMM06369G), dilution 1:1,000.
B. Immunohistochemical analysis of paraffin-embedded human ovary adenocarcinoma using anti-MEKK4 RabMAb (Cat. AMM06369G). |
||
Specification |
|||
Quantity |
|
||
| Select | Brand | Catalog No. | Product Name | Pack Size | Type | Field of Research | Specification | Quantity | Price(USD) | |
| 1 | Leading Biology | APG02467G | CCK4 / PTK7 Antibody (clone 4F9) | 50 μl | Monoclonal Antibodies |
|
$495.00 | Add Ask | ||
| 2 | Leading Biology | AMM04683G | GALT Antibody (clone 4C11) | 50 μg | Monoclonal Antibodies |
|
$545.00 | Add Ask | ||
| 3 | Leading Biology | AMM01402G | Vimentin (Mesenchymal Cell Marker) Antibody - With BSA and Azide | 50 ug | Monoclonal Antibodies |
|
$395.00 | Add Ask | ||
| 4 | Leading Biology | APR08280G | LTA4H / LTA4 Antibody (clone 9G8) | 50 μl | Monoclonal Antibodies |
|
$495.00 | Add Ask | ||
| 5 | Leading Biology | AMM00172G | CD1a / HTA1 (Mature Langerhans Cells Marker) Antibody - With BSA and Azide | 50 ug | Monoclonal Antibodies |
|
$395.00 | Add Ask | ||
| 6 | Leading Biology | AMM05750G | CEBPA Antibody | 100 μl | Monoclonal Antibodies |
|
$545.00 | Add Ask |
Leading Biology Inc.
2600 Hilltop DR, Building G, B Suite C138
Richmond, CA, 94806
Tel: 1-661-524(LBI)-0262
Email: info@leadingbiology.com
Complete this form and click send to ask us a question, request a quote or simply say hello.

You have 0 item in your cart

You have 0 item in your inquiry list